Добавить в корзинуПозвонить
Найти в Дзене

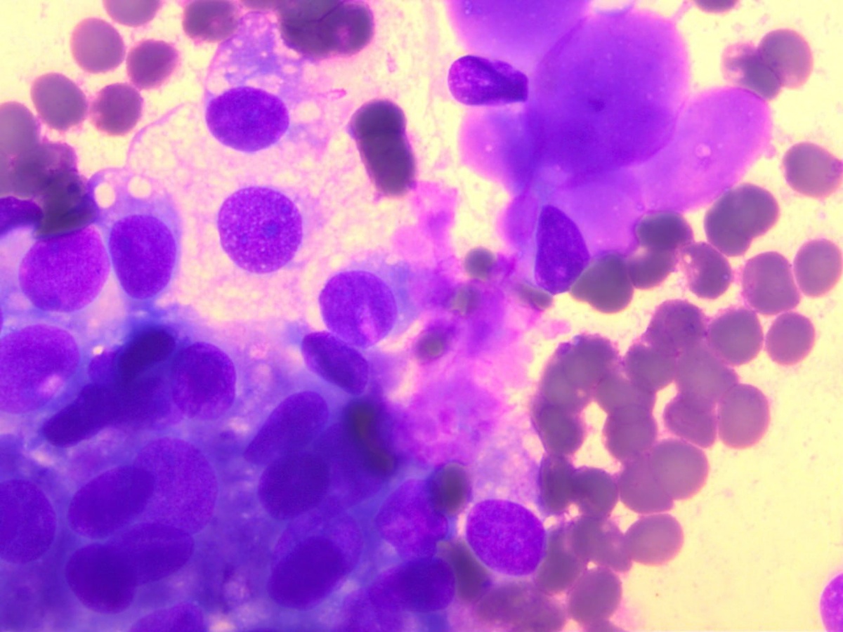
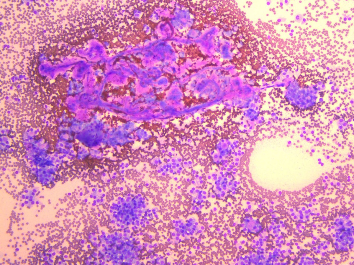
В препарате ТИАБ поджелудочной железы (5 стекол) многослойные папиллярные клеточные структуры на фиброваскулярной основе, группы из клеток

В препарате ТИАБ поджелудочной железы (5 стекол) многослойные папиллярные клеточные структуры на фиброваскулярной основе, группы из клеток поджелудочной железы с признаками структурной и архитектурной атипии, фрагментарно расположенный муцин, эритроциты. Цитологическая картина соответствует диагностической категории ЗЛОКАЧЕСТВЕННЫЙ ПРОЦЕСС (VII), учитывая цитологические паттерны, солидная псевдопапиллярная опухоль. (World Health Organization Reporting System for Pancreaticobiliary Cytopathology/WHORSPC, 2023) #цитология #поджелудочнаяжелеза #жкт

В препарате ТИАБ поджелудочной железы (5 стекол) многослойные папиллярные клеточные структуры на фиброваскулярной основе, группы из клеток поджелудочной железы с признаками структурной и архитектурной атипии, фрагментарно расположенный муцин, эритроциты.

Цитологическая картина соответствует диагностической категории ЗЛОКАЧЕСТВЕННЫЙ ПРОЦЕСС (VII), учитывая цитологические паттерны, солидная псевдопапиллярная опухоль.

(World Health Organization Reporting System for Pancreaticobiliary Cytopathology/WHORSPC, 2023)

#цитология #поджелудочнаяжелеза #жкт

-2
-3
-4
-5
-6