Найти в Дзене

Как добиться идеальной улыбки, чтобы никто не догадался? Секреты естественных виниров в Екатеринбурге

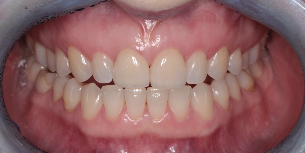
Ваши зубы ровные и белые, но при этом никто не может понять, в чем секрет. Ни искусственного блеска, ни неестественной белизны — только ваша улыбка, но в самой совершенной версии. Это не фантастика, а прогрессивный подход к эстетической стоматологии, который практикуют в клинике «Дант» Екатеринбурга. Современные виниры — это не «накладные зубы», а тончайшие (0,3-0,5 мм) пластины из керамики, которые: Кейс 1: «Щели между зубами» — диастема и тремы Проблема: Промежутки после ортодонтического лечения Решение: Люминиры без обточки боковых поверхностей Результат: Выверенная геометрия с сохранением природной формы зубов Кейс 2: «Сколы и неровности» — последствия травм Проблема: Разная длина зубов, волнистый режущий край Решение: Виниры с асимметричным дизайном, повторяющим природную неидеальность Результат: Ухоженная, но не «кукольная» улыбка Кейс 3: «Возрастные изменения» — стертая эмаль Проблема: Укороченные зубы из-за стираемости, желтоватый оттенок Решение: Виниры с анатомическим удлинен
Оглавление

Ваши зубы ровные и белые, но при этом никто не может понять, в чем секрет. Ни искусственного блеска, ни неестественной белизны — только ваша улыбка, но в самой совершенной версии. Это не фантастика, а прогрессивный подход к эстетической стоматологии, который практикуют в клинике «Дант» Екатеринбурга.

Секреты естественных виниров в Екатеринбурге
Секреты естественных виниров в Екатеринбурге

Современные виниры — это не «накладные зубы», а тончайшие (0,3-0,5 мм) пластины из керамики, которые:

  • Повторяют природную прозрачность эмали у режущего края;
  • Создают эффект хамелеона — адаптируются к цвету соседних зубов;
  • Сохраняют микрорельеф — не такие гладкие, как стекло;
  • Имитируют мамелоны — естественные волны на режущей поверхности.

Как мы изменили улыбки пациентов в «Дант»

Как добиться идеальной улыбки, чтобы никто не догадался
Как добиться идеальной улыбки, чтобы никто не догадался

Кейс 1: «Щели между зубами» — диастема и тремы

Проблема: Промежутки после ортодонтического лечения

Решение: Люминиры без обточки боковых поверхностей

Результат: Выверенная геометрия с сохранением природной формы зубов

Кейс 2: «Сколы и неровности» — последствия травм

Проблема: Разная длина зубов, волнистый режущий край

Решение: Виниры с асимметричным дизайном, повторяющим природную неидеальность

Результат: Ухоженная, но не «кукольная» улыбка

Кейс 3: «Возрастные изменения» — стертая эмаль

Проблема: Укороченные зубы из-за стираемости, желтоватый оттенок

Решение: Виниры с анатомическим удлинением и градиентным окрашиванием

Результат: Молодая улыбка без потери возрастной естественности

Кейс 4: «Несоответствие оттенков» — разные по цвету зубы

Проблема: Единичные темные зубы после лечения каналов

Решение: Виниры с индивидуальным подбором прозрачности

Результат: Гармония цвета без выделяющихся элементов

Как мы изменили улыбки пациентов в «Дант»
Как мы изменили улыбки пациентов в «Дант»

Технологии «незаметности» в «Дант»:

  • 3D-моделирование улыбки — вы увидите результат до начала работы;
  • Цифровой слепок — без неприятной массы во рту;
  • Микроскопная техника — прилегание с точностью до микронов;
  • Керамика премиум-класса — материалы от европейских производителей.

Цены на «незаметные» виниры в Екатеринбурге в стоматологической клинике «Дант» по адресу ул.Ухтомская 3 варьируются от 25 000 до 50 000 ₽ в зависимости от клинического случая пациента.

Если вы мечтаете об улыбке, которую будут замечать, но не смогут «разгадать», запишитесь на консультацию в «Дант» — мы создадим виниры, которые будут нашей с вами маленькой тайной.

Как добиться идеальной улыбки, чтобы никто не догадался? Секреты естественных виниров в Екатеринбурге