Найти в Дзене
Probela.net

Обязательно ли ставить ретейнеры после брекетов или элайнеров

Исправить прикус — это только половина пути. После снятия брекетов или элайнеров зубы стремятся вернуться назад. В статье рассказываем, зачем нужны ретейнеры, какие они бывают и как долго их придётся носить. Ретейнер — это фиксирующая конструкция, которая удерживает зубы в правильном положении после лечения прикуса. Виды ретейнеров: Важно: срок ношения индивидуален. Решение принимает ортодонт после регулярных осмотров. Мы понимаем: кажется, что самое трудное уже позади. Брекеты сняли, элайнеры отработали — улыбка ровная, прикус исправлен. Хочется выдохнуть и забыть о лечении. Но именно здесь начинается этап, который решает, сохранится ли результат на годы или сдвиги вернутся уже через несколько месяцев. Зубы и ткани вокруг них обладают «памятью». Даже после успешного исправления прикуса связки и кость ещё не успели перестроиться. Без закрепления зубы постепенно начинают смещаться назад. Что это значит на практике: Да, это может показаться утомительным — ещё что-то «носить» после брек
Оглавление

Исправить прикус — это только половина пути. После снятия брекетов или элайнеров зубы стремятся вернуться назад. В статье рассказываем, зачем нужны ретейнеры, какие они бывают и как долго их придётся носить.

установка ретейнеров для исправление прикуса у взрослых в Москве
установка ретейнеров для исправление прикуса у взрослых в Москве

Что такое ретейнеры и какие они бывают

Ретейнер — это фиксирующая конструкция, которая удерживает зубы в правильном положении после лечения прикуса.

Виды ретейнеров:

  • Несъёмные. Тонкая металлическая дуга, приклеиваемая с внутренней стороны зубов. Невидимы, не мешают и работают круглосуточно.
  • Съёмные. Прозрачные капы или пластинки, которые надеваются на ночь. Требуют дисциплины, но удобны в уходе.
  • Комбинированные. Часто врачи назначают несъёмный ретейнер + съёмную капу для надёжности.

Сколько требуется обычно носить ретейнеры

  • Первые 6–12 месяцев — это критический период, когда зубы особенно «хотят вернуться».
  • Обычно несъёмный ретейнер оставляют на несколько лет, иногда — пожизненно.
  • Съёмные капы носят минимум год, затем — по рекомендации врача.

Важно: срок ношения индивидуален. Решение принимает ортодонт после регулярных осмотров.

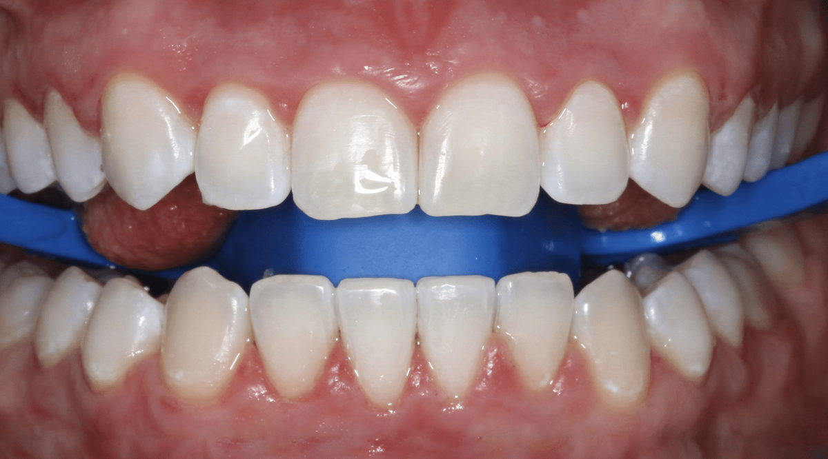
Установка ретейнеров после снятия брекетов в стоматологии Пробел
Установка ретейнеров после снятия брекетов в стоматологии Пробел

Почему установка ретейнеров после брекетов и элайнеров так важна

Мы понимаем: кажется, что самое трудное уже позади. Брекеты сняли, элайнеры отработали — улыбка ровная, прикус исправлен. Хочется выдохнуть и забыть о лечении. Но именно здесь начинается этап, который решает, сохранится ли результат на годы или сдвиги вернутся уже через несколько месяцев.

Зубы и ткани вокруг них обладают «памятью». Даже после успешного исправления прикуса связки и кость ещё не успели перестроиться. Без закрепления зубы постепенно начинают смещаться назад.

Что это значит на практике:

  • Результат без ретейнера нестабилен. Уже через полгода после снятия брекетов можно заметить первые откаты.
  • Повторное лечение всегда дольше и дороже. Вернуть зубы в правильное положение второй раз сложнее, чем закрепить эффект ретейнером.
  • Ретейнеры — это часть лечения. Ортодонты рассматривают установку ретейнера как обязательный завершающий этап, а не «дополнительную опцию».

Да, это может показаться утомительным — ещё что-то «носить» после брекетов. Но именно установка ретейнера гарантирует, что годы исправления прикуса не будут потрачены зря.

Ответы на вопросы, которые часто возникают у пациентов

  • Больно ли ставить ретейнер?
    Нет, процедура занимает 15–20 минут и безболезненна.
  • Можно ли самому решить, какой ретейнер выбрать?
    Нет, врач подбирает конструкцию исходя из ситуации и ваших привычек.
  • Нужно ли ухаживать за ретейнером?
    Да: чистка щёткой, нитью и ирригатором, а для съёмных — ещё и регулярное мытьё кап.

Выбирайте уверенность вместо риска отката

Ретейнеры — это не «навязанная услуга», а обязательный этап, который закрепляет результат ортодонтического лечения.

В клинике Probel мы предлагаем установку ретейнеров после брекетов и элайнеров, следим за их состоянием и напоминаем о плановых осмотрах.

Подробнее о нашем подходе к лечению и кейсы из практики смотрите на страницах Исправление прикуса и Элайнеры.

Запишитесь на консультацию ортодонта — и будьте уверены, что ваша улыбка останется ровной.

Мы отвечаем быстро и с заботой.

Адрес: Москва, Ленинградский проспект, 29к1

проложить маршрут

Телефон: +7 499 130 88 77

Сайт: probelclinic.ru

Мессенджеры — пишите, как вам удобнее:

WhatsApp +7 903 130 88 77

Telegram: probel_clinic

Мы будем рады видеть вас в нашей клинике и подарить ту самую улыбку, о которой вы давно мечтаете.