Найти в Дзене
MY ORT

Скрытый кариес перед брекетами. Реальный кейс врача-стоматолога

Иногда пациенты приходят на приём с уверенностью, что «всё хорошо»: ничего не болит, не беспокоит, жалоб нет, зубы визуально в полном порядке. Но именно в таких ситуациях современная диагностика может показать то, что скрыто от наших глаз. Так было и в моем клиническом случаи с пациенткой. Пациентка обратилась просто на осмотр перед ортодонтическим лечением — планировала установку брекетов. На первый взгляд всё было идеально, но… Пациентка обратилась ко мне как к врачу–стоматологу общей практики для осмотра перед установкой брекет-системы. Каких-либо жалоб не было, пациентку ничего не беспокоило: боли, чувствительности или эстетических дефектов тоже не было. На первый взгляд, зубы были полностью здоровые. Однако в таких «спокойных» случаях важно проводить диагностику для обнаружения проблемы и постановке диагноза, что я и сделала! Для оценки состояния зубов и планирования ортодонтического лечения было проведена КЛКТ (конусно-лучевая компьютерная томография). На снимках я обнаружила с
Оглавление

Иногда пациенты приходят на приём с уверенностью, что «всё хорошо»: ничего не болит, не беспокоит, жалоб нет, зубы визуально в полном порядке. Но именно в таких ситуациях современная диагностика может показать то, что скрыто от наших глаз.

Так было и в моем клиническом случаи с пациенткой. Пациентка обратилась просто на осмотр перед ортодонтическим лечением — планировала установку брекетов.

На первый взгляд всё было идеально, но…

Жалобы пациента

Пациентка обратилась ко мне как к врачу–стоматологу общей практики для осмотра перед установкой брекет-системы. Каких-либо жалоб не было, пациентку ничего не беспокоило: боли, чувствительности или эстетических дефектов тоже не было.

На первый взгляд, зубы были полностью здоровые. Однако в таких «спокойных» случаях важно проводить диагностику для обнаружения проблемы и постановке диагноза, что я и сделала!

Проведение диагностики

Для оценки состояния зубов и планирования ортодонтического лечения было проведена КЛКТ (конусно-лучевая компьютерная томография).

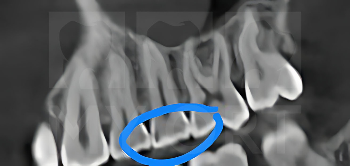
На снимках я обнаружила скрытые кариозные полости, не видимые при обычном визуальном осмотре.

Я показала снимки пациентке, подробно объяснила ей состояние зубов и почему без предварительного терапевтического лечения ортодонтическое вмешательство недопустимо.

Скрытые кариозные полости на снимке КЛКТ
Скрытые кариозные полости на снимке КЛКТ

После чего, мной был составлен индивидуальный план лечения.

План лечения

Индивидуальный план лечения, основанный на результатах КЛКТ, выглядел следующим образом:

  1. Проведение терапевтического лечения кариеса перед ортодонтическим этапом.
  2. Изоляция рабочих зон и тщательная санация полости рта.
  3. Восстановление зубов композитным материалом с сохранением естественной анатомии.
  4. Контроль качества пломб и прикуса.

Лечение кариеса

Первым этапом была проведена аппликационная анестезия для уменьшения дискомфорта, затем — инфильтрационная анестезия, чтобы снизить дискомфорт при введении анестетика (временное прекращение или снижение чувствительности, в основном боли).

Далее я установила изоляцию коффердамом, очистила поверхность зубов при помощи порошка и приступила к иссечению кариозных тканей под контролем индикатора кариеса.

Коффердам - специальная латексная пластина, для изоляции одного или нескольких зубов от остальной полости рта во время лечения. Бывает разного цвета, у нас она синяя.
Зубы покрытые коффердамом и готовы к терапевтическому лечению
Зубы покрытые коффердамом и готовы к терапевтическому лечению

После удаления поражённых участков зубы были восстановлены композитно-пломбировочным материалом, а затем отшлифованы и отполированы.

Удалены поражённые участки зубов и восстановлены пломбировочным материалом
Удалены поражённые участки зубов и восстановлены пломбировочным материалом
Отшлифованы и отполированы
Отшлифованы и отполированы

Завершающим этапом стала проверка окклюзионного соотношения зубов при нагрузке, чтобы пломбы не мешали при жевании.

Результат

После завершения санации полости рта пациентка полностью готова к установке брекет-системы, жевательная функция восстановлена, прикус в норме. После лечения я дала пациенте профилактические рекомендации.

В дальнейшем пациентке предстоит лечение ещё трёх зубов, где тоже были обнаружены скрытые очаги на снимках КЛКТ.

Даже при идеальном самочувствии важно проходить диагностику КЛКТ перед началом любого серьезного лечения.

Рекомендации по уходу за зубами

Не забывайте делать профилактические снимки раз в 1,5–2 года, это как флюорография, только для зубов. Проходите профессиональную гигиену полости рта каждые полгода и использовать зубную нить вместе с индикатором налёта для домашнего ухода за полостью рта.

Вывод. Главное — не ждать!

Современная стоматология помогает увидеть проблему ещё до того, как она даст о себе знать. Лечение проходит быстрее, без осложнений и сохраняет максимум здоровых тканей.

Этим клиническим случаем я хочу напомнить, что даже если вам кажется, что всё в порядке — диагностика перед брекетами обязательна. Ведь красивая улыбка начинается не с дуг и брекетов, а со здоровых зубов под ними.

Как проходило Ваше лечение зубов, какие были результаты, довольны ли Вы ими? Если есть вопросы, задавайте их в комментариях.

Автор статьи: Соболевская Дарья Андреевна, врач-стоматолог общей практики