Добавить в корзинуПозвонить
Найти в Дзене

Снятие старых виниров с помощью эрбиевого лазера LiteTouch в Regale: быстро, безопасно и без боли

Снятие виниров больше не повод для волнения. В центре инновационной стоматологии Regale мы используем современные технологии, чтобы сохранить максимум комфорта и здоровья ваших зубов. С помощью эрбиевого лазера LiteTouch виниры снимаются бережно — без повреждения эмали, без боли и без страха. 🦷 Реальный кейс: снятие 6 виниров за 45 минут Пациент обратился к нам, чтобы заменить старые виниры на верхней челюсти. Вся процедура заняла всего 45 минут — включая анестезию, полировку и установку временных виниров. После снятия на зубах остались следы цемента — это естественно. Мы аккуратно отполировали эмаль, чтобы вернуть ей гладкость. И подготовить зубы к новым временным винирам. Установили временные виниры. 💡 Почему выбираем эрбиевый лазер LiteTouch 🔹 Снимает виниры без перегрева и вибрации. 🔹 Не повреждает эмаль и десну. 🔹 Позволяет врачу действовать точно, не задевая здоровые ткани. 🔹 Ускоряет процесс — один винир можно снять за несколько минут. ⚡ Как проходила процедура: 1️

Снятие виниров больше не повод для волнения.

В центре инновационной стоматологии Regale мы используем современные технологии, чтобы сохранить максимум комфорта и здоровья ваших зубов.

С помощью эрбиевого лазера LiteTouch виниры снимаются бережно — без повреждения эмали, без боли и без страха.

Старые виниры до процедуры
Старые виниры до процедуры

🦷 Реальный кейс: снятие 6 виниров за 45 минут

Пациент обратился к нам, чтобы заменить старые виниры на верхней челюсти.

Вся процедура заняла всего 45 минут — включая анестезию, полировку и установку временных виниров.

Следы цеемента после снятия.
Следы цеемента после снятия.

После снятия на зубах остались следы цемента — это естественно.

После полировки.
После полировки.

Мы аккуратно отполировали эмаль, чтобы вернуть ей гладкость.

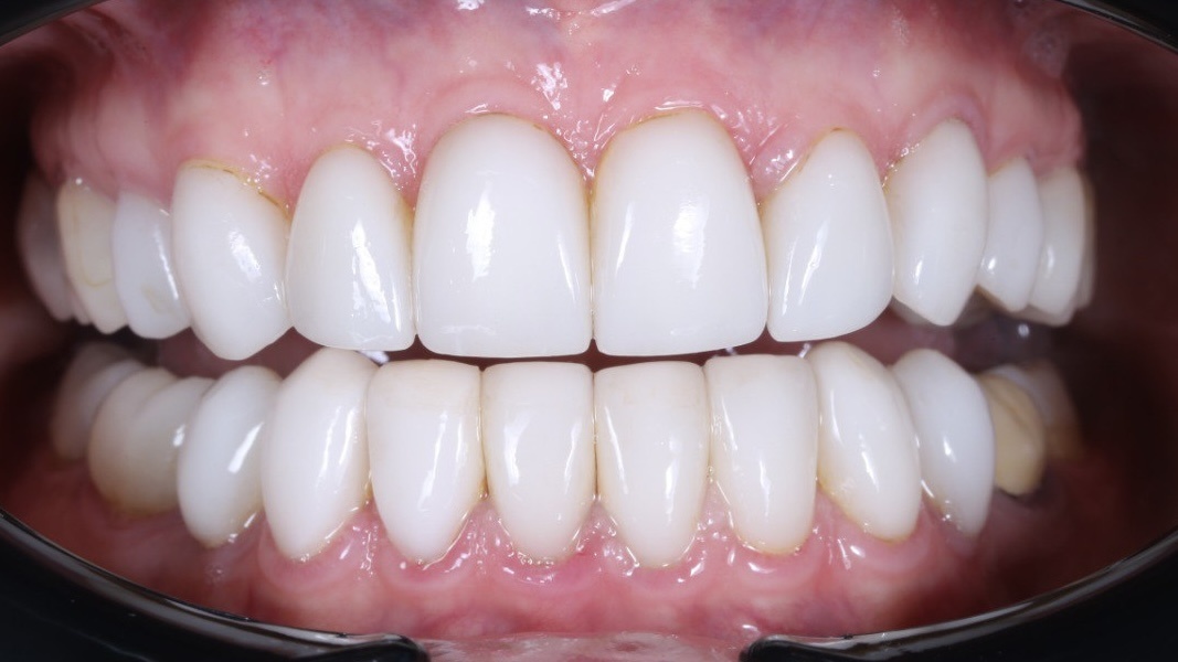
Установка временных виниров.
Установка временных виниров.

И подготовить зубы к новым временным винирам. Установили временные виниры.

-6

💡 Почему выбираем эрбиевый лазер LiteTouch

🔹 Снимает виниры без перегрева и вибрации.

🔹 Не повреждает эмаль и десну.

🔹 Позволяет врачу действовать точно, не задевая здоровые ткани.

🔹 Ускоряет процесс — один винир можно снять за несколько минут.

Как проходила процедура:

1️⃣ 💧 Электронная капельная анестезия — без уколов, без боли, без травм тканей.

2️⃣ ✨ Снятие 6 виниров с помощью лазера LiteTouch.

3️⃣ 🦷 Полировка эмали и удаление остатков цемента.

4️⃣ 😁 Установка временных виниров — пациент сразу ушёл с улыбкой.

🌟 Результат:

Пациент провёл в кресле меньше часа. Без боли. Без стресса.

А его зубы остались здоровыми и гладкими.

Современные технологии делают стоматологию комфортной и точной.

LiteTouch — доказательство того, что даже сложные процедуры можно проводить быстро, безопасно и с заботой. 💙

После снятия виниров и полировки эмали

Уже с временными винирами — всего через 45 минут)

С заботой о каждом нашем пациенте с Regale❤️

📲Запись на прием в Regale:

+7 (495) 900-10-39

📍Regale Тульская

WhatsApp: +7 968 331 77 07

ул. Люсиновская, д. 72