Найти в Дзене
Прайм-Стоматология

Почему у ребёнка скученные зубы? Причины и пути решения

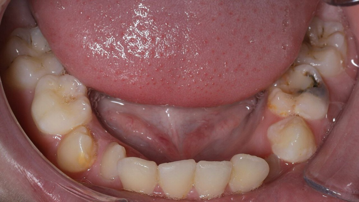
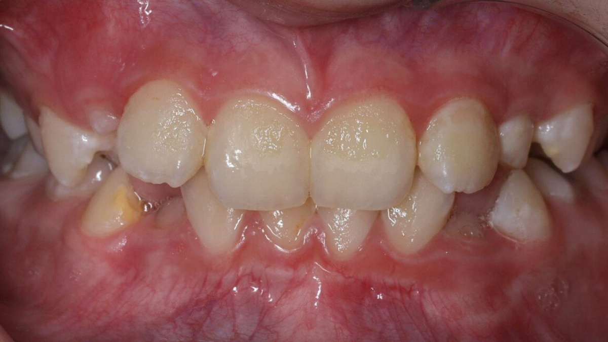
Многие родители замечают, что в период смены прикуса у детей зубы занимают неправильное положение — наклоняются под углом друг к другу, создавая ощущение нехватки места в полости рта. Такую ортодонтическую аномалию называют «скученность зубов», и она является одной из самых частых причин обращений к стоматологу. Почему возникает скученность, можно ли её исправить и к каким последствиям она может привести — рассказала врач-ортодонт клиники «Прайм-стоматология» Шиндяпина Елизавета Васильевна. - Скученное положение зубов — действительно очень распространённая аномалия, при которой нарушается соотношение между величиной челюстей, зубов и их количеством Причин у этой патологии немало: 👉 вредные привычки — закусывание ручки, верхней/нижней губы, сосание пальца, ротовое дыхание могут способствовать неправильному росту и смещению челюстей, деформации зубных рядов. В дальнейшем это нередко вызывает проблемы с жеванием, речью и негативно сказывается на эстетике лица, 👉 полидонтия — наличие св

Многие родители замечают, что в период смены прикуса у детей зубы занимают неправильное положение — наклоняются под углом друг к другу, создавая ощущение нехватки места в полости рта. Такую ортодонтическую аномалию называют «скученность зубов», и она является одной из самых частых причин обращений к стоматологу.

Почему возникает скученность, можно ли её исправить и к каким последствиям она может привести — рассказала врач-ортодонт клиники «Прайм-стоматология» Шиндяпина Елизавета Васильевна.

Елизавета Васильевна ведёт приём в филиале на Есенина, 110.
Елизавета Васильевна ведёт приём в филиале на Есенина, 110.

- Скученное положение зубов — действительно очень распространённая аномалия, при которой нарушается соотношение между величиной челюстей, зубов и их количеством

Причин у этой патологии немало:

👉 вредные привычки — закусывание ручки, верхней/нижней губы, сосание пальца, ротовое дыхание могут способствовать неправильному росту и смещению челюстей, деформации зубных рядов. В дальнейшем это нередко вызывает проблемы с жеванием, речью и негативно сказывается на эстетике лица,

👉 полидонтия — наличие сверхкомплектных (дополнительных) зубов, для которых не предусмотрено место в зубном ряду. Они могут вызывать скученность зубов и неправильное смыкание челюстей, что опять же затрудняет речь и жевание,

👉 акродентия — когда размер коронки зуба превышает допустимую норму, что приводит к скученности, смещению и ротации зубов из-за дефицита места в челюсти,

👉 генетическая предрасположенность,

👉 ранняя потеря молочных зубов может привести к смещению соседних зубных единиц, что нарушает положение постоянных зубов и затрудняет их нормальное прорезывание,

👉 недостаточное развитие челюсти, которое возникает из-за хронических заболеваний, нехватки витаминов, неправильного питания и приводит к недостаточному месту для расположения зубов.

- Родители моих маленьких пациентов часто задают вопрос: «К чему может привести скученность зубов? Так ли критична эта аномалия?». Я всегда стараюсь честно и чётко рассказать про возможные последствия:

✔ скученность зачастую приводит к ухудшению гигиены полости рта. Что является причиной развития кариеса, заболевания десен (гингивит, пародонтит), а также неприятного запаха изо рта,

✔ могут возникнуть проблемы с прикусом. Неправильное положение зубов затрудняет процесс жевания, неравномерная нагрузка на зубной ряд способствует стираемости эмали, а смещение нижней челюсти, которое может возникнуть из-за скученности зубов, приводит к дисфункции ВНЧС (височно-нижнечелюстной сустав),

✔ нередки травмы мягких тканей полости рта (прикусывание щек, губ, языка), которые обычно носят постоянный характер и приводят к аномальному делению клеток, вызывая патологии слизистой оболочки.

-4

- Спешу успокоить родителей: эта патология поправима. Современная стоматология предлагает несколько вариантов лечения скученности.

Так, в молочном прикусе (до 6 лет) основное внимание уделяется профилактике зубочелюстных аномалий: устранению вредных привычек у ребёнка, использованию вестибулярных пластинок по назначению врача-ортодонта, выполнению миогимнастики для круговой мышцы рта и языка, а также занятиям с логопедом для нормализации функций зубочелюстной системы.

📍 Вестибулярная пластинка – съёмный аппарат, который имеет разные модификации и применяется для коррекции нарушений прикуса, речевых дефектов и устранения вредных привычек, лечения ротового дыхания у детей.

Вестибулярные пластинки. Фото взято из сети интернет.
Вестибулярные пластинки. Фото взято из сети интернет.

В сменном прикусе (6-12 лет) лечение направлено на расширение челюсти, чтобы создать место постоянным зубам. Для этого применяют:

◾ съёмные аппараты на верхнюю и нижнюю челюсть – состоят из пластмассовой основы, повторяющей форму неба, металлической дуги и расширяющего винта. Могут содержать дополнительные элементы (пружины, толкатели, накладки, накусочные площадки, наклонные плоскости), которые оказывают давление на зубы для их коррекции. Подкручивание винта происходит ключом при снятии аппарата.

◾ несъёмные аппараты: Марко Роса, MARPE, Квад-хеликс, МакНамара, Дерихсвайлера.

Варианты съёмных аппаратов.
Варианты съёмных аппаратов.

- Для продолжения лечения после расширяющих аппаратов, чтобы «развернуть» зубы в зоне улыбки и создать место для постоянных клыков используют частичную брекет-систему – несъемный аппарат, состоящий, как правило, из 6 металлических замочков, дуги и дополнительных элементов при необходимости – лигатур, пружин.

В постоянном прикусе (после 12 лет) выравнивают положение зубов с помощью

◽ полной брекет-системы– несъемного аппарата на верхнюю и нижнюю челюсть с замочками на все зубы и металлической дугой. Замочки могут прикрепляться к дуге эластичными лигатурами или специальными креплениями.

-7

◽ элайнеров – набора прозрачных кап, которые меняются по назначению врача-ортодонта. Являются съемными, но для достижения хорошего результата необходимо их носить постоянно и снимать только на время еды и чистки зубов.

-8

- 🔎И немного про профилактику скученности зубов у детей. Важно добавлять в рацион твёрдую пищу для лучшего развития челюстей. Необходимо отучать малышей от вредных привычек (сосание пальца и проч.). При частом ротовом дыхании может потребоваться консультация ЛОР-врача для исключения увеличения аденоидов.

Будьте здоровы и регулярно проходите осмотры с детьми у врача-ортодонта для контроля сроков и порядка прорезывания зубов!

.

Записаться на консультацию к врачам-ортодонтам в ПРАЙМ можно по телефону — (4912)292-000.

_________________________________

Наши клиники в г. Рязань:

Есенина, 110

Советской армии, 9

Бирюзова, 28а

Интернациональная, 23

Полетаева, 34 (клиника корпоративного университета)

https://www.prime-med.ru