Найти в Дзене
Parodoctor

Как сын маме новые зубы подарил. Операции в 2 этапа за 6 месяцев - 7 классических имплантатов и 2 птеригоидных

Сообщение куратору Ольге: - "Мы всё решили. Записывайте маму на операцию." Всего неделя ушла на раздумья после получения плана лечения - это быстро, когда речь идёт о тотальной имплантации. Зачастую, люди думают месяцами, консультируются с десятком врачей, мечутся между "а вдруг" и "а может быть". Но когда человек сам разбирается в стоматологии, когда он изучил весь блог Parodoctor и понимает этапы операции - решение принимается по-другому. Осознанно и быстро. Молодой человек попал к нам не случайно. Сначала он сам приезжал из другого города (за 600 с лишним км) лечить зубы к нашему терапевту. Оценил подход, качество работы, честность и эффективность. Изучал хирургические статьи на канале Parodoctor. Читал про птеригоидные имплантаты, про протоколы немедленной нагрузки, про осложнения и способы их избежания. И, когда понял, что нам можно доверять, сомнений не осталось: везу маму на лечение сюда. Когда пациент понимает, что и зачем делает врач, лечение превращается из страшной и безрас
Оглавление

Сообщение куратору Ольге: - "Мы всё решили. Записывайте маму на операцию."

Всего неделя ушла на раздумья после получения плана лечения - это быстро, когда речь идёт о тотальной имплантации. Зачастую, люди думают месяцами, консультируются с десятком врачей, мечутся между "а вдруг" и "а может быть".

Но когда человек сам разбирается в стоматологии, когда он изучил весь блог Parodoctor и понимает этапы операции - решение принимается по-другому. Осознанно и быстро.

Блог помог принять решение

Молодой человек попал к нам не случайно. Сначала он сам приезжал из другого города (за 600 с лишним км) лечить зубы к нашему терапевту. Оценил подход, качество работы, честность и эффективность.

Изучал хирургические статьи на канале Parodoctor. Читал про птеригоидные имплантаты, про протоколы немедленной нагрузки, про осложнения и способы их избежания.

И, когда понял, что нам можно доверять, сомнений не осталось: везу маму на лечение сюда.

Когда пациент понимает, что и зачем делает врач, лечение превращается из страшной и безрассудной неизвестности в осознанный процесс.

Почему зубы не удалось спасти

Верхняя челюсть представляла собой классический пример того, как "хорошее" лечение 20-летней давности превращается в катастрофу сегодня.

Металлокерамические коронки с нависающими краями. Под ними - гнойное отделяемое, хроническое воспаление, разрушенная кость альвеолярного отростка. Ткани постоянно воспалены, кровоточат при малейшем прикосновении.

Но это была только первая проблема. Вторая оказалась ещё серьёзнее - культевые вкладки разрушили корни зубов в пришеечных областях. Металлические штифты, установленные давно, работали как клинья, постепенно раскалывая то, что должны были укреплять.

Спасать на верхней челюсти было нечего. Только удаление и имплантация. Снизу родные фронтальные зубы остаются с пациенткой - было предложено выравнивание ортодонтическое, но в силу возраста очень просили обойтись без данной процедуры. Это чуть ухудшит протез (будет балкон, который любят бактерии), но в данном конкретном случае ситуация не патовая - такой вариант допустим.

Мы точно всё хорошенько продумали.

Два этапа хирургического вмешательства

Решили действовать планомерно. В апреле 2025 года - первый этап.

Установили 2 птеригоидных имплантата и 2 классических имплантата на нижнюю челюсть в области 4.5 и 4.6 зубов.

Что такое птеригоидные имплантаты, помните? Это специальные длинные имплантаты, которые фиксируются в крыловидном отростке клиновидной кости черепа. Эта кость плотная и, практически, не подвержена атрофии даже при длительном отсутствии зубов. Птеригоидные имплантаты позволяют избежать синус-лифтинга - наращивания кости в гайморовой пазухе.

В синус-лифтинге ничего плохого нет, но всегда приходится думать о том, станет ли подсыпная кость своей. Так же этот этап может затянуть на несколько месяцев получение финишной работы.

Дали время на приживление, отдохнуть от нас. Шесть месяцев ожидания - и вот, сентябрь 2025 года, новая встреча в плановом порядке.

Тотальная операция на верхней челюсти "All-on-4"

Оценили приживление апрельских имплантатов - все четыре интегрировались отлично (фото чуть ниже приложу). Можно приступать к основной работе.

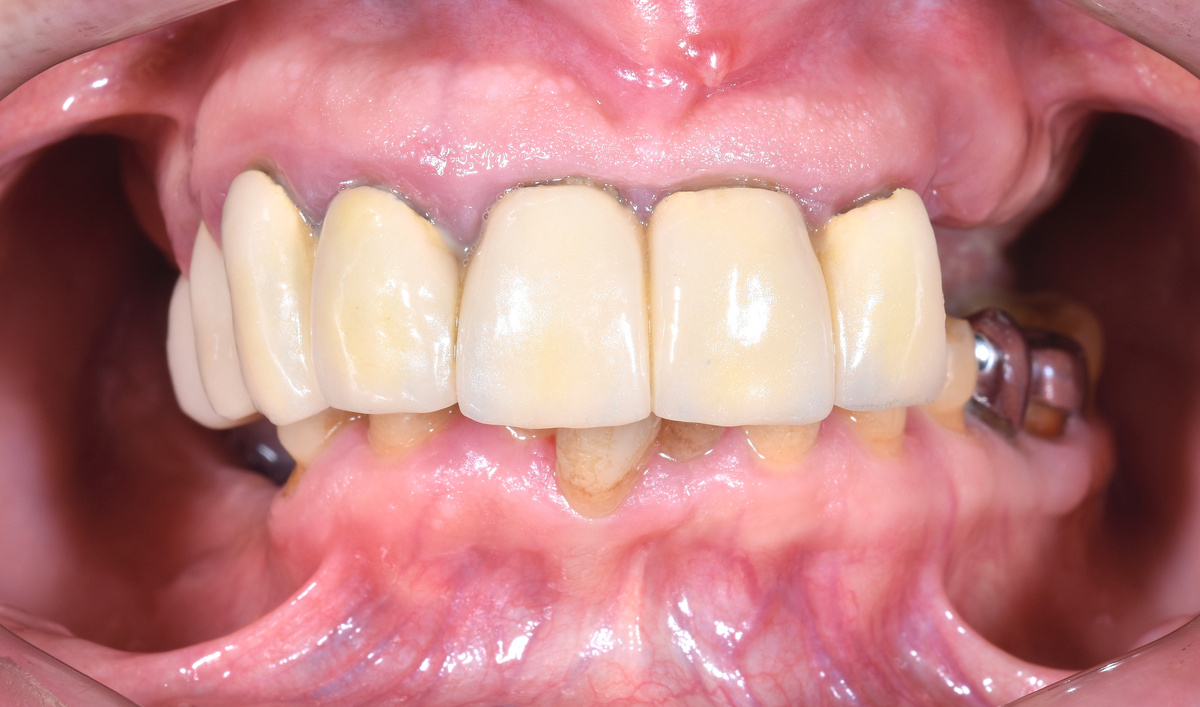
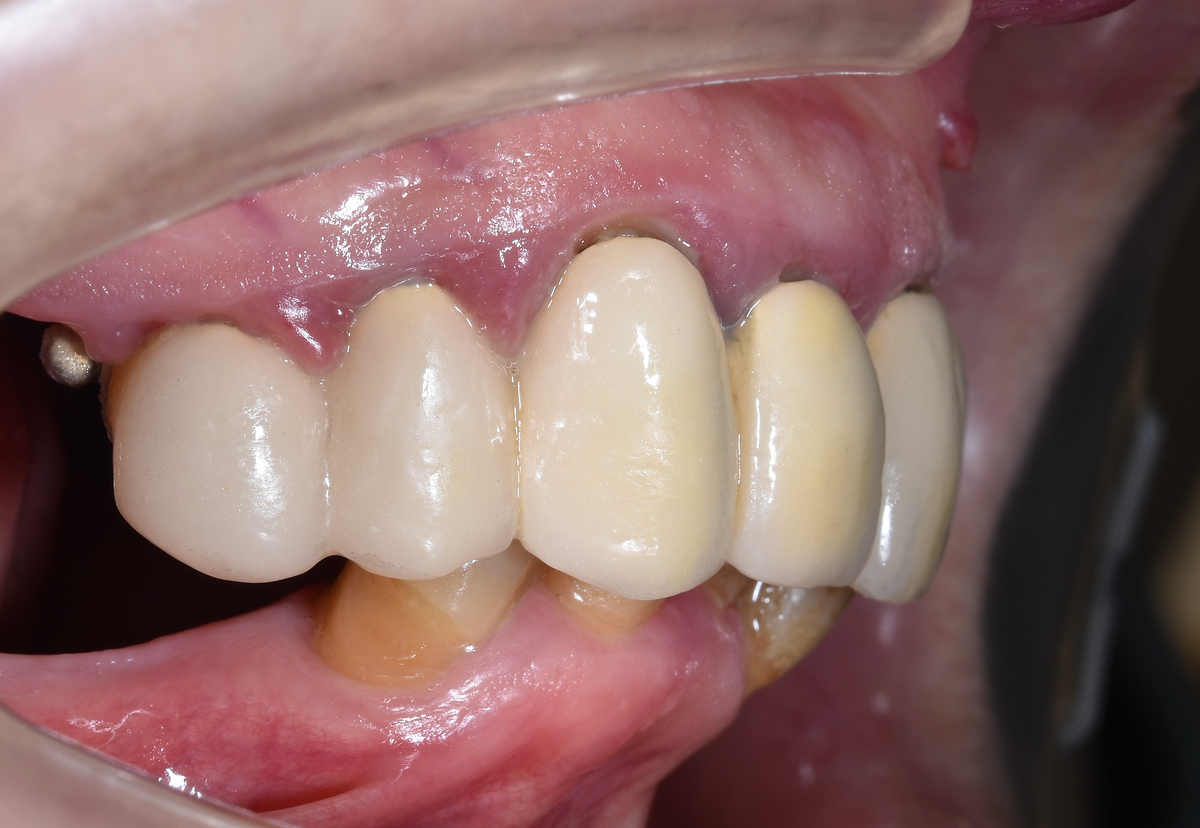
1. Программа максимум - удаление всех оставшихся зубов верхней челюсти с распилом МК-моста (та ещё работёнка, стёрли несколько специальных боров в 0), установка 4 имплантатов по системе "All-on-4", отличные торки на всех имплантатах, немедленная нагрузка предвременным протезом (хлипким, он нужен для формирования контура десны для природоподобия).

2. Второй этап в тот же день - удаление зуба 4.4 на нижней челюсти, одномоментная установка имплантата, раскрытие двух апрельских имплантатов и мягкотканная пластика.

4.4
4.4

Операцию разбили на два этапа в один день. Начало в 12:00, первый этап завершён к 14:00. Сразу установили предвременный протез FP1 - без розового пластика, только для формирования контура десны.

Передышка минут 20-30. И второй этап - работа на нижней челюсти.

Предвременный протез - зачем он нужен

Предвременный протез FP1 устанавливается сразу после операции. Его задача - даже не эстетика и уж точно не полноценное жевание, а формирование правильного контура десны. Ткани формируются под протезом, принимая нужную форму сразу.

Этот протез изготавливается ещё до операции. А благодаря новому интраоральному сканеру мы можем сразу же прикрутить его - быстро, потому что экономим время на этапе снятия слепков для настоящего временного протеза, который изготавливется после операции, который крепок достаточно, чтобы можно было жевать после приживления имплантатов. Таким образом, сейчас пациент не выходит из клиники без зубов - даже на один день.

Через несколько дней, когда изготовится полноценный временный протез, а десна сформируется, поменяем хлипкий на адекватный и отпустим человека домой. С нормальным постоянном пациентка будет жить несколько месяцев, пока имплантаты окончательно не интегрируются с костью.

Как пациентка перенесла операцию

Это был сложный день. Порядочное количество часов в кресле, масштабное вмешательство, психологическое напряжение.

Но пациентка оказалась настоящей умницей. Спокойная, собранная, доверяющая врачу. Давление у неё по жизни пониженное - и во время операции оставалось таким же. Мы контролировали показатели несколько раз - до операции, в процессе, после. Всё стабильно.

Роль семьи в лечении

Отдельно хочу сказать о роли сына в этой истории. Он не просто оплатил лечение - он сделал жизнь человека, подарившего ему жизнь, комфортной (но это чуть позже, пока что мы причиняем боль - но так надо).

Он изучил вопрос, понял все риски и возможности, принял осознанное решение. Записал маму на операцию, организовал поездку в другой город, был на связи.

Когда родственники вовлечены в процесс лечения, когда они понимают, что происходит - всем легче.

Кровь - раны свежие:

-7

А протез предвременный.

-8

Вывод

Программа максимум выполнена с апреля по сентябрь - установлено 6 имплантатов на верхней челюсти, 3 имплантата на нижней, мягкотканная пластика, предвременный протез в день операции. Всё, что планировали, случилось без эксцессов. Птеригоидные имплантаты прижились идеально, основная операция прошла без осложнений.

Интраоральный сканер сократил время послеоперационных ортопедических манипуляций в разы. То, что раньше занимало 1-2 часа мучительных слепков, теперь 15 минут комфортного сканирования. Теперь больше времени можем потратить на всё остальное важное - даже зубы сразу прикрутить могём)

Пациентка ушла от нас с "зубами". Без периода адаптации к беззубому состоянию, без возможной психологической травмы от отражения в зеркале.

Продолжение следует.

Больше наших тотальных работ на имплантатах в подборке:

Тотальные работы на имплантатах. | Parodoctor | Дзен

Ответы на вопросы, операционные видео, сдача протезов и прочее - в моём ТГ канале:

Parodoctor

Суважением, Лежачёва Наталия Александровна, хирург-пародонтолог и главный врач стоматологии Parodent, СПб.