Добавить в корзинуПозвонить
Найти в Дзене

Эти 7 ошибок могут похоронить результаты вашей имплантации

Здравствуйте, друзья! С вами Антон Николаевич Хмаренко, основатель и ведущий имплантолог клиники AXdent. За годы практики я видел и сам "создавал" тысячи историй успешной имплантации, которые дарили пациентам красивую улыбку, океан уверенности в себе, возможность наслаждаться любимой едой. Но, к сожалению, встречались и случаи, когда, казалось бы, простая процедура оборачивалась разочарованием, дополнительными тратами и даже проблемами со здоровьем. Почему так происходит? Чаще всего из-за ошибок, которые пациенты совершают еще до того, как попадают в кресло имплантолога. И сегодня я хочу предостеречь вас от этих промахов, чтобы ваша имплантация прошла гладко и принесла только положительные эмоции и долговечность улыбки. Имплантация – это серьезная хирургическая процедура, и экономия здесь неуместна. Соблазн пойти в первую попавшуюся клинику, где обещают "суперцену", может обернуться плачевными последствиями. • Риск в виде отсутствия лицензии, гарантий, неопытного врача, использования
Оглавление
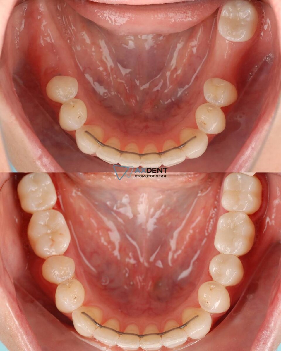
Результат имплантации в клинике AXdent
Результат имплантации в клинике AXdent

Здравствуйте, друзья! С вами Антон Николаевич Хмаренко, основатель и ведущий имплантолог клиники AXdent. За годы практики я видел и сам "создавал" тысячи историй успешной имплантации, которые дарили пациентам красивую улыбку, океан уверенности в себе, возможность наслаждаться любимой едой. Но, к сожалению, встречались и случаи, когда, казалось бы, простая процедура оборачивалась разочарованием, дополнительными тратами и даже проблемами со здоровьем.

Почему так происходит? Чаще всего из-за ошибок, которые пациенты совершают еще до того, как попадают в кресло имплантолога. И сегодня я хочу предостеречь вас от этих промахов, чтобы ваша имплантация прошла гладко и принесла только положительные эмоции и долговечность улыбки.

Ошибка №1: "Где дешевле, там и лучше" (Выбор клиники наугад)

Имплантация – это серьезная хирургическая процедура, и экономия здесь неуместна. Соблазн пойти в первую попавшуюся клинику, где обещают "суперцену", может обернуться плачевными последствиями.

• Риск в виде отсутствия лицензии, гарантий, неопытного врача, использования некачественных материалов. Представьте ситуацию: вам установили имплант, но через год с ним возникли проблемы. А клиника уже закрылась или не предоставляет гарантийное обслуживание.

• "Безымянные" импланты: Клиники, предлагающие подозрительно низкие цены, часто используют импланты малоизвестных брендов, которые не успели зарекомендовать себя. Такие импланты могут оказаться недолговечными, а в случае поломки вы столкнетесь с проблемой отсутствия запчастей и технической поддержки. Эти компании в любой момент могут исчезнуть с рынка, что сделает невозможным техническое обслуживание вашего импланта.

Тщательно выбирайте клинику. Изучите отзывы, посмотрите лицензии, узнайте об опыте врачей и используемых материалах. Не стесняйтесь задавать вопросы и требовать гарантии. Помните, что качественная имплантация – это инвестиция в ваше здоровье и долгосрочное благополучие.

Клиника AXdent
Клиника AXdent

Ошибка №2: "3D-снимок? Да зачем он нужен!" (Отказ от компьютерной томографии)

Некоторые пациенты считают КТ (компьютерную томографию) излишней тратой денег и рады, когда врач не настаивает и согласен ограничиться рентгеном. Но это серьезное заблуждение.

3D-снимок – это "навигатор" для имплантолога. Он позволяет нам спланировать операцию с максимальной точностью, что гарантирует безопасность процедуры и долгосрочную службу импланта.

Благодаря КТ мы видим точное расположение нервов, корней соседних зубов, оцениваем объем и плотность костной ткани. Такая визуализация помогает провести имплантацию бережно и точно, сохранить целостность анатомических структур.

-3

Ошибка №3: "Удалю зуб у кого попало, а потом пойду на имплантацию" (Удаление зуба без консультации с имплантологом)

Удаление зуба – это тоже хирургическая процедура, которая может повлиять на успех будущей имплантации. Хирург, который удаляет зуб, должен сделать это максимально атравматично, чтобы сохранить костную ткань и мягкие ткани в области удаленного зуба. Агрессивное удаление зуба может привести к разрушению кости, что потребует дополнительной костной пластики перед имплантацией.

Своим пациентам удаление я провожу всегда сам. Изучаю по снимку особенности корней зуба, применяю микрохирургические инструменты для атравматичного извлечения, все тонкие манипуляции провожу под дентальным микроскопом. Такое удаление позволяет беспрепятственно и безопасно провести одномоментную имплантацию, а в случае двухэтапной имплантации дает возможность кости восстановиться в нормальные сроки с максимальным сохранением объема и рельефа. В результате пациент избавлен от долгой реабилитации, вынужденных сверхзатрат на восстановление кости и затянутого ожидания установки импланта.

Процесс лечения под дентальным микроскопом
Процесс лечения под дентальным микроскопом

Ошибка №4: "У меня всё прекрасно!" (Сокрытие информации о здоровье)

Многие пациенты стесняются или забывают рассказать имплантологу о своих заболеваниях и принимаемых лекарствах.

Некоторые заболевания (например, диабет, остеопороз) и препараты (например, антикоагулянты) могут повлиять на процесс приживления импланта. Честность – залог успеха. Не стоит утаивать от врача никакую информацию о своём здоровье. Это поможет ему оценить риски и принять правильное решение о возможности проведения имплантации.

Ошибка №5: "Наемся на всякий случай!" (Неправильная подготовка к операции)

Некоторые пациенты считают, что перед имплантацией нужно плотно поесть, чтобы не упасть в обморок. Другие, наоборот, приходят на голодный желудок, боясь тошноты.

Стоит держаться золотой середины. Приходите на имплантацию сытым, но не переевшим. Ваш стандартный обед за пару часов до процедуры – это оптимальный вариант.

Ошибка №6: "Сто грамм для храбрости" (Алкоголь перед имплантацией)

Алкоголь может нарушить действие анестезии и ухудшить приживление импланта. В идеале вообще не употреблять спиртные напитки за несколько дней до и после имплантации.

Ошибка №7: "Там такое пишут!" (Чтение "страшилок" в интернете)

Интернет полон негативных историй об имплантации, которые могут напугать любого.. Фильтруйте информацию, не верьте всему, что написано. Ориентируйтесь на проверенные источники и консультации с опытными специалистами. Околостоматологический фольклор никогда не даст вам объективной картины. Обращайте внимание на то, сколько людей стали счастливыми обладателями сияющей красивой улыбки благодаря имплантации.

Гармоничная функционалная улыбка в результате имплантации
Гармоничная функционалная улыбка в результате имплантации
Имплантация – это современная и эффективная технология, которая может вернуть вам качество жизни. Но также это серьезный шаг, требующий ответственного подхода. Избегая этих распространенных ошибок, вы создадите все условия для успешной имплантации с долгосрочными результатами.