Добавить в корзинуПозвонить
Найти в Дзене

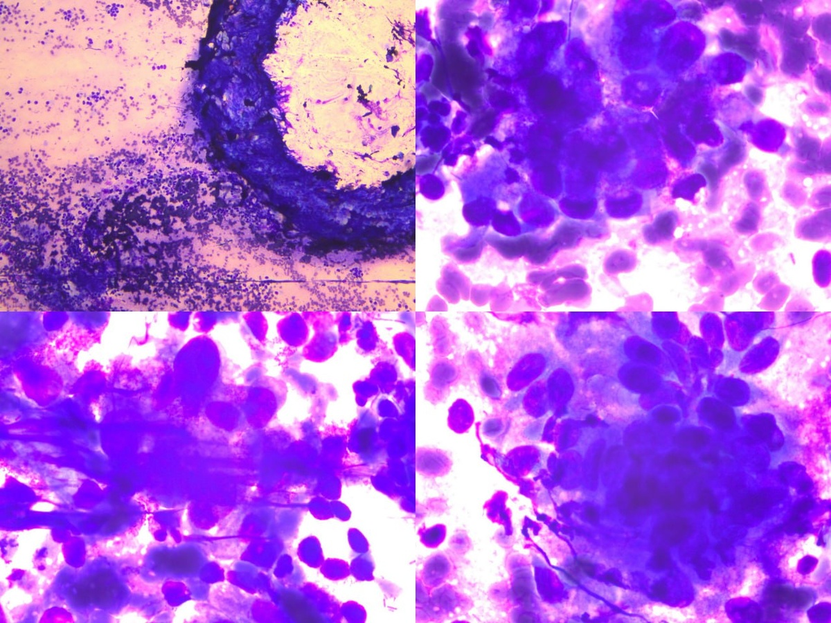
Метастаз высокодифференцированной эндометриальной стромальной саркомы матки в шейку матки

Метастаз высокодифференцированной эндометриальной стромальной саркомы матки в шейку матки Объективы 10x, 100x #матка #шейкаматки #цирвикальнаяцитология #цитология

Метастаз высокодифференцированной эндометриальной стромальной саркомы матки в шейку матки

Объективы 10x, 100x

#матка #шейкаматки #цирвикальнаяцитология #цитология