Найти в Дзене

Виниры в цвет естественных зубов

Виниры на зубы ставят для того, чтобы улучшить цвет и/или форму передних зубов. Часто пациенты хотят улучшить внешний вид не только одного-двух зубов, но улыбки в целом, выбирая немного более светлый цвет виниров, чем свои зубы. Тогда стоматологи советуют взять под реставрацию не один-два зуба, а передние 6 зубов, наиболее заметных при улыбке. Когда реставрации подвергаются все зубы (тотальное протезирование), то можно значительно изменить цвет зубов, сделав их белоснежными (что часто осуждается в комментариях к нашим работам, однако пациентов, которые хотят белоснежные зубы, не убавляется). Стоматолог может сделать реставрации в любом цвете, любой формы - все зависит от пожеланий пациента и имеющейся ситуации. Пациент обратился в 2008 году с проблемой - щель между передними зубами и сколы на зубах. Были установлены виниры на два передних зуба, чтобы устранить сколы и закрыть щель между зубами. Виниры сделаны в цвет своих зубов. Первый раз один из виниров скололся из-за травмы на тре
Оглавление

Зачем нужны виниры

Виниры на зубы ставят для того, чтобы улучшить цвет и/или форму передних зубов.

Часто пациенты хотят улучшить внешний вид не только одного-двух зубов, но улыбки в целом, выбирая немного более светлый цвет виниров, чем свои зубы. Тогда стоматологи советуют взять под реставрацию не один-два зуба, а передние 6 зубов, наиболее заметных при улыбке.

Когда реставрации подвергаются все зубы (тотальное протезирование), то можно значительно изменить цвет зубов, сделав их белоснежными (что часто осуждается в комментариях к нашим работам, однако пациентов, которые хотят белоснежные зубы, не убавляется).

мастер красивой улыбки стоматолог-ортопед Цукор Сергей Владимирович
мастер красивой улыбки стоматолог-ортопед Цукор Сергей Владимирович

Стоматолог может сделать реставрации в любом цвете, любой формы - все зависит от пожеланий пациента и имеющейся ситуации.

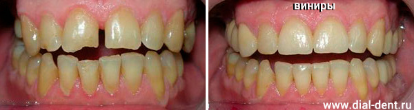
Пример установки виниров для закрытия щели между зубами

Пациент обратился в 2008 году с проблемой - щель между передними зубами и сколы на зубах. Были установлены виниры на два передних зуба, чтобы устранить сколы и закрыть щель между зубами. Виниры сделаны в цвет своих зубов.

виниры корректируют форму зубов и закрывают щель между зубами
виниры корректируют форму зубов и закрывают щель между зубами

Первый раз один из виниров скололся из-за травмы на тренировке по боксу через 12 лет после установки.

первый скол винира, видны края своих зубов - широкая щель между зубами
первый скол винира, видны края своих зубов - широкая щель между зубами

Его отремонтировали, приклеив сохранившийся целый кусок. В результате отреставрированный винир прослужил еще 4 года.

после ремонта винира, которому 12 лет
после ремонта винира, которому 12 лет

Второй скол произошел через 16 лет после установки, осколок не был найден, поэтому решили заменить виниры на новые.

Новые виниры также закрывают щель между зубами и восстанавливают форму зубов. Задачи сделать зубы светлее пациент не ставил, его устраивает имеющийся цвет.

Новые керамические виниры подобраны в цвет естественных зубов, так как когда реставрации подвергаются только два зуба, нужно добиваться их гармонии с окружающими зубами.

новые виниры абсолютно естественные, как свои зубы
новые виниры абсолютно естественные, как свои зубы
виниры смотрятся гармонично
виниры смотрятся гармонично

Эта работа показывает, что цвет виниров может быть естественным, если это нужно пациенту.

Как защитить дорогие виниры от сколов

Спортсменам, занимающимся боксом и другими контактными видами спорта, мы настоятельно советуем использовать индивидуальную защитную капу для зубов, которая предотвратит сколы эмали и травмы зубов. Стоимость трехслойной капы для зубов 14000 рублей, что значительно дешевле винира, который стоит от 55000 за один зуб! Берегите себя и свои финансы!

примеры индивидуальных защитный кап для зубов от Диал-Дент
примеры индивидуальных защитный кап для зубов от Диал-Дент

На консультацию к специалистам Семейного стоматологического центра "Диал-Дент" можно записаться по телефону +7 (495) 032-23-64. Мы поможем решить любые стоматологические проблемы!