Добавить в корзинуПозвонить
Найти в Дзене
МедСевен

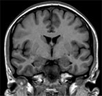
Пример МРТ областей гиппокампа

МРТ областей гиппокампа На серии FLAIR, Т1- и Т2- взвешенных томограмм головного мозга получены изображения суб- и супратенториальных структур. Выполнено исследование по специальной программе (Ax T2 параллельно сильвиевой борозде и Cor FLAIR перпендикулярно сильвиевой борозде) для оценки височных долей, областей гиппокампа. Срединные структуры не смещены. Желудочки обычной формы и размеров. Субарахноидальные пространства не расширены. Дифференциация серого и белого вещества сохранена. Очаговые изменения в веществе головного мозга не выявлены. Области гиппокампа симметричные с обеих сторон, без очаговых изменений. МР сигнал от подкорковых ядер не изменен. Селлярная область без патологических изменений. Размеры гипофиза в пределах нормы. Стволовые структуры и мозжечок в пределах нормы. Мостомозжечковые углы без особенностей. Краниовертебральный переход не изменен. Придаточные пазухи и ячейки сосцевидных отростков воздушны. Содержимое глазниц без особенностей. ЗАКЛЮЧЕНИЕ по снимку МРТ об

МРТ областей гиппокампа

На серии FLAIR, Т1- и Т2- взвешенных томограмм головного мозга получены изображения суб- и супратенториальных структур. Выполнено исследование по специальной программе (Ax T2 параллельно сильвиевой борозде и Cor FLAIR перпендикулярно сильвиевой борозде) для оценки височных долей, областей гиппокампа.

Срединные структуры не смещены.

Желудочки обычной формы и размеров. Субарахноидальные пространства не расширены.

Дифференциация серого и белого вещества сохранена. Очаговые изменения в веществе головного мозга не выявлены. Области гиппокампа симметричные с обеих сторон, без очаговых изменений.

МР сигнал от подкорковых ядер не изменен.

Селлярная область без патологических изменений. Размеры гипофиза в пределах нормы.

Стволовые структуры и мозжечок в пределах нормы. Мостомозжечковые углы без особенностей. Краниовертебральный переход не изменен.

Придаточные пазухи и ячейки сосцевидных отростков воздушны. Содержимое глазниц без особенностей.

ЗАКЛЮЧЕНИЕ по снимку МРТ областей гиппокампа: При исследовании без контрастного усиления МР-данных за очаговое поражение вещества головного мозга (в т.ч. областей гиппокампа) не получено.

МедСевен