Найти в Дзене
Два Дантиста

Виниры — современное решение для тех, кто стремится к идеальной улыбке

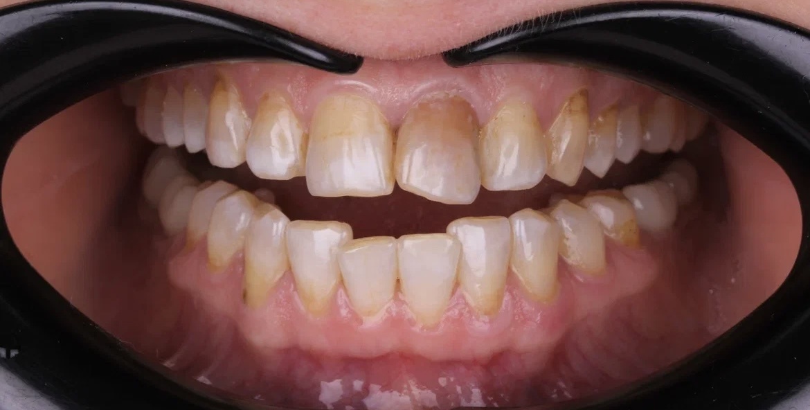
Современная эстетическая стоматология предлагает множество методов для улучшения внешнего вида зубов, и одним из самых эффективных решений являются керамические виниры.  В клинику «Два Дантиста» обратилась пациентка с жалобой на эстетику зубов: ее улыбка казалась тусклой, зубы имели неровности и неравномерный цвет. После консультации и диагностики наш стоматолог-ортопед предложил изготовление и установку керамических виниров — тонких накладок, которые надежно скрывают дефекты и при этом выглядят естественно. Керамические виниры отличаются тем, что максимально точно повторяют структуру и цвет натуральных зубов. Благодаря современным технологиям изготовления они обладают прозрачностью и блеском, свойственными настоящей эмали. Это позволяет создать эффект естественной улыбки, не вызывая ощущение искусственности. Пациенту были подобраны виниры с учетом оттенка и формы его зубов, цвета лица и пожеланий, что помогло подчеркнуть индивидуальность и сделать улыбку гармоничной. Процесс устано

Современная эстетическая стоматология предлагает множество методов для улучшения внешнего вида зубов, и одним из самых эффективных решений являются керамические виниры

В клинику «Два Дантиста» обратилась пациентка с жалобой на эстетику зубов: ее улыбка казалась тусклой, зубы имели неровности и неравномерный цвет.

-2

После консультации и диагностики наш стоматолог-ортопед предложил изготовление и установку керамических виниров — тонких накладок, которые надежно скрывают дефекты и при этом выглядят естественно.

-3

Керамические виниры отличаются тем, что максимально точно повторяют структуру и цвет натуральных зубов. Благодаря современным технологиям изготовления они обладают прозрачностью и блеском, свойственными настоящей эмали. Это позволяет создать эффект естественной улыбки, не вызывая ощущение искусственности.

-4

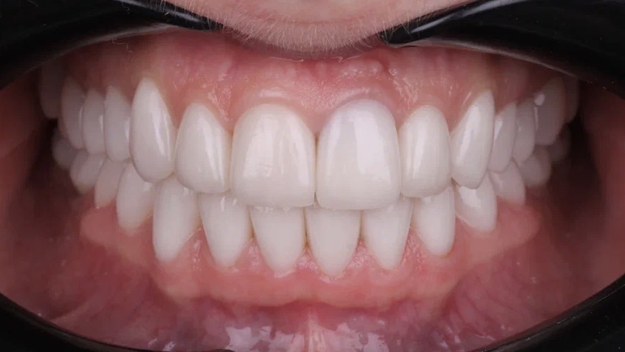
Пациенту были подобраны виниры с учетом оттенка и формы его зубов, цвета лица и пожеланий, что помогло подчеркнуть индивидуальность и сделать улыбку гармоничной.

-5

Процесс установки виниров включал несколько этапов:

  • Сначала стоматолог провел тщательную диагностику и фотопротокол, обсуждая с пациентом желаемый результат. 
  • Затем пациент прошел санацию полости рта: с помощью терапевтических манипуляций была сделана профессиональная гигиена и были удалены кариозные поражения.
  • После началась ортопедическая часть, а именно с препарирования минимального количества эмали, чтобы обеспечить идеальное прилегание виниров. 
  • Далее были сняты слепки, по которым в лаборатории были изготовлены индивидуальные накладки. На примерке пациентка проверила внешний вид, после чего виниры были плотно зафиксированы специальным композитным цементом. 
-6

Весь процесс занял несколько визитов, но результат того стоит: в итоге получилось не просто улучшить эстетику зубов, а заметно повысить уверенность в себе и улучшить качество жизни. 

-7

Керамические виниры — отличный выбор для тех, кто хочет красивую улыбку без боли и риска для здоровья зубов. Этот метод позволяет преобразить внешность, сохранив естественность и гармонию, что подтверждается успешным опытом многих пациентов.

Записаться в нашу стоматологию можно через сайт или по тел. 8 (812) 223-43-29