Найти в Дзене

Аневризма головного мозга — тихая угроза, о которой важно знать

Аневризма — это «выпячивание» стенки сосуда. Пока она маленькая, человек может даже не подозревать о её существовании. Но если стенка лопается — происходит кровоизлияние, которое часто становится смертельно опасным. Как вовремя диагностировать аневризму?
Большинство аневризм обнаруживают случайно — при обследовании по другим поводам. Однако есть признаки, которые должны насторожить:
частые, интенсивные или необычные головные боли;
нарушение зрения (двоение, «пелена» перед глазами);
онемение или слабость в лице, конечностях;
шум в ушах, головокружение;
внезапные приступы боли в одной точке головы. Основные методы диагностики:
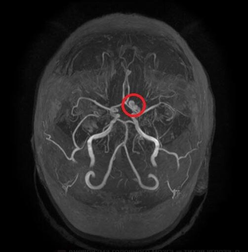
МР-ангиография — безболезненный метод, который позволяет «увидеть» сосуды мозга.
КТ-ангиография — быстрый способ выявить даже мелкие аневризмы.
Цифровая субтракционная ангиография (ЦСА) — «золотой стандарт» при подозрении на аневризму. Совет: если у вас есть родственники, у которых была аневризма, или вы страдаете гипертонией, курите, — стоит пройти обследование.

Аневризма — это «выпячивание» стенки сосуда. Пока она маленькая, человек может даже не подозревать о её существовании. Но если стенка лопается — происходит кровоизлияние, которое часто становится смертельно опасным.

Аневризма головного мозга на МРТ
Аневризма головного мозга на МРТ

Как вовремя диагностировать аневризму?
Большинство аневризм обнаруживают случайно — при обследовании по другим поводам. Однако есть признаки, которые должны насторожить:
частые, интенсивные или необычные головные боли;
нарушение зрения (двоение, «пелена» перед глазами);
онемение или слабость в лице, конечностях;
шум в ушах, головокружение;
внезапные приступы боли в одной точке головы.

Аневризма головного мозга на МРТ
Аневризма головного мозга на МРТ

Основные методы диагностики:
МР-ангиография — безболезненный метод, который позволяет «увидеть» сосуды мозга.
КТ-ангиография — быстрый способ выявить даже мелкие аневризмы.
Цифровая субтракционная ангиография (ЦСА) — «золотой стандарт» при подозрении на аневризму.

Аневризма головного мозга на МРТ
Аневризма головного мозга на МРТ

Совет: если у вас есть родственники, у которых была аневризма, или вы страдаете гипертонией, курите, — стоит пройти обследование. Лучше узнать о проблеме заранее, чем столкнуться с её последствиями.
Забота о сосудах — это забота о жизни.

https://domedica24.ru