Найти в Дзене
ГоБалаково

Балаковские врачи спасли пенсионерку с тяжелым диагнозом

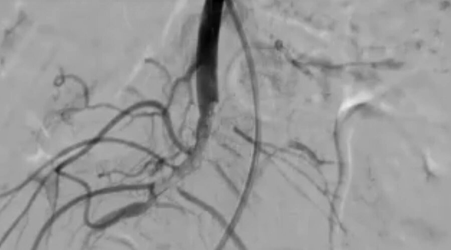
В Балаково медики провели уникальную операцию, использовав нестандартный способ лечения. Проявив сообразительность и мастерство, Балаковские врачи спасли пенсионерку с тяжелым диагнозом. Как сообщает Балаковская городская клиническая больница (БГКБ), в приемное отделение поступила 78-летняя пенсионерка с тромбозом кишечника. Отличить на ранних этапах данное заболевание от других очень сложно, и окончательный диагноз врачи поставили уже непосредственно перед операцией. Медикам пришлось не только удалить омертвевшую часть кишечника, но и удалось необычным способом восстановить кровообращение в сосудах. По информации БГКБ, пенсионерку после операции внимательно наблюдали в течение недели, и сейчас уже выписали из больницы. А подробности уникальной операции балаковских медиков смотрите в репортаже БГКБ. Фото, видео: БГКБ Читайте также: Балаковца обвинили в нарушении городского дизайн-кода
   Фото: БГКБ
Фото: БГКБ

В Балаково медики провели уникальную операцию, использовав нестандартный способ лечения. Проявив сообразительность и мастерство, Балаковские врачи спасли пенсионерку с тяжелым диагнозом.

Как сообщает Балаковская городская клиническая больница (БГКБ), в приемное отделение поступила 78-летняя пенсионерка с тромбозом кишечника. Отличить на ранних этапах данное заболевание от других очень сложно, и окончательный диагноз врачи поставили уже непосредственно перед операцией. Медикам пришлось не только удалить омертвевшую часть кишечника, но и удалось необычным способом восстановить кровообращение в сосудах. По информации БГКБ, пенсионерку после операции внимательно наблюдали в течение недели, и сейчас уже выписали из больницы. А подробности уникальной операции балаковских медиков смотрите в репортаже БГКБ.

Фото, видео: БГКБ

Читайте также: Балаковца обвинили в нарушении городского дизайн-кода