Добавить в корзинуПозвонить
Найти в Дзене

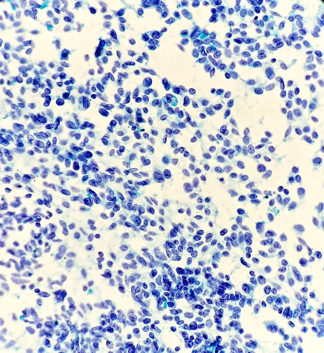
Медуллярный рак щитовидной железы

Медуллярный рак щитовидной железы Одиночные разобщенные веретеновидные клетки с зернистым («соль с перцем») хроматином. #щитовиднаяжелеза #цитология

Медуллярный рак щитовидной железы

Одиночные разобщенные веретеновидные клетки с зернистым («соль с перцем») хроматином.

#щитовиднаяжелеза #цитология