Добавить в корзинуПозвонить
Найти в Дзене
Доктор Левин

Кариес: начало

Если враг бессимптомно уже завоевал территорию😮 Начальный кариес — это ранняя стадия разрушения зубной ткани, которая в первую очередь затрагивает эмаль. В отличие от более серьезных стадий, при которых кариес проникает глубже в дентин и пульпу зуба, начальный кариес ограничивается поверхностными слоями и проявляется незаметно и безболезненно. Обычно его можно обнаружить на зубах при регулярных стоматологических осмотрах. Начальный или поверхностный кариес это первый этап поврежедения эмали зуба. Может быть спровоцирован нехваткой минеральных веществ, некачественной гигиеной полости, периизбытком пищи с высоким содержанием сахара. Поверхностный кариес так же называют «белым», при котором на эмали появляются меловидные пятна разных размеров и форм. Постепенно эти участки желтеют, потом темнеют, становятся шероховатыми Начальный кариес часто трудно заметить самостоятельно, без профессионального осмотра, так как симптомы часто отсутствуют. Что должно насторожить: 1️⃣Появление белых пятен
Оглавление

Если враг бессимптомно уже завоевал территорию😮

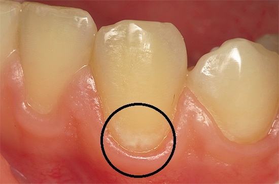
Что характерно для начального кариеса
Что характерно для начального кариеса

Начальный кариес — это ранняя стадия разрушения зубной ткани, которая в первую очередь затрагивает эмаль. В отличие от более серьезных стадий, при которых кариес проникает глубже в дентин и пульпу зуба, начальный кариес ограничивается поверхностными слоями и проявляется незаметно и безболезненно. Обычно его можно обнаружить на зубах при регулярных стоматологических осмотрах.

Что такое начальный кариес

Начальный или поверхностный кариес это первый этап поврежедения эмали зуба.

Может быть спровоцирован нехваткой минеральных веществ, некачественной гигиеной полости, периизбытком пищи с высоким содержанием сахара.

Кариес в стадии белого пятна
Кариес в стадии белого пятна
Поверхностный кариес так же называют «белым», при котором на эмали появляются меловидные пятна разных размеров и форм. Постепенно эти участки желтеют, потом темнеют, становятся шероховатыми

Признаки поверхностного кариеса

Начальный кариес часто трудно заметить самостоятельно, без профессионального осмотра, так как симптомы часто отсутствуют.

Что должно насторожить:

1️⃣Появление белых пятен.

Светлые пятна на эмали — первый видимый признак поверхностного кариеса. Это связано с потерей минералов в результате действия кислот, производимых бактериями.

2️⃣Чувствительность зубов.

При поверхностном разрушении эмали зубы могут стать более чувствительными к температурным изменениям (горячей или холодной пище), а также к сладкому.

Развитие начального кариеса, потемнение меловидных пятен, появление шероховатости
Развитие начального кариеса, потемнение меловидных пятен, появление шероховатости

3️⃣Матовость и шероховатость светлых и желтых пятен.

Появивишиеся белые пятна могут желететь или темнеть. Пропадает натуральный блеск зуба, в области пятен заметная матовость и шероховатость. При больших объемах поражения эмали изменения гладкости зубов ощущаются языком.

Что делать, чтобы распознать начальный кариес как можно раньше

✅Внимательно относиться к состоянию зубов.

Изменение равномерного цвета, блеска, чувствительность и болезненность должны стать обязательным поводом к походу в стоматологию.

Профосмотр поможет выявить поверхностный кариес
Профосмотр поможет выявить поверхностный кариес

✅Проходить периодические осмотры у стоматолога.

На приеме стоматолог тщательно осмотрит зубы и своевременно выявит начальную стадию кариеса, даже если нет жалоб. В некоторых случаях назначается рентген, он помогает увидеть скрытые области кариеса.

Стоматолог поставит правильный диагноз, так как начальный кариес схож с некариозными заболеваними зубов: гипоплазия эмали и флюороз.
Гипоплазия чаще врожденного характера, первые признаки в виде пятнистости можно заметить на первом прорезавшемся молочном зубе, к 4 годам недоразвитие эмали видно на передних зубах на стыке с десной и на жевательной поверхности боковых зубов.
Флюороз эмали связан с избытком фтора в организме и дает о себе знать на поздних стадиях появлением белых точек на зубах, которые впоследствии чернеют. Без лечения приводит к разрушению эмали.

Лечение и профилактика поверхностного кариеса

▶️Начальная форма кариозного поражения считается обратимой и поддается лечению без сверления. Назначается комплекс профгигиены для снятия отложений и реминерализация для насыщения кальцием и фтором.

▶️Профилактика заключается в регулярной и тщательной гигиене полости рта, сбалансированном питании и периодическом осмотре у стоматолога.

🔍Читайте также

1. Чистка всех зубов «во сне»

2. Что делать, если потемнел зуб у ребенка

3. Эндодонтическое лечение зубов под микроскопом

🏥 ЦПС «Доктор Левин»

Задать вопрос ✍️ WhatsApp

Позвонить 📞 +7 (495) 431-91-76

Мы рядом:

📌 Москва, ул. Льва Толстого, 5с1 (Парк Культуры)

📌 Москва, проспект Вернадского, 8А (Университет)