Добавить в корзинуПозвонить
Найти в Дзене

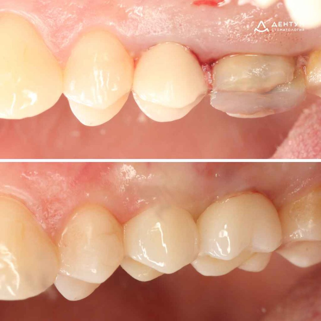
Удаление с одномоментной имплантацией на верхней челюсти

Пациент обратился с жалобами на дискомфорт и невозможность полноценного жевания в области верхней челюсти. При осмотре выявлено разрушение коронковой части жевательных зубов 1.4 и 1.5 с наличием массивной пломбы и признаками вторичного кариеса. Сохранение зубов было невозможно, и в связи с этим было принято решение о проведении удаления и последующем протезировании с опорой на импланты. Восстановлена целостность зубного ряда в области жевательных зубов верхней челюсти. Циркониевые коронки полностью соответствуют естественным зубам, обеспечивая эстетику и естественный вид улыбки Наш сайт: https://dentumclinic.ru/ Телефон: +7 (495) 125-19-20 Адрес: г. Москва, м. Полежаевская, пр-кт Маршала Жукова, д. 3
Оглавление

Исходная ситуация

Пациент обратился с жалобами на дискомфорт и невозможность полноценного жевания в области верхней челюсти. При осмотре выявлено разрушение коронковой части жевательных зубов 1.4 и 1.5 с наличием массивной пломбы и признаками вторичного кариеса. Сохранение зубов было невозможно, и в связи с этим было принято решение о проведении удаления и последующем протезировании с опорой на импланты.

Лечение

  1. Удаление разрушенных зубов. В первую очередь проведено аккуратное удаление разрушенных зубов, чтобы минимизировать травматизацию окружающих тканей и сохранить необходимый объем костной ткани для установки имплантов.
  2. Одномоментная имплантация. Сразу после удаления в сформированные лунки были установлены два дентальных импланта Osstem. Выбор одномоментного тактики позволил сократить сроки лечения и сохранить объем кости. Импланты установлены с учетом анатомии верхней челюсти, распределения жевательной нагрузки и последующего протезирования.
  3. Хирургический этап. При установке достигнута надежная первичная стабильность имплантов.. После фиксации имплантов мягкие ткани были аккуратно ушиты, что обеспечило правильное заживление и защиту зоны вмешательства.
  4. В период остеоинтеграции пациент находился под динамическим наблюдением, проходил контрольные осмотры, что позволило своевременно отслеживать процесс приживления и избежать осложнений.
  5. Ортопедический этап. После подтверждения успешной остеоинтеграции сняты оттиски для изготовления индивидуальных циркониевых коронок в лаборатории Dentum Lab. Коронки были выполнены с учетом цвета и формы естественных зубов пациента. Далее проведена фиксация коронок на имплантах.

Результат

Восстановлена целостность зубного ряда в области жевательных зубов верхней челюсти. Циркониевые коронки полностью соответствуют естественным зубам, обеспечивая эстетику и естественный вид улыбки

-2

Наш сайт: https://dentumclinic.ru/

Телефон: +7 (495) 125-19-20

Адрес: г. Москва, м. Полежаевская, пр-кт Маршала Жукова, д. 3

Может быть интересно:

Кейс Дентум: восстановление зубного ряда с помощью имплантации и установки циркониевых коронок
Стоматология Дентум1 ноября 2024