Добро и зло ☯️ Перитонеальный смыв Пласт доброкачественных мезотелиальных клеток рядом с клетками метастазирующей высокодифференцированной серозной карциномы #цитология #перитонеальныйсмыв
Добро и зло ☯️ Перитонеальный смыв Пласт доброкачественных мезотелиальных клеток рядом с клетками метастазирующей высокодифференцированной серозной карциномы #цитология #перитонеальныйсмыв
...Читать далее
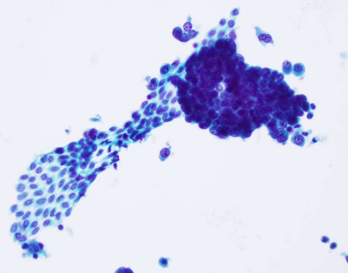
Добро и зло ☯️
Перитонеальный смыв
Пласт доброкачественных мезотелиальных клеток рядом с клетками метастазирующей высокодифференцированной серозной карциномы