Найти в Дзене
Прайм-Стоматология

Как устранить скученность зубов без брекетов

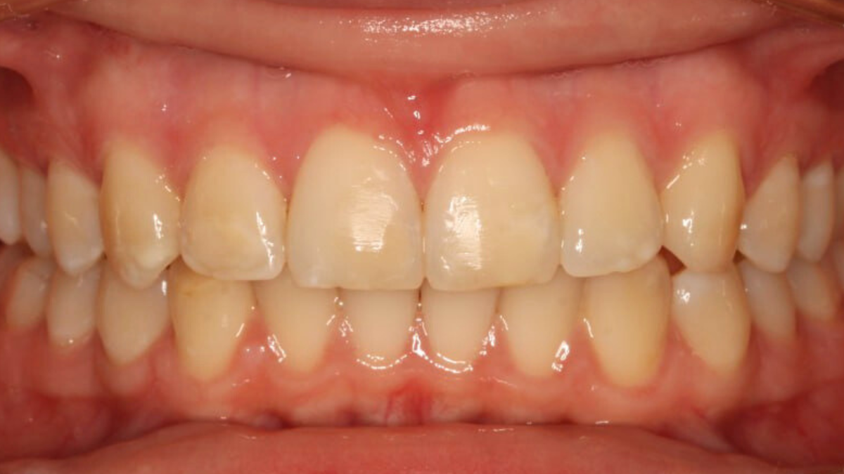
Скученность зубов — одна из самых распространённых причин обращения пациентов. Многие считают, что устранить её можно только с помощью брекетов, которые накладывают определенные ограничения в питании и вызывают эстетический дискомфорт. Однако современная стоматология предлагает более комфортные и эффективные решения, одним из которых являются элайнеры. 👉 Читайте в этих материалах, что такое элайнеры, и как они работают. На приём в ПРАЙМ к ведущему врачу-ортодонту Добычиной Наталье Александровне обратилась пациентка А. с жалобами на скученное положение зубов на верхней и нижней челюстях. После фотопротокола и полной диагностики было принято решение об ортодонтическом лечении с помощью элайнеров. Полученные сканы отправлены в лабораторию для моделирования индивидуального плана лечения, и после согласования с пациентом было начато изготовление кап. В следующее посещение нашей пациентке были установлены аттачменты на зубы согласно плану, и выдано на руки несколько наборов капп. Ортодонти

Скученность зубов — одна из самых распространённых причин обращения пациентов. Многие считают, что устранить её можно только с помощью брекетов, которые накладывают определенные ограничения в питании и вызывают эстетический дискомфорт. Однако современная стоматология предлагает более комфортные и эффективные решения, одним из которых являются элайнеры.

👉 Читайте в этих материалах, что такое элайнеры, и как они работают.

Элайнеры — абсолютно прозрачные капы для исправления прикуса.
Элайнеры — абсолютно прозрачные капы для исправления прикуса.

На приём в ПРАЙМ к ведущему врачу-ортодонту Добычиной Наталье Александровне обратилась пациентка А. с жалобами на скученное положение зубов на верхней и нижней челюстях. После фотопротокола и полной диагностики было принято решение об ортодонтическом лечении с помощью элайнеров. Полученные сканы отправлены в лабораторию для моделирования индивидуального плана лечения, и после согласования с пациентом было начато изготовление кап.

В следующее посещение нашей пациентке были установлены аттачменты на зубы согласно плану, и выдано на руки несколько наборов капп.

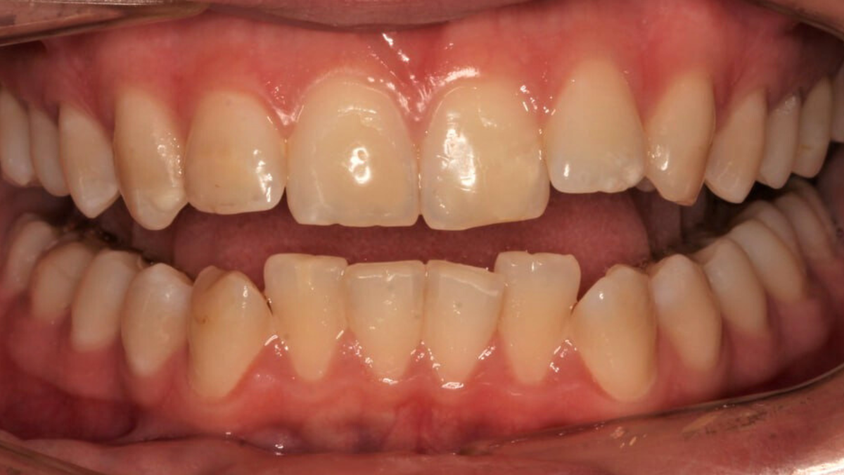
Ортодонтическое лечение проходило под чутким контролем Натальи Александровны, за всё время было использовано 20 наборов капп. После этого установлены ретейнеры с внутренней поверхности зубов на верхней и нижней челюсти, а также изготовлены ретенционные каппы для ночного ношения.

Весь процесс лечения занял 10 месяцев.

Да/после.
Да/после.

📍 Цель достигнута: скученное положение зубов удалось устранить, пациент доволен полученным результатом!

-4

Записаться в ПРАЙМ на консультацию по устранению скученности зубов и не только можно по телефону — (4912)292-000.

_________________________________

Наши клиники в г. Рязань:

Есенина, 110

Советской армии, 9

Бирюзова, 28а

Интернациональная, 23

Полетаева, 34 (клиника корпоративного университета)

https://www.prime-med.ru