Найти в Дзене
Иннова Клиник

Пациент, обратился с жалобами на кровоточивость десен, неприятный запах изо рта

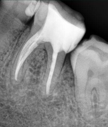
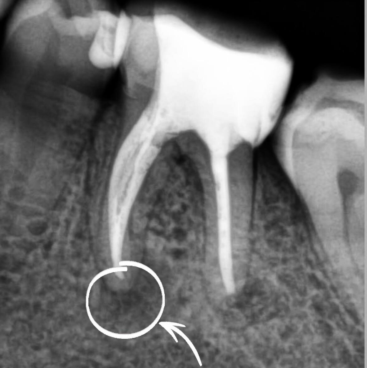
Пациент, обратился с жалобами на кровоточивость десен, неприятный запах изо рта. При осмотре был выявлен зуб, с негерметичной пломбой, провоцирующей застревание пищи и последующую кровоточивость десны. На рентгенологическом исследовании выявлен участок деструкции костной ткани. При снятии пломбы был неприятный запах из корневых каналов, что вызывало неприятный запах изо рта. Проведено лечение зуба с использованием операционного микроскопа, лечение проходило в несколько этапов. Через 6 месяцев после начала лечения наблюдалось значительное улучшение: уменьшение очага поражения и восстановление состояния десны. Рентгенологические исследования показали признаки регенерации костной ткани. Этот случай демонстрирует то, что очень важно не игнорировать симптомы заболевания и своевременно обращаться к стоматологу. В руках профессионала даже самые сложные случаи способны к заживлению и восстановлению. 👏

Пациент, обратился с жалобами на кровоточивость десен, неприятный запах изо рта. При осмотре был выявлен зуб, с негерметичной пломбой, провоцирующей застревание пищи и последующую кровоточивость десны. На рентгенологическом исследовании выявлен участок деструкции костной ткани. При снятии пломбы был неприятный запах из корневых каналов, что вызывало неприятный запах изо рта.

Проведено лечение зуба с использованием операционного микроскопа, лечение проходило в несколько этапов.

Через 6 месяцев после начала лечения наблюдалось значительное улучшение: уменьшение очага поражения и восстановление состояния десны. Рентгенологические исследования показали признаки регенерации костной ткани.

Этот случай демонстрирует то, что очень важно не игнорировать симптомы заболевания и своевременно обращаться к стоматологу.

В руках профессионала даже самые сложные случаи способны к заживлению и восстановлению. 👏

-2