Добавить в корзинуПозвонить
Найти в Дзене
ОМЦИП Екатеринбург

🦷 Интересный факт

🦷 Интересный факт: Самые распространенные болезни в мире связаны не с простудами или желудком, а с зубами! Точнее — с пародонтом. Гингивит, то есть воспаление десен, в той или иной форме встречается у подавляющего большинства людей на планете 🌍. Причина проста — зубной налет и бактерии. Если вовремя не проводить гигиену и профилактику, воспаление десен может перерасти в пародонтит, а это уже риск подвижности и потери зубов. Регулярная чистка у стоматолога и правильный домашний уход помогут избежать этих проблем и сохранить десны здоровыми 💪. 📱 OMCIP | Чисто по зубам

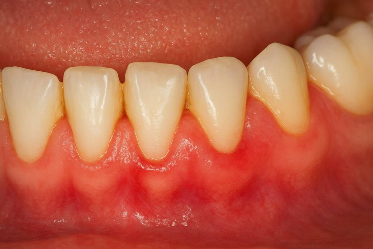
🦷 Интересный факт:

Самые распространенные болезни в мире связаны не с простудами или желудком, а с зубами! Точнее — с пародонтом. Гингивит, то есть воспаление десен, в той или иной форме встречается у подавляющего большинства людей на планете 🌍.

Причина проста — зубной налет и бактерии. Если вовремя не проводить гигиену и профилактику, воспаление десен может перерасти в пародонтит, а это уже риск подвижности и потери зубов.

Регулярная чистка у стоматолога и правильный домашний уход помогут избежать этих проблем и сохранить десны здоровыми 💪.

📱 OMCIP | Чисто по зубам