Добавить в корзинуПозвонить
Найти в Дзене

Киста почки стала частой находкой при мужском чекапе в Карелии

За полтора года специалисты республики выявили у 29 мужчин в возрасте от 34 лет до 71 года кисту почки. Киста почки является частой находкой во время обследования мужского здоровья в Карелии, за полтора года специалисты выявили ее у 29 мужчин в возрасте от 34 лет до 71 года, сообщил глава Минздрава республики Михаил Охлопков. «Во время обследования мужского здоровья (мужского чекапа), которое мы проводим на базе Республиканского противотуберкулезного диспансера совместно с городской поликлиникой № 2, выявляем много различных патологий, в том числе на ранней стадии. Например, дислипидемию, узловой зоб, доброкачественные гиперплазии предстательной железы, образования печени и почек, нарушения гликемии натощак, хроническую обструктивную болезнь легких и другие заболевания», — рассказал Михаил Охлопков. Киста почки при компьютерной томографии визуализируется как объемное жидкостное образование округлой формы с четкими ровными контурами. Ключевым диагностическим критерием является характери
   Фото: со страницы Михаила Охлопкова
Фото: со страницы Михаила Охлопкова

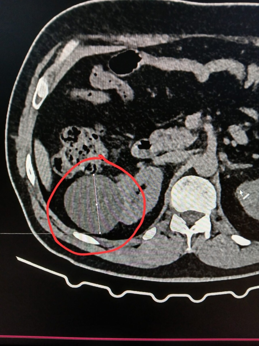
За полтора года специалисты республики выявили у 29 мужчин в возрасте от 34 лет до 71 года кисту почки.

Киста почки является частой находкой во время обследования мужского здоровья в Карелии, за полтора года специалисты выявили ее у 29 мужчин в возрасте от 34 лет до 71 года, сообщил глава Минздрава республики Михаил Охлопков.

Фото: со страницы Михаила Охлопкова  📷
Фото: со страницы Михаила Охлопкова 📷

«Во время обследования мужского здоровья (мужского чекапа), которое мы проводим на базе Республиканского противотуберкулезного диспансера совместно с городской поликлиникой № 2, выявляем много различных патологий, в том числе на ранней стадии. Например, дислипидемию, узловой зоб, доброкачественные гиперплазии предстательной железы, образования печени и почек, нарушения гликемии натощак, хроническую обструктивную болезнь легких и другие заболевания», — рассказал Михаил Охлопков.

Киста почки при компьютерной томографии визуализируется как объемное жидкостное образование округлой формы с четкими ровными контурами. Ключевым диагностическим критерием является характеристика ее содержимого и поведение при контрастном усилении.

Простая киста имеет однородное содержимое с плотностью, характерной для жидкости, не накапливает контрастное вещество и обладает тонкой, невидимой стенкой. Это доброкачественное образование.

Сложные кисты требуют особого внимания, отметил министр. Их признаки включают наличие перегородок, утолщение стенок, кальцинаты и, что наиболее важно, усиление этих элементов после введения контраста. Последнее указывает на васкуляризацию (кровоснабжение) тканей и является маркером потенциальной малигнизации (возможности озлокачествления), что диктует необходимость дальнейшего наблюдения или хирургического вмешательства.

Отметим, что чекап мужского здоровья проводят за один день каждое воскресенье. Жители могут проконсультироваться у терапевта, офтальмолога, онколога, пульмонолога, эндокринолога, кардиолога, хирурга, уролога, медицинского психолога и пройти ряд лабораторных и инструментальных диагностических исследований.

Напомним, что ранее о секретах мужского здоровья рассказал главный внештатный уролог карельского Минздрава, заведующий отделением урологии Республиканской больницы имени В.А. Баранова Руслан Симанов.