Добавить в корзинуПозвонить
Найти в Дзене

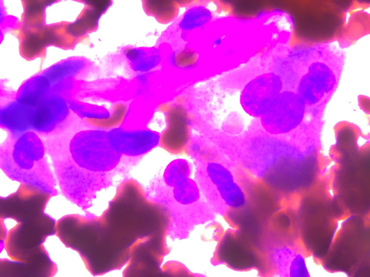
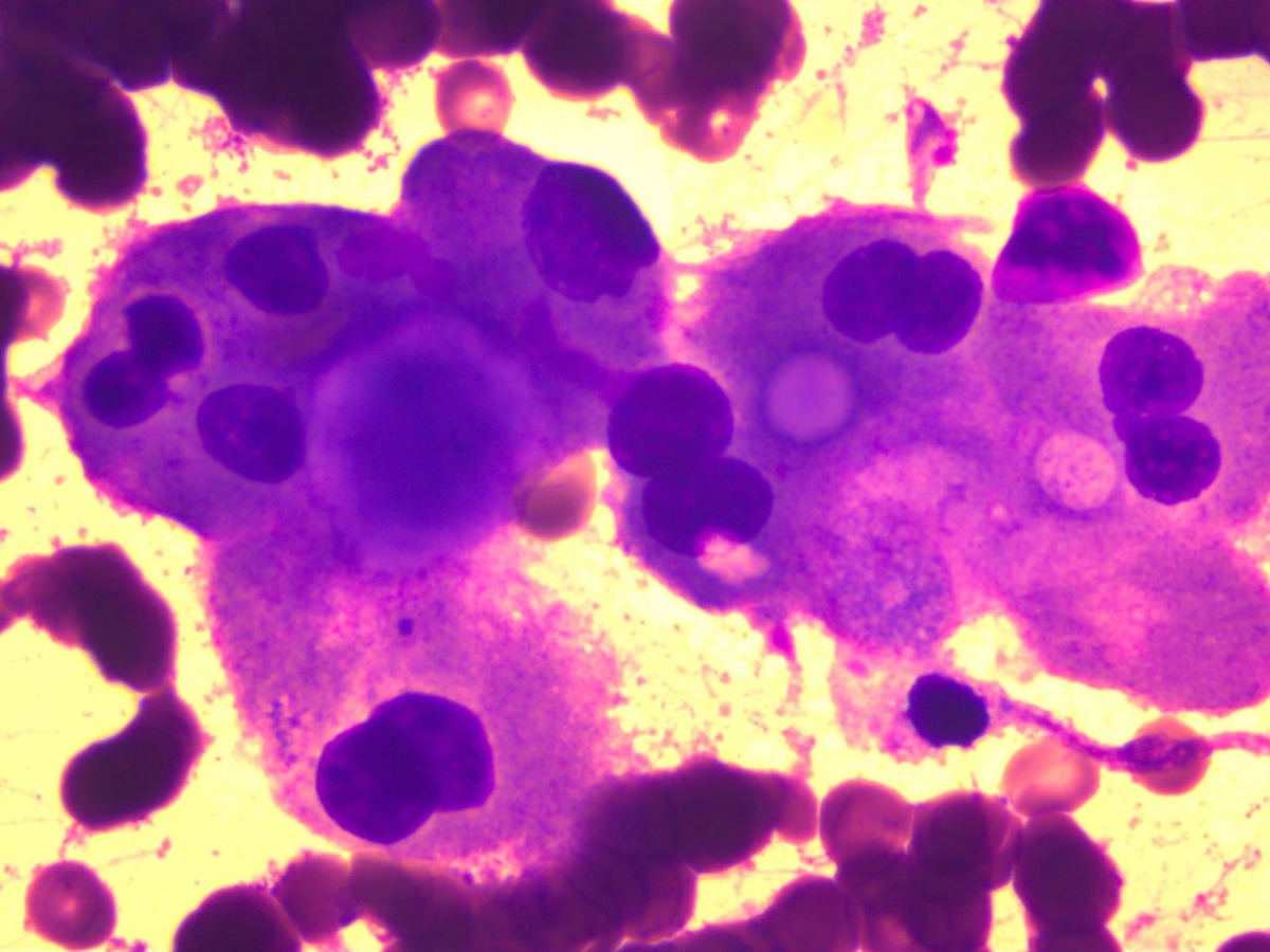
Онкоцитарная аденома (гюртлеклеточная аденома) щитовидной железы

Онкоцитарная аденома (гюртлеклеточная аденома) щитовидной железы Объектив 100x #щитовиднаяжелеза #цитология

Онкоцитарная аденома (гюртлеклеточная аденома) щитовидной железы

Объектив 100x

#щитовиднаяжелеза #цитология

-2
-3