Найти в Дзене

Один зуб, много проблем: что случается, если не удалить восьмёрку вовремя

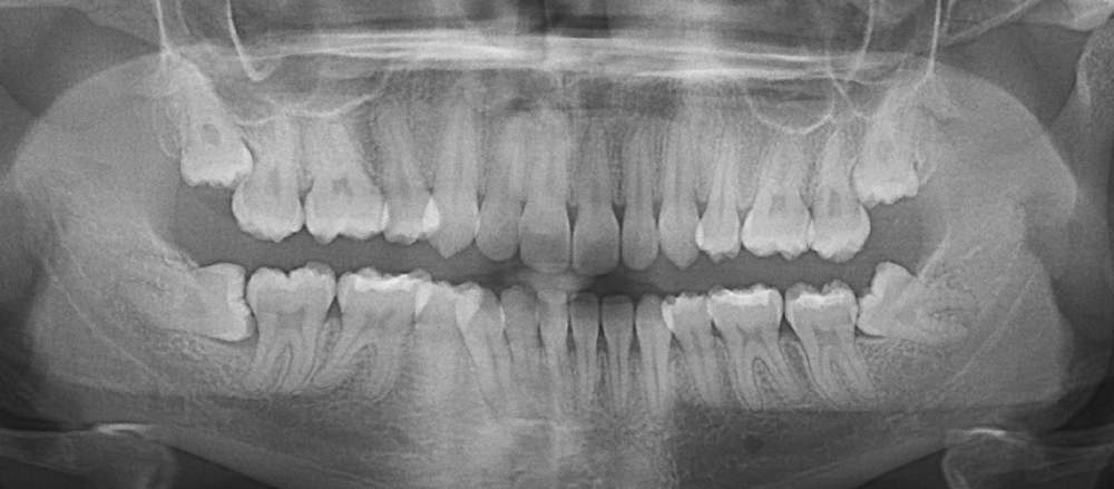
Зубы мудрости — они же восьмёрки, они же «подарок эволюции», о котором большинство мечтает поскорее избавиться.
Но всё ли так просто? Надо ли удалять их всем подряд? Или, наоборот, стоит бороться за каждый «родной» зуб до последнего? Разбираемся, когда зубы мудрости действительно стоит удалить, а также какие последствия ждут, если игнорировать проблему. Это третьи моляры, которые прорезаются последними — обычно в возрасте от 17 до 25 лет. Но часто бывает так, что: Если зуб не выходит полностью, он может «застрять» в кости и вызывать хроническое воспаление — ретенцию. Такие зубы не участвуют в жевании, но создают гнойные очаги под десной. Когда зуб прорезается частично, над ним образуется «капюшон» из десны. Под него попадает еда, бактерии, и начинается воспаление: боль, отёк, температура. Восьмёрки могут давить на седьмые зубы, разрушая корни и вызывая кариес в труднодоступных местах. Если планируется исправление прикуса, удаление восьмёрок часто необходимо, чтобы дать место для перем
Оглавление

Зубы мудрости — они же восьмёрки, они же «подарок эволюции», о котором большинство мечтает поскорее избавиться.

Но всё ли так просто? Надо ли удалять их всем подряд? Или, наоборот, стоит бороться за каждый «родной» зуб до последнего?

Разбираемся, когда зубы мудрости действительно стоит удалить, а также какие последствия ждут, если игнорировать проблему.

Что такое зубы мудрости?

Это третьи моляры, которые прорезаются последними — обычно в возрасте от 17 до 25 лет.

-2

Но часто бывает так, что:

  • для них нет места в челюсти,
  • они растут под углом,
  • не прорезаются полностью (или вообще остаются в кости),
  • и даже давят на соседние зубы, вызывая боль, воспаление и смещение прикуса.

Когда зуб мудрости нужно удалять?

Ретинированный (не прорезавшийся) зуб

-3

Если зуб не выходит полностью, он может «застрять» в кости и вызывать хроническое воспаление — ретенцию. Такие зубы не участвуют в жевании, но создают гнойные очаги под десной.

Перикоронит — воспаление капюшона

-4

Когда зуб прорезается частично, над ним образуется «капюшон» из десны. Под него попадает еда, бактерии, и начинается воспаление: боль, отёк, температура.

Нагрузка на соседние зубы

-5

Восьмёрки могут давить на седьмые зубы, разрушая корни и вызывая кариес в труднодоступных местах.

Подготовка к ортодонтии

Если планируется исправление прикуса, удаление восьмёрок часто необходимо, чтобы дать место для перемещений зубов.

Киста или резорбция

-6

Иногда рядом с непрорезавшимися зубами формируются кисты или киста-фолликулы, которые могут разрушать кость челюсти.

А если не удалять?

Невылеченный зуб мудрости может привести к:

  • сильной боли и отёку
  • гнойным воспалениям
  • разрушению соседнего зуба
  • нарушению прикуса
  • образованию кисты или свища
  • трудностям с открыванием рта

А ещё восьмёрки часто обостряются «внезапно» — перед отпуском, на выходных или в командировке. Удалить их вовремя — значит избежать экстренной операции под болью и отёком.

Где удалить зуб мудрости — без боли и стресса?

В клинике «Личный доктор» удаление восьмёрок проводит Арсентьева Юлия Александровна — стоматолог-хирург с большим опытом

-7

  • проводит удаление без боли, разрезов и стресса,
  • использует щадящие методики и малотравматичные инструменты,
  • контролирует каждый этап по КТ,
  • помогает восстановиться быстро и без осложнений.

📍 Если у вас болит восьмёрка, растёт в щёку или не даёт покоя — не откладывайте.

Запишитесь на консультацию к Юлии Александровне — она честно скажет,
удалять или пока нет, и подберёт оптимальное решение.

👉 lddental.ru/arsentieva-yulia-alexandrovna