Найти в Дзене
Войти
Правда Гомель
45 подписчиков
Подписаться
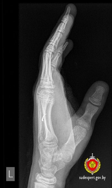
❗️В Петриковском районе 13-летний подросток прострелил руку строительным патроном
7 октября 2025
7 окт 2025
~1 мин
❗️В Петриковском районе 13-летний подросток прострелил руку строительным патроном
❗️В Петриковском районе 13-летний подросток прострелил руку строительным патроном
...
Читать далее
❗️В Петриковском районе 13-летний подросток
прострелил
руку строительным патроном
874310038.861.1775637587501.94639