Добавить в корзинуПозвонить
Найти в Дзене

Клиновидный дефект: откуда он берётся и как его лечат стоматологи

Вы когда-нибудь замечали у себя или у знакомых на зубах небольшие углубления у десны? Сначала они почти незаметны, но со временем становятся шире и глубже. Многие думают: «Наверное, кариес», но это не совсем так. На самом деле часто речь идёт о клиновидном дефекте. Почему же он появляется? И правда ли, что лечить его так же важно, как и кариес? Давайте разбираться вместе. Клиновидный дефект — это не кариес и не скол. Это некариозное поражение зуба. Он выглядит как небольшая выемка в области шейки зуба (то есть у самой десны). Если посмотреть сбоку, она действительно напоминает клин, отсюда и название. В отличие от кариеса, эмаль здесь не разрушается бактериями, а буквально стирается и трескается из-за механических и химических нагрузок. Причин может быть несколько, и часто они сочетаются: А у вас есть привычка сильно давить на зубы щёткой или скрежетать ими во сне? На первых порах он может не беспокоить: ну, есть выемка, и что? Но со временем появляются: То есть без лечения дефект прог
Оглавление

Вы когда-нибудь замечали у себя или у знакомых на зубах небольшие углубления у десны? Сначала они почти незаметны, но со временем становятся шире и глубже. Многие думают: «Наверное, кариес», но это не совсем так. На самом деле часто речь идёт о клиновидном дефекте.

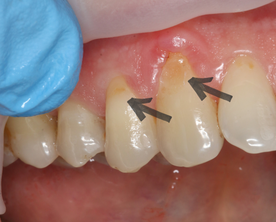
Пример клиновидных зубов
Пример клиновидных зубов

Почему же он появляется? И правда ли, что лечить его так же важно, как и кариес? Давайте разбираться вместе.

Что такое клиновидный дефект

Клиновидный дефект — это не кариес и не скол. Это некариозное поражение зуба. Он выглядит как небольшая выемка в области шейки зуба (то есть у самой десны). Если посмотреть сбоку, она действительно напоминает клин, отсюда и название.

В отличие от кариеса, эмаль здесь не разрушается бактериями, а буквально стирается и трескается из-за механических и химических нагрузок.

Почему он возникает?

Причин может быть несколько, и часто они сочетаются:

  • Сильная нагрузка на зубы — например, при бруксизме (скрежетании зубами во сне).
  • Неправильная чистка зубов — слишком жёсткая щётка, сильное давление, горизонтальные движения.
  • Кислотное воздействие — газированные напитки, цитрусовые, частые перекусы.
  • Аномалии прикуса — когда нагрузка распределяется неправильно.
  • Возрастные изменения — с годами эмаль истончается.

А у вас есть привычка сильно давить на зубы щёткой или скрежетать ими во сне?

-2

Чем опасен клиновидный дефект

На первых порах он может не беспокоить: ну, есть выемка, и что? Но со временем появляются:

  • чувствительность — зубы реагируют на холодное, горячее, сладкое;
  • повышенный риск сколов и трещин эмали;
  • опасность развития пульпита при глубоких дефектах;
  • эстетический дискомфорт — неровный край зуба у десны.

То есть без лечения дефект прогрессирует и становится серьёзной стоматологической проблемой.

Как лечат клиновидный дефект

Пример лечения клиновидного дефекта в Водниках
Пример лечения клиновидного дефекта в Водниках
  1. Начальная стадия
    Здесь стоматолог может провести реминерализирующую терапию: специальные составы укрепляют эмаль и снижают чувствительность.
  2. Выраженный дефект
    Применяют пломбирование специальными материалами. Пломба восстанавливает форму зуба, закрывает чувствительный участок и защищает от дальнейшего разрушения.
  3. Сложные случаи
    Если дефект глубокий, может понадобиться комплексный подход: лечение прикуса, защита от бруксизма, покрытие зубов винирами.

Можно ли предотвратить?

Да, и многое зависит от самого человека:

  • использовать щётку средней мягкости и чистить аккуратно;
  • не злоупотреблять кислой пищей и газировкой;
  • регулярно приходить к стоматологу для профилактических осмотров.

Как вы думаете, что чаще приводит к таким проблемам — питание или привычка чистить зубы слишком усердно?

Клиновидный дефект — это не «просто эстетика». Это сигнал о том, что зубы подвергаются избыточной нагрузке или воздействию. Чем раньше заметить проблему и обратиться к стоматологу, тем проще и быстрее будет лечение.

В стоматологическом центре Водники (г. Долгопрудный) мы подбираем терапию индивидуально: от укрепления эмали до восстановления формы зуба современными материалами.

Пусть ваша улыбка будет не только красивой, но и здоровой!

📍 Ждём вас в нашем центре — расскажем подробнее и подберём подходящий вариант лечения.