Добавить в корзинуПозвонить
Найти в Дзене
Parodoctor

Под красивой металлокерамической "подковой" оказалась труха - тотальная имплантация с одномоментной нагрузкой, 6 имплантатов на 1 челюсть

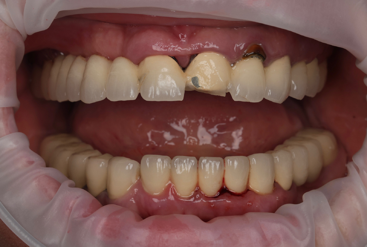
Если вы посмотрите на фото "до", то вряд ли подумаете, что нам пришлось удалить все зубы на верхней челюсти... Однако, вся верхняя челюсть состоит из сплошной подковы из металлокерамики. Это, само по себе, допустимо, но не всегда и не везде. Снизу тоже МК, но не подкова. Пациентка пришла с жалобами на боль, неприятный запах, скол керамики. Она уже понимала, что её ожидает впереди. Первое, что бросилось в глаза - конструкция на верхней челюсти справа. Мост от первого резца до седьмого зуба - 5 единиц без опоры в виде корней, имплантатов: Внимание - пять единиц подряд висят в воздухе! Зубы 1.2, 1.3, 1.4, 1.5, 1.6 - это просто керамические болванки без опоры на корни. Мост через пропасть, не иначе. Зуб 1.1 - скол керамики до металла. Зуб 2.2 - перелом корня. Причём настолько явный, что часть его торчит из десны: Деструкция костной ткани вокруг всех корней: У некоторых зубов в кости осталось только 50% корня. У других - корни полностью висят в воздухе, окружённые грануляциями. Сама те
Оглавление

Если вы посмотрите на фото "до", то вряд ли подумаете, что нам пришлось удалить все зубы на верхней челюсти...

Однако, вся верхняя челюсть состоит из сплошной подковы из металлокерамики. Это, само по себе, допустимо, но не всегда и не везде. Снизу тоже МК, но не подкова.

Ортопедический тотал из металлокерамики
Ортопедический тотал из металлокерамики

Пациентка пришла с жалобами на боль, неприятный запах, скол керамики. Она уже понимала, что её ожидает впереди.

Что скрывала красивая керамика

Первое, что бросилось в глаза - конструкция на верхней челюсти справа. Мост от первого резца до седьмого зуба - 5 единиц без опоры в виде корней, имплантатов:

Промежуточные коронки - 5 единиц
Промежуточные коронки - 5 единиц

Внимание - пять единиц подряд висят в воздухе! Зубы 1.2, 1.3, 1.4, 1.5, 1.6 - это просто керамические болванки без опоры на корни. Мост через пропасть, не иначе.

Зуб 1.1 - скол керамики до металла.

Зуб 2.2 - перелом корня. Причём настолько явный, что часть его торчит из десны:

Деструкция костной ткани вокруг всех корней:

У некоторых зубов в кости осталось только 50% корня. У других - корни полностью висят в воздухе, окружённые грануляциями.

Сама техническая работа, кстати, очень симпатичная. Коронки красивые.

Что делать?

Пациентка из другого города, отправила запрос на нашу почту, прислала снимки, рассказала историю и пожелания. Заранее спланировали вмешательство и пригласили в клинику для дополнительных исследований и начала лечения.

А лечение планируется глобальное и интересное. Много нюансов как на этапе диагностики выявлено (проблема с суставом), так и в самой операции (порвалась слизистая гайморовой пазухи).

Но обо всём по мере поступления - начнём с тотальной имплантологической работы на верхней челюсти.

"Всё на 6", верхняя челюсть - 4 классических и 2 птеригоидных имплантата

Что под коронками

Когда во время операции сняли эту металлическую подкову, картина открылась апокалиптическая, но это сюрпризом не стало (зубы и решено было удалять из-за того, что корни сгнили под коронками):

Кариозные остатки корней
Кариозные остатки корней

Это уже не зубы, а труха. Кариес разрушил корни настолько, что зондом можно было проткнуть их насквозь. Чёрные, размягчённые остатки того, что когда-то было зубами.

И это при том, что зрительно сама конструкция выглядела вполне прилично. Хорошая эстетика, аккуратная работа техника.

Но что металлу и керамике будет, особо? Зато живые ткани пострадали - постоянный воспалительный процесс в пародонте, гнойное отделяемое, неприятный запах. Всё это годами культивировалось под красивыми коронками.

Дополнительные сюрпризы - сустав и пазуха

При обследовании выяснилось, что один из ВНЧС пострадал от неправильной нагрузки, но не фатально. Годы жевания на металлических подковах с нарушенной окклюзией сделали своё дело, движения челюсти были для одного из ВНЧС травмирующими.

Но это ещё не всё. Пациентка когда-то перенесла ЛОР-операцию на гайморовой пазухе слева. Рубцы, фиброз, потеря эластичности мембраны - всё это выяснилось уже во время операции.

6 имплантатов и порванная мембрана

Тотальная имплантация на верхней челюсти - 4 классических имплантата и 2 птеригоидных (это те, что устанавливаются в крыловидные отростки, иногда позволяют обойтись без синус-лифтинга).

Всё всегда по цифровому протоколу. Все операции заранее проведены на компьютере. Навигационный шаблон, выверенные до миллиметра позиции. И тут - сюрприз живого организма. При установке имплантата в позицию зуба 2.4 слева нужно было отслоить часть мембраны гайморовой пазухи и мембрана эта порвалась.

Хирург потом рассказывал: - "Начал аккуратно поднимать мембрану, а она как пергамент - рвётся от прикосновения. Фиброз после той давней операции сделал её неэластичной."

Пришлось заниматься пазухой обширно - долго и мучительно отслаивать фиброзную слизистую изнутри пазухи. Укладывать специальные материалы. Ставить барьерную мембрану. Операция позатянулась.

-7
Но ничего критичного, по большому счёту, для работы и здоровья. Такое случается. Главное - вовремя среагировать и правильно действовать.

Установленные имплантаты - в полном объёме выполнили все поставленные задачи:

После установки имплантатов сразу сняли цифровые слепки за 15 минут.

-9

Сразу после прикрутили заранее изготовленный иммедиат-протез - временную конструкцию, чтобы пациентка ушла с зубами (фото сразу не делали, но вот фотография на 5 день):

Иммедиат-протез, который прикручивается к имплантатам сразу после операции
Иммедиат-протез, который прикручивается к имплантатам сразу после операции

Через 5 дней был готов временный адаптационный протез длительного ношения:

Протез специально укороченный, чтобы не нагружать сразу птеригоидные имплантаты. Он усилен индивидуальной титановой балкой. Он изготовлен из PMMA повышенной прочности.

И он не маленький - потому что должен держать нагрузку, но ещё по той причине, что сами челюсти у пациентки широкие:

-12

Посмотрите на фото "после" - отёков нет, синяков нет. А ведь прошло меньше недели после тотального удаления всех зубов на челюсти и установки 6 имплантатов!

-13

Что дальше - план глобальной реконструкции

Верхняя челюсть - это только начало. Впереди:

  • работа с ВНЧС (там серьёзная проблема, требующая аккуратного подхода);
  • работа с нижними фронтальными зубами - снять старое, поработать с пародонтом (пока есть шанс их спасти);
  • удаления, имплантация и новые коронки на нижнюю челюсть;
  • постоянный протез для верхней челюсти.

В, но решаемый. Не быстро. Главное - пациентка попала в правильные руки. Команда работает слаженно, с учётом всех особенностей (в том числе, гнатологических). Все понимают конечную цель - полная реабилитация с учётом проблем сустава.

Вывод

Все ли коронки доводят зубы до удаления? Ни в коем случае! И дело, даже, не в материалах (современные материалы все нормальные). Дело во враче.

Если у вас во рту имеются коронки, мосты, подковы - имейте в виду, что от периодического контроля ситуации по КЛКТ хуже не будет. Лучше узнать о проблеме на стадии, когда ещё можно что-то спасти.

И помните - в стоматологии не бывает решений на всю жизнь для всех и всегда. Бывают решения, которые при правильном уходе и регулярном контроле служат очень долго. Если повезло с врачом, то повезёт и с конструкциями.

Больше статей по нашим тотальным работам:

Тотальные работы на имплантатах. | Parodoctor | Дзен

Вопросы задавайте в моём Telegram-канале - там я их точно увижу и отвечу. В Дзене сотни комментариев под сотнями статей и я физически не успеваю всё всегда мониторить. В Telegram все вопросы в одном месте, удобно отвечать, можно фото прикрепить. Так что жду в тг:

Parodoctor

С уважением, Лежачёва Наталия Александровна, хирург-пародонтолог и главный врач стоматологии Parodent, СПб.