Найти в Дзене
Probela.net

Можно ли сохранить зуб при сильном разрушении — или только удалять?

Даже если зуб кажется «развалившимся», это не всегда приговор. Современные методы — лечение под микроскопом, вкладки, коронки — позволяют сохранить зуб даже в тяжёлых случаях. В статье разбираем, когда спасение реально и что делать пациентам. В таких случаях в других клиниках часто говорят: «Зуб проще удалить». Но это не всегда так. Иногда зуб нельзя спасти: В таких случаях удаление — это забота о здоровье. Но и тогда есть решение: имплантация зубов или протезирование восстанавливают улыбку и жевание. Под сильным разрушением может скрываться зуб, который ещё можно спасти. Поэтому не паникуйте, не пытайтесь поставить себе диагноз самостоятельно, а как можно скорее обратитесь за консультацией к специалистам. В клинике Probel мы используем лечение под микроскопом, художественную реставрацию и современные коронки, чтобы сохранить зубы даже в тяжёлых случаях. Подробнее о нашем подходе к лечению и кейсах из практики читайте на страницах Лечение зубов, Протезирование и Лечение под микроскоп
Оглавление

Даже если зуб кажется «развалившимся», это не всегда приговор. Современные методы — лечение под микроскопом, вкладки, коронки — позволяют сохранить зуб даже в тяжёлых случаях. В статье разбираем, когда спасение реально и что делать пациентам.

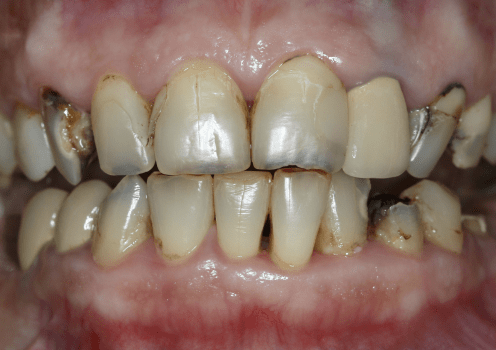
сохранение зубов в стоматологии пробел в Москве
сохранение зубов в стоматологии пробел в Москве

Почему зубы разрушаются до критического состояния

  • Запущенный кариес, который долго не лечили.
  • Повторные пломбы на одном и том же зубе.
  • Скол после травмы.
  • Осложнения после пульпита или периодонтита.

В таких случаях в других клиниках часто говорят: «Зуб проще удалить». Но это не всегда так.

Как можно сохранить даже разрушенный зуб

  • Лечение под микроскопом. Даже корни с осложнённым кариесом или кистами можно вылечить и сохранить. Микроскоп помогает врачу увидеть мельчайшие детали и исключить повторное воспаление.
  • Художественная реставрация. Если разрушена только часть коронки зуба, применяют композит или вкладку — как бы «долепливают» зуб и он выглядит как новый.
  • Коронка. При сильном разрушении ставится циркониевая или керамическая коронка, которая защищает остатки зуба. Она полностью восстанавливает форму и функцию зуба, а внутри остаётся ваш собственный корень.

До лечения и установки виниров
До лечения и установки виниров
После лечения и художественной реставрации зубов в клинике Пробел
После лечения и художественной реставрации зубов в клинике Пробел

Когда удаление действительно необходимо

Иногда зуб нельзя спасти:

  • корень треснул,
  • кость вокруг разрушена,
  • воспаление угрожает соседним зубам.

В таких случаях удаление — это забота о здоровье. Но и тогда есть решение: имплантация зубов или протезирование восстанавливают улыбку и жевание.

Почему сохранение лучше, чем удаление

  • Собственный зуб всегда прочнее любой искусственной конструкции.
  • Лечение кариеса и установка коронки дешевле, чем имплантация.
  • Сохранив корень, вы предотвращаете атрофию кости.

Вместо бездумного «удалить» — получите шанс на восстановление

Под сильным разрушением может скрываться зуб, который ещё можно спасти. Поэтому не паникуйте, не пытайтесь поставить себе диагноз самостоятельно, а как можно скорее обратитесь за консультацией к специалистам.

В клинике Probel мы используем лечение под микроскопом, художественную реставрацию и современные коронки, чтобы сохранить зубы даже в тяжёлых случаях.

Подробнее о нашем подходе к лечению и кейсах из практики читайте на страницах Лечение зубов, Протезирование и Лечение под микроскопом.

Запишитесь на консультацию — врач честно скажет, есть ли шанс сохранить зуб, и предложит план лечения.

Мы отвечаем быстро и с заботой.

Адрес: Москва, Ленинградский проспект, 29к1

проложить маршрут

Телефон: +7 499 130 88 77

Сайт: probelclinic.ru

Мессенджеры — пишите, как вам удобнее:

WhatsApp +7 903 130 88 77

Telegram: probel_clinic

Мы будем рады видеть вас в нашей клинике и подарить ту самую улыбку, о которой вы давно мечтаете.