Найти в Дзене
MY ORT

Как мотивация ребёнка 11 лет помогла исправить дистальный прикус без сложных аппаратов. Клинический случаи

Иногда для успешного лечения не нужно сложное оборудование, а достаточно лишь правильной диагностики, доверительных отношений и ответственности пациента. Я, врач-стоматолог, ортодонт, гнатолог, хочу рассказать вам об одном клиническом случае - маленькой девочке, чей интерес к лечению помог избежать установки сложных конструкции для коррекции прикуса и подчеркнул, как важны доверие и сотрудничество между врачом и пациентом. Ко мне на консультацию обратилась девочка 11 лет вместе с мамой по рекомендации стоматолога-терапевта. Основными причинами обращения стали затруднённая гигиена полости рта и эстетические жалобы — неровные зубы и неправильное положение клыков на верхней челюсти. На момент начала лечения я использовала классические методы комплексной диагностики — снятие оттисков, изготовление гипсовых моделей и их анализ. Сейчас аналогичные исследования мы выполняем уже в цифровом формате, но суть остается прежней — точная оценка каждого параметра прикуса и роста челюстей. Дополнитель
Оглавление

Иногда для успешного лечения не нужно сложное оборудование, а достаточно лишь правильной диагностики, доверительных отношений и ответственности пациента.

Я, врач-стоматолог, ортодонт, гнатолог, хочу рассказать вам об одном клиническом случае - маленькой девочке, чей интерес к лечению помог избежать установки сложных конструкции для коррекции прикуса и подчеркнул, как важны доверие и сотрудничество между врачом и пациентом.

Жалобы пациентки

Ко мне на консультацию обратилась девочка 11 лет вместе с мамой по рекомендации стоматолога-терапевта. Основными причинами обращения стали затруднённая гигиена полости рта и эстетические жалобы — неровные зубы и неправильное положение клыков на верхней челюсти.

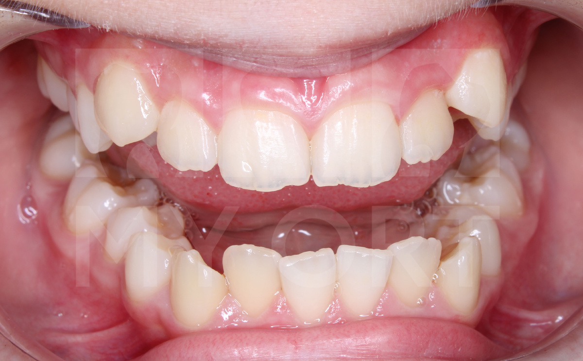
Ситуация ДО

Диагностика

На момент начала лечения я использовала классические методы комплексной диагностики — снятие оттисков, изготовление гипсовых моделей и их анализ. Сейчас аналогичные исследования мы выполняем уже в цифровом формате, но суть остается прежней — точная оценка каждого параметра прикуса и роста челюстей.

Дополнительно было проведено объемное КТ черепа для оценки состояния не только зубных рядов, но и височно-нижнечелюстного сустава, пазух и костных структур лица.

Также я произвела расчет телерентгенограммы (ТРГ) — это позволило определить диспропорции между челюстями, их углы наклона и положение зубов.

Результаты показали наличие выраженного дистального прикуса. Это когда нижняя челюсть находится в более заднем положении по отношению к верхней.

План лечения

Для коррекции прикуса мы с пациенткой и ее мамой рассматривали два варианта:

  • использование межчелюстных тяг (резиночек) при условии высокой ответственности пациентки, при ношении брекетов. Так как носить межчелюстные тяги придется круглосуточно.
Межчелюстные тяги
Межчелюстные тяги
  • или применение аппарата Гербста: несъёмной конструкции, которая механически выдвигает нижнюю челюсть вперёд и стимулирует её рост. Такой аппарат более основательный, и ребенок снять его не сможет.

Лечение

В итоге мы приняли решение начать лечение с установки лигатурной брекет-системы с межчелюстными тягами (резиночками). Девочка была очень мотивирована на лечение, носила резинки строго по назначению и не пропускала приёмы. Мы вместе с ней выбирали цвета резиночек для брекет-системы и в итоге нам не понадобилась установка громоздкой конструкции — аппарата Гербста.

Мы справились и так!

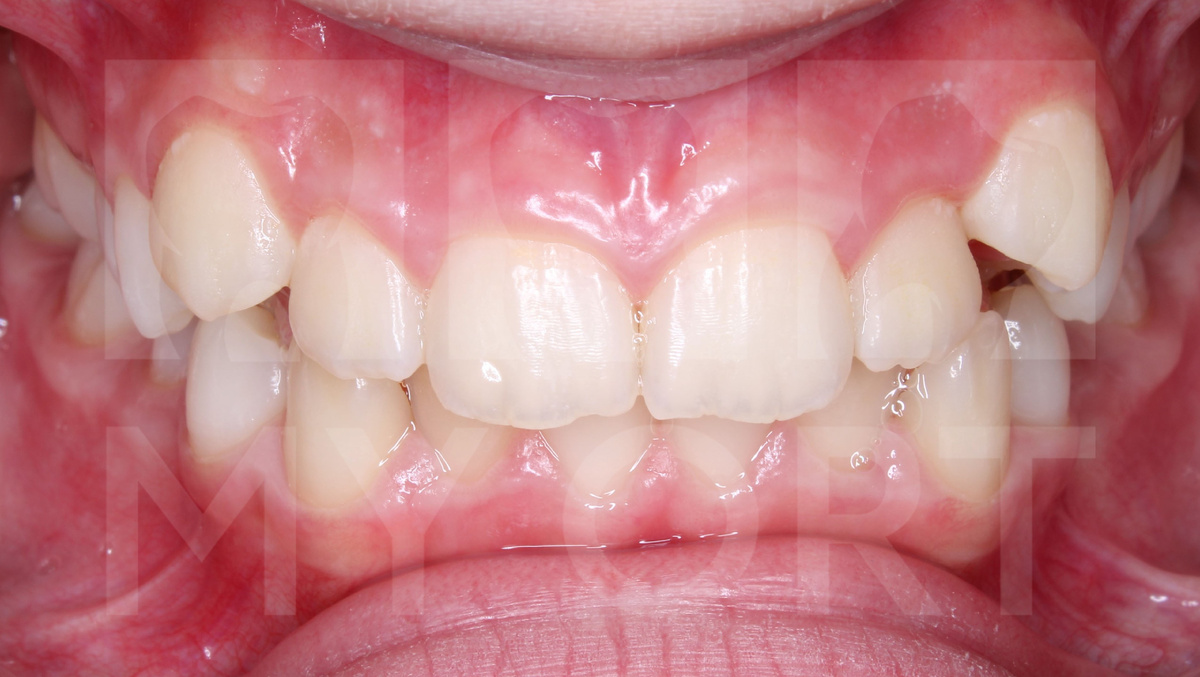
В процессе ношения
В процессе ношения

Взаимодействие с ребёнком

Ни одно ортодонтическое лечение невозможно без доверия со стороны пациента. Я уверена, что в общении с ребёнком особенно важно выстроить безопасную и доброжелательную атмосферу. Общаться уважительно — как со взрослым, полноценным участником процесса лечения. Показать, что лечение — это совместная работа врача и пациента. Мы всегда обсуждали каждый этап лечения и вместе принимали участие в коррекции ее прикуса.

Благодаря дисциплине и ответственному подходу пациентки к лечению, нам удалось избежать фиксации сложных аппаратов. Уже через 1 год и 4 месяца мы сняли брекеты и добились отличного результата.

Результаты лечения. До и после

В начале лечения было видно, что нижняя челюсть располагалась дистальнее верхней, а клыки находились выше зубного ряда.

По завершении лечения мы смогли добиться:

  1. ровных зубных рядов;
  2. правильное фиссурно-бугорковое смыкание зубов;
  3. гармоничное соотношение верхней и нижней челюсти.

После снятия брекетов пациентке были установлены ретейнеры на верхнюю и нижнюю челюсти для закрепления результата.

Пациентка продолжает регулярно приходить на контрольные осмотры: прикус стабилен, фиксация ретейнеров удовлетворительная, состояние полости рта отличное.

Как проходило ваше ортодонтическое лечение? Довольны ли вы результатом? А может, только планируете начать? Делитесь опытом и задавайте вопросы в комментариях!

Автор статьи: Бобылёва Анастасия Игоревна. Врач-стоматолог, ортодонт, гнатолог