Добавить в корзинуПозвонить
Найти в Дзене
Parodoctor

Вейп и плохая гигиена? Как к 18 годам заиметь зубы, будто бы вымоченные в кислоте - деминерализация, кариес, налёт

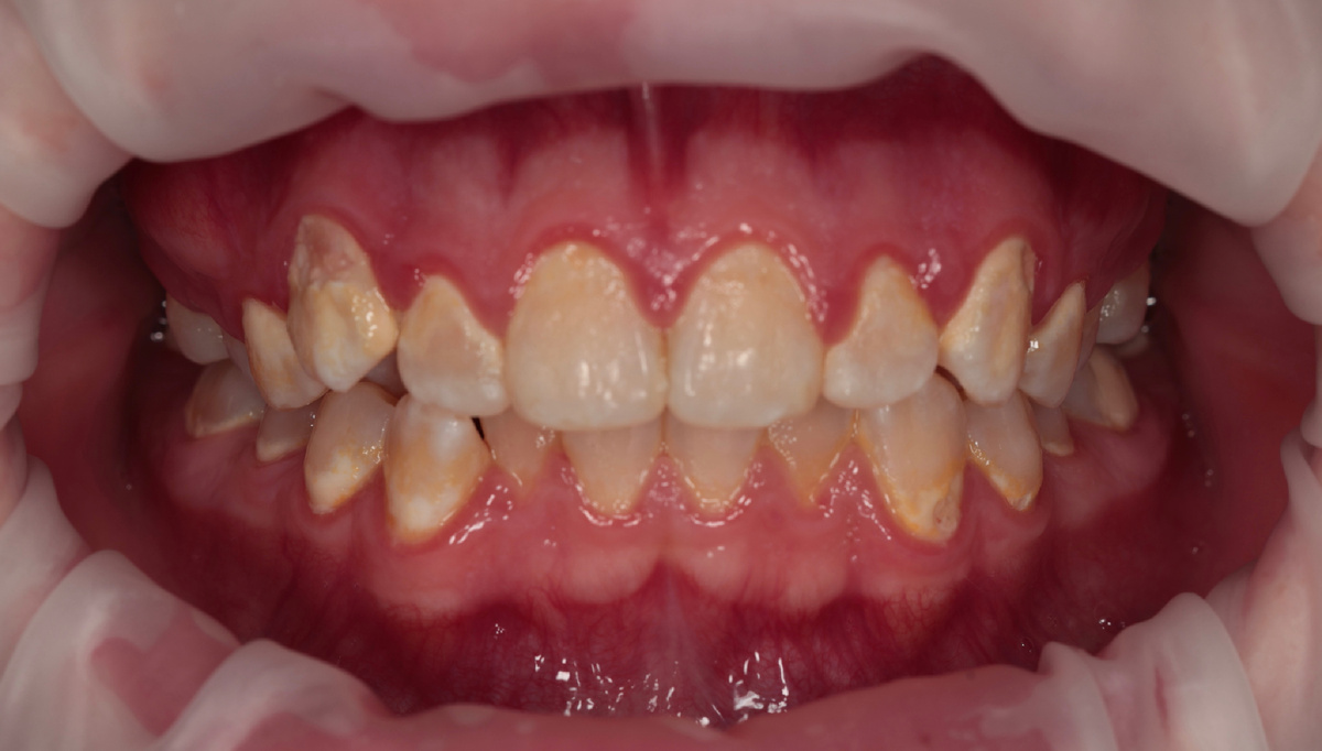
Помните статью про парня с вейпом, угробившего свои зубы к 21 году? Сегодня новая история про девушку 18 лет, чьи зубы выглядят, пока что, получше, но тенденция намечается плачевная... Если нчего не делать, то к 21 году получим тот же апокалипсис. Взрослый разумный брат привёл ко мне в клинику свою сестру восемнадцатилетнюю для лечения - к терапевту, у которой напопечении был сам и остался очень доволен. И первое, что девушка спрашивает, усаживаясь в кресло: - "А сколько будет длиться приём? Можно будет отойти покурить?" В руке у неё вейп. В зубах... Сами всё увидите. Первые минуты девочка была на панике. Боялась всего - инструментов, звуков, прикосновений. Но зубы болели, так что выбора не было. Тринадцатый зуб (верхний клык) реагировал болью на малейшие прикосновения. Еда застревала, десна воспалилась, эстетики никакой. В восемнадцать-то лет! Состояние, в котором находились зубы до вмешательства стоматолога: Профессиональная гигиена в один этап. Доктор Елизавета Дмитриевна выбрала пр
Оглавление

Помните статью про парня с вейпом, угробившего свои зубы к 21 году? Сегодня новая история про девушку 18 лет, чьи зубы выглядят, пока что, получше, но тенденция намечается плачевная... Если нчего не делать, то к 21 году получим тот же апокалипсис.

Взрослый разумный брат привёл ко мне в клинику свою сестру восемнадцатилетнюю для лечения - к терапевту, у которой напопечении был сам и остался очень доволен. И первое, что девушка спрашивает, усаживаясь в кресло: - "А сколько будет длиться приём? Можно будет отойти покурить?"

В руке у неё вейп. В зубах... Сами всё увидите.

Когда страх сильнее боли

Первые минуты девочка была на панике. Боялась всего - инструментов, звуков, прикосновений. Но зубы болели, так что выбора не было.

Тринадцатый зуб (верхний клык) реагировал болью на малейшие прикосновения. Еда застревала, десна воспалилась, эстетики никакой. В восемнадцать-то лет!

Состояние, в котором находились зубы до вмешательства стоматолога:

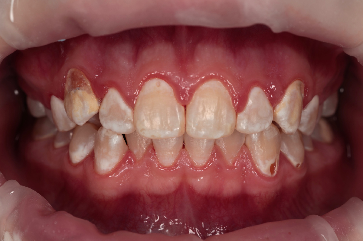
Первый визит - гигиена

Профессиональная гигиена в один этап. Доктор Елизавета Дмитриевна выбрала правильную тактику - не окрашивать налёт индикатором. Вот 100% краска бы въелась в повреждённую эмаль и наступила бы беда, которую не смыть.

Сняли налёт аппаратом АирФлоу (супер-мягкий порошок глицина), клык болючий не трогали, очень уж реагировал.

Air-flow и деминерализация, кариес - всё хорошо
Air-flow и деминерализация, кариес - всё хорошо

Даже такая эмаль, как можно заметить, не отвалилась. Да и не должна была.

Под слоем налёта скрывалась ткань, будто пережившая (но не без потерь) атаку кислотного дождя - матовая, шероховатая, с белёсыми пятнами деминерализации. А ведь зубы совсем молодые и свежие! Ну что ж такое... Как жаль.

Подбирали средства гигиены, объясняли технику чистки. Девочка кивала, но мыслями была не здесь - в сумке, где лежал вейп.

Но, что радует - почти все рекомендованные средства купила. Хороший знак - значит, понимает серьёзность ситуации.

Второй приём - лечение 1.3 зуба

Через неделю лечили тот самый тринадцатый зуб.

Кариес
Кариес

Кариес глубоко пробрался:

-4

От легчайших прикосновений бора ткани разлетались в щепки.

Убраны поражённые ткани
Убраны поражённые ткани

Девочка уже не так шугалась от инструментов. Привыкла? Или боль от зуба была сильнее страха?

После приёма десна болела сильно, но это нормальная реакция на вмешательство в данном случае. Пациентка звонила в клинику встревоженная: - "Доктор, это нормально?"

Объяснили, успокоили. Через пару дней всё прошло.

Третий визит - лечение 3.3 зуба

Лечили тридцать третий зуб, нижний клык слева. Девушка уже не дрожала так сильно, спокойно открывала рот, даже улыбнулась пару раз.

Лечение кариеса 3.3 зуба
Лечение кариеса 3.3 зуба

Тоже глубокое поражение:

-7

Ну и красивый финишный результат:

-8

Гигиена стала лучше - это видно невооружённым глазом. Налёта меньше, десны меньше кровят. Но зубную нить так и не начала использовать.

"Покажите ещё раз, как правильно" - попросила.

Доктор с радостью показала ещё раз, они вместе с пациенткой потренировались пользоваться нитью. Посмотрим на следующем визите, как дело пойдёт.

Через месяц

Контрольный осмотр. В области 1.3 зуба гигиена получше, пациентка старается. Но десна воспалена.

-9

Верим с доктором, что всё у пациентки получится.

И снова про вейпы

Из моей прошлой статьи про вейпы
Из моей прошлой статьи про вейпы

В восемнадцать лет эмаль ещё не так готова к издевательствам - она менее устойчивая к кислотным атакам. То, что у взрослого разовьётся за годы ужасного отношения, у подростка происходит за месяцы.

Что говорят исследования

  • Исследование в Journal of Periodontology - у пользователей вейпов в 3 раза чаще развивается гингивит по сравнению с некурящими.
  • Данные американских стоматологов - 78% подростков, регулярно использующих электронные сигареты, имеют признаки деминерализации эмали.
  • Подростки считают вейпинг безопасным.

Незнание не защищает от последствий. А последствия приходят быстро и обратной силы не имеют.

План дальнейшего лечения

Впереди ещё много работы:

  • лечение оставшихся кариозных зубов;
  • курс реминерализации;
  • многократное бучение правильной гигиене;
  • контрольные осмотры каждые 3 месяца;
  • Icon.

Эпидемия вейпинга

Уже много коллег написали мне о том, что сталкиваются с подобными случаями всё чаще и чаще. И что раньше такого не было.

Ну что, эпидемия. По-другому не назовёшь. Поколение, которое считает, что безвредный пар - безвреден. Которое не жуёт твёрдое, у которого любые сладости в доступе.

И которое может позволить себе не слушаться родителей.

Не все такие!

Но, чую, именно этим людям стоит торопить японцев с их несчастными мышами и выращиванием зубов.

Вывод

Со всеми обязательно случится подобная ужастьль? Да нет, совершенно нет. Большинству повезёт остаться с зубами и эмалью, особенно если парение пришло во взрослом возрасте, если с гигиеной порядок, если генетика хорошая. Но кто-то влипнет.

Я не поддерживаю НИКАКОЕ курение - всё это яд, вред и погибель. Но и лезть в чужие жизни и судьбы не собираюсь даже. За детьми должны смотреть их родители, а взрослые люди решения принимают сами. Моё дело малое, просто описывать разные клиические случаи.

Вот и всё.

Но помните, что профилактика всегда дешевле лечения. И проще объяснить опасность, чем потом исправлять последствия.

Да и вобще, кто курит, к тому придёт новая лабуба и заберёт зубы. Такие у нынешней молодёжи феи:

-11

История про парня и вейпы:

Ответы на вопросы, много смешного и печального - тут:

Parodoctor

С уважением, Лежачёва Наталия Александровна, хирург-пародонтолог и главный врач стоматологии Parodent, СПб.