Добавить в корзинуПозвонить
Найти в Дзене
Беглова Алия

Перелом зуба: что делать и как сохранить улыбку

Перелом зуба — частая травма, которая может произойти в быту, на тренировке или во время активных игр. Чаще всего откалывается часть зуба, и линия перелома может проходить не только по поверхности, но и через пульпу или уходить под десну. 1. Сохраняйте осколки Очень важно найти все отколовшиеся фрагменты и поместить их во флакон с водой. Нельзя допускать, чтобы они пересохли! В некоторых случаях стоматолог сможет приклеить осколки обратно. 2. Запишитесь к стоматологу Это не экстренный случай, но затягивать с визитом не стоит. Лучше обратиться к врачу в течение дня или на следующий. 3. Возможные варианты лечения 4. Наблюдение после лечения Даже при удачной реставрации в 4–25% случаев может потребоваться лечение корневых каналов. Поэтому важно наблюдаться у стоматолога после восстановления. Многие переломы можно избежать, если использовать защиту: Главное правило — не оставляйте зуб открытым надолго и обращайтесь к стоматологу как можно скорее. Своевременное лечение поможет сохранить зд
Оглавление

Перелом зуба — частая травма, которая может произойти в быту, на тренировке или во время активных игр. Чаще всего откалывается часть зуба, и линия перелома может проходить не только по поверхности, но и через пульпу или уходить под десну.

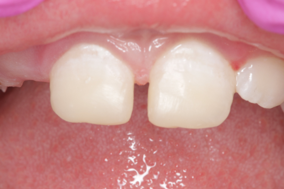
Пациент AB Clinic с переломом 2 постоянных резцов
Пациент AB Clinic с переломом 2 постоянных резцов

Как действовать при переломе зуба?

1. Сохраняйте осколки

Очень важно найти все отколовшиеся фрагменты и поместить их во флакон с водой. Нельзя допускать, чтобы они пересохли! В некоторых случаях стоматолог сможет приклеить осколки обратно.

2. Запишитесь к стоматологу

Это не экстренный случай, но затягивать с визитом не стоит. Лучше обратиться к врачу в течение дня или на следующий.

Результат: терапевт AB Clinic Мигранова Э.И. восстановила зубы аккуратной композитной реставрацией
Результат: терапевт AB Clinic Мигранова Э.И. восстановила зубы аккуратной композитной реставрацией

3. Возможные варианты лечения

  • При наличии осколков — их можно прикрепить к зубу.
  • Если фрагменты потеряны — проводится реставрация из композитного материала.
  • При переломе с обнажением пульпы не всегда требуется удаление нерва. Современные материалы, например МТА, позволяют сохранить пульпу живой.

4. Наблюдение после лечения

Даже при удачной реставрации в 4–25% случаев может потребоваться лечение корневых каналов. Поэтому важно наблюдаться у стоматолога после восстановления.

Как предотвратить травму зубов?

Многие переломы можно избежать, если использовать защиту:

  • спортивные капы при занятиях контактными видами спорта,
  • шлемы при катании на роликах, скейте или самокате,
  • средства защиты при активных играх.

Главное правило — не оставляйте зуб открытым надолго и обращайтесь к стоматологу как можно скорее. Своевременное лечение поможет сохранить здоровье зуба и красивую улыбку.