Добавить в корзинуПозвонить
Найти в Дзене

Опухоль не соблюдает договоренности. Реальная история пациента, который отказался от операции

Около трех лет назад во время УЗИ-исследования брюшной полости как случайная находка была выявлена опухоль, исходящая из заднего полюса левой почки. Размеры опухоли были более чем внушительные: 87х93х90мм, каких-либо жалоб при этом у пациента опухоль не вызывала. При комплексном обследовании признаков метастазирования выявлено не было. Учитывая свой возраст (79 лет на тот момент), пациент отказался от операции, а также от биопсии опухоли. Как пациент выразился в беседе со мной, «решил договориться с опухолью: я не трогаю её, а она не трогает меня»
По данным динамического контроля через год размеры опухоли были без существенной динамики.
Примерно через три года после выявления опухоли у пациента появились жалобы на выраженную слабость в ногах и снижение мобильности до такой степени, что вставать с кровати он практически перестал. Далее пациент был госпитализирован к нам в клинику. По данным компьютерной томографии органов грудной клетки с контрастированием размеры опухоли увеличились до

Около трех лет назад во время УЗИ-исследования брюшной полости как случайная находка была выявлена опухоль, исходящая из заднего полюса левой почки. Размеры опухоли были более чем внушительные: 87х93х90мм, каких-либо жалоб при этом у пациента опухоль не вызывала.

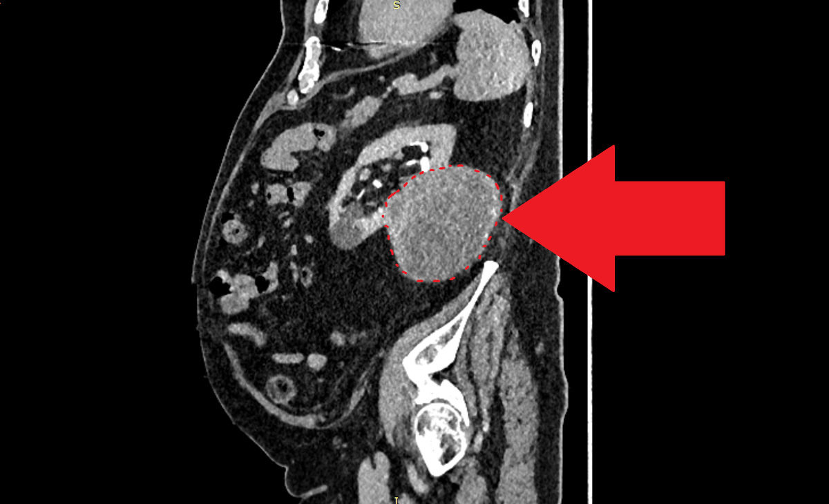
КТ с контрастированием. Стрелка указывает на опухоль, исходящую из заднего полюса левой почки. Новообразование таких размеров не вызывает боли у пациента.
КТ с контрастированием. Стрелка указывает на опухоль, исходящую из заднего полюса левой почки. Новообразование таких размеров не вызывает боли у пациента.

При комплексном обследовании признаков метастазирования выявлено не было.

Учитывая свой возраст (79 лет на тот момент), пациент отказался от операции, а также от биопсии опухоли.

Как пациент выразился в беседе со мной, «решил договориться с опухолью: я не трогаю её, а она не трогает меня»
По данным динамического контроля через год размеры опухоли были без существенной динамики.
Примерно через три года после выявления опухоли у пациента появились жалобы на выраженную слабость в ногах и снижение мобильности до такой степени, что вставать с кровати он практически перестал.

Далее пациент был госпитализирован к нам в клинику. По данным компьютерной томографии органов грудной клетки с контрастированием размеры опухоли увеличились до 93х100х112 мм.

-2
Поперечное сечение опухоли. Компьютерная томография с контрастированием
Поперечное сечение опухоли. Компьютерная томография с контрастированием

По данным МРТ грудного и пояснично-крестцового отделов позвоночника: в телах грудных позвонков, ребрах отмечаются очаги измененного МР-сигнала, местами сливного характера, размерами максимально до 42 мм в теле Th11 позвонка. В телах поясничных позвонков, крестце и подвздошных костях отмечаются очаги измененного МР-сигнала, размерами максимально до 23 мм на в теле S1 позвонка. Заключение: МР-картина очагов измененного МР-сигнала в телах грудных, поясничных, крестцовых позвонков, костях таза, ребрах, вероятно вторичного характера.

Стрелки указывают на метастатические очаги в позвонках
Стрелки указывают на метастатические очаги в позвонках

Опухоль нарушила договор, теперь и пациент решил действовать – под УЗИ-навигацией мной была выполнена биопсия почки. По результатам биопсии будет определена тактика противоопухолевого лечения.

-5

Вывод один: договариваться с опухолью – плохая идея. Никому из нас не дано знать сколько нам ещё осталось жить на этом свете. Возраст сам по себе не является противопоказанием к противоопухолевому лечению. При удовлетворительном функциональном состоянии сердечно-сосудистой системы и легких, при отсутствии тяжелых проблем со стороны печени и почек, радикальные операции по удалению злокачественной опухоли проводятся пациентам в возрасте и за 90 лет.

Также Вам может быть интересно: