Добавить в корзинуПозвонить
Найти в Дзене

Ортодонтическое лечение методом комбинированной терапии

Пациент, 15 лет, обратился с жалобами на скученность зубов и неудовлетворительный внешний вид улыбки. - Класс 1 скелета: нормальная позиция лицевых костей относительно друг друга. - Сужение обеих челюстей, особенно заметное на уровне верхних и нижних резцов. - Ретинированные зубы (№17, №27, №37, №47). - Скученность зубов на нижней челюсти. - Незрелость второго постоянного моляра, связанная с недостатком места в ряду. 1️⃣Удалены третьи моляры ("зубы мудрости"), вызвавшие дополнительное давление и затруднения для правильного развития остальных зубов. 2️⃣Фиксация частичной брекет-системы с использованием микроимплантатов (микровинтов). Основная цель — постепенная коррекция положения отдельных зубов путём воздействия микровинта. После прорезывания нижних моляров, переход на активный этап коррекции с использованием прозрачных кап-элайнеров. Этот метод позволил завершить процесс выравнивания зубного ряда максимально комфортно и незаметно для окружающих. Клиническое наблюдение подтверждает эф
Оглавление
-2

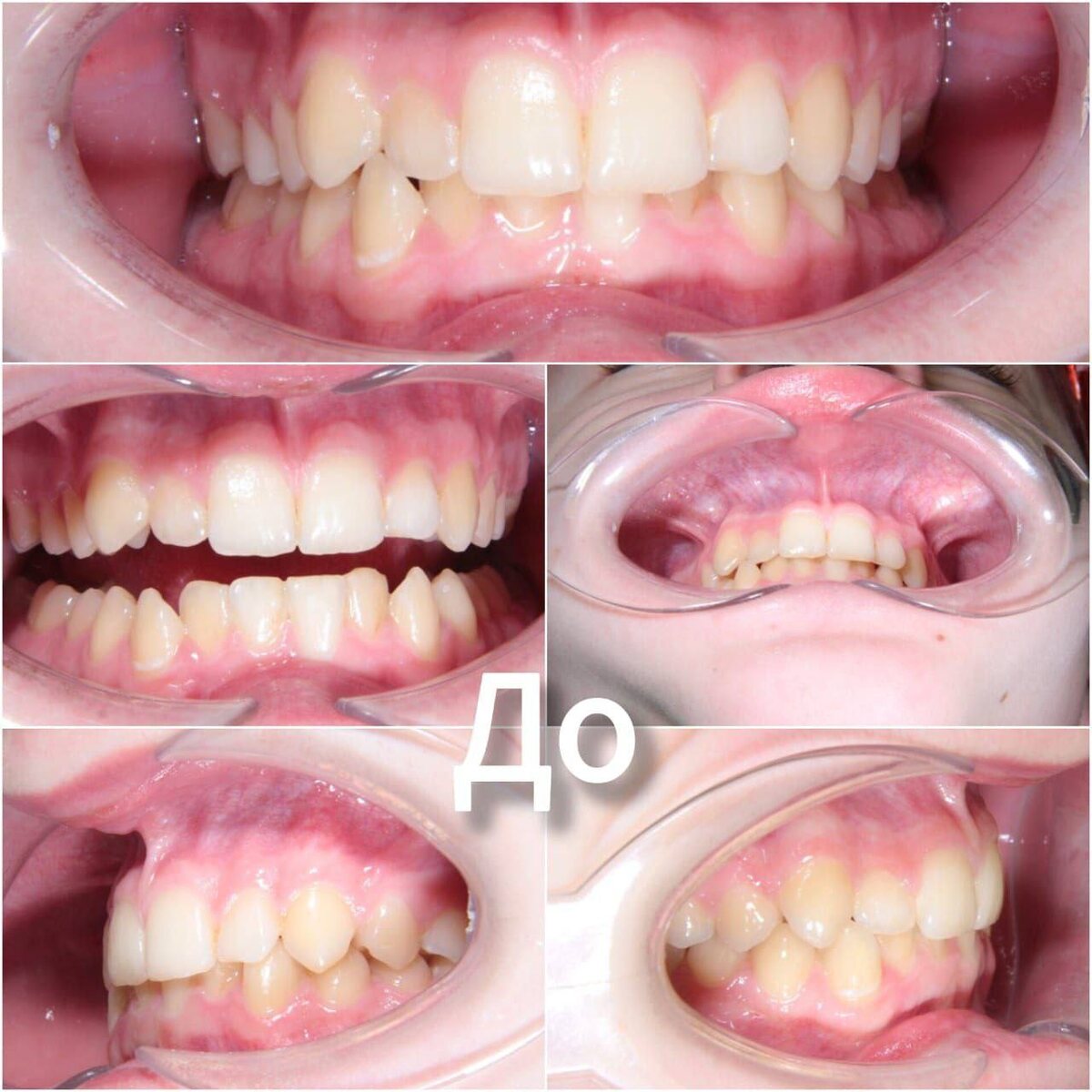
Пациент, 15 лет, обратился с жалобами на скученность зубов и неудовлетворительный внешний вид улыбки.

Диагноз

- Класс 1 скелета: нормальная позиция лицевых костей относительно друг друга.

- Сужение обеих челюстей, особенно заметное на уровне верхних и нижних резцов.

- Ретинированные зубы (№17, №27, №37, №47).

- Скученность зубов на нижней челюсти.

- Незрелость второго постоянного моляра, связанная с недостатком места в ряду.

Этапы лечения

1️⃣Удалены третьи моляры ("зубы мудрости"), вызвавшие дополнительное давление и затруднения для правильного развития остальных зубов.

2️⃣Фиксация частичной брекет-системы с использованием микроимплантатов (микровинтов). Основная цель — постепенная коррекция положения отдельных зубов путём воздействия микровинта.

После прорезывания нижних моляров, переход на активный этап коррекции с использованием прозрачных кап-элайнеров. Этот метод позволил завершить процесс выравнивания зубного ряда максимально комфортно и незаметно для окружающих.

Итог

Клиническое наблюдение подтверждает эффективность сочетания различных методов ортодонтической коррекции, позволяющих добиться устойчивого результата даже в сложных случаях подростковой патологии.

Данный случай является ярким примером успешного решения проблемы путем комплексного подхода, объединяя традиционную технику брекетов и современные технологии с использованием элайнеров.

Адрес: Санкт-Петербург, ул. Дивенская, д. 11

Тел.: +7 (812) 679-95-44; +7 921 334-6900

Сайт: https://nightskydental.com/