Найти в Дзене
ТЕХНОСФЕРА

Не та пробка: как британский девайс для утех устроил ад в аппарате МРТ

Великобритания подарила миру Шекспира, Биг-Бен и королевскую семью. Теперь к этому списку смело можно добавить «историю, которая навсегда изменила отношение к предварительной проверке перед МРТ». Речь идёт о 22-летней смелой душе, которая отправилась на рутинное сканирование, забыв дома не телефон или ключи, а нечто куда более… личное и глубоко спрятанное. Анна /льную пробку. Казалось бы, что может пойти не так? Человек ложится в трубу, жужжит магнит, врачи получают картинку. Ан нет! Для нашей героини этот поход стал настоящим квестом на выживание с элементами научной фантастики и по рно триллера. Всё началось с того, что девушка, видимо, решила, что силикон — это вещество вне законов физики. «Я думала, она силиконовая... Кто же знал, что внутри металл?!» — процитировали позже пострадавшую. Дорогая, если бы трагедии Шекспира решались такими простыми оправданиями, Отелло бы просто сказал: «Я думал, Дездемона силиконовая!» и пошёл бы пить эль. Но вернёмся в кабинет МРТ. Аппарат вкл

Великобритания подарила миру Шекспира, Биг-Бен и королевскую семью. Теперь к этому списку смело можно добавить «историю, которая навсегда изменила отношение к предварительной проверке перед МРТ». Речь идёт о 22-летней смелой душе, которая отправилась на рутинное сканирование, забыв дома не телефон или ключи, а нечто куда более… личное и глубоко спрятанное. Анна /льную пробку.

Казалось бы, что может пойти не так? Человек ложится в трубу, жужжит магнит, врачи получают картинку. Ан нет! Для нашей героини этот поход стал настоящим квестом на выживание с элементами научной фантастики и по рно триллера.

Всё началось с того, что девушка, видимо, решила, что силикон — это вещество вне законов физики. «Я думала, она силиконовая... Кто же знал, что внутри металл?!» — процитировали позже пострадавшую. Дорогая, если бы трагедии Шекспира решались такими простыми оправданиями, Отелло бы просто сказал: «Я думал, Дездемона силиконовая!» и пошёл бы пить эль.

Но вернёмся в кабинет МРТ. Аппарат включается. Мощное магнитное поле, способное с лёгкостью поднять в воздух целый холодильник, внезапно обнаруживает внутри пациентки идеальную мишень. Игрушка, которая должна была приносить удовольствие, в одно мгновение превратилась в летающий снаряд, управляемый яростью законов электромагнетизма.

Начался хаос. Со слов свидетелей, «гость из ночных утех» решил не просто выйти, а совершить побег с места преступления с помощью реактивного двигателя, устроив пациентке незапланированную и крайне травмоопасную операцию по расширению внутреннего пространства. Врачи, которые секунду назад спокойно настраивали аппарат, впали в ступор, выбирая между протоколом оказания неотложной помощи и истерическим хохотом. Это тот редкий случай, когда в операционной нужно одновременно останавливать кровотечение и бороться с желанием упасть на пол и дрыгать ногами от смеха.

Итог предсказуемо печален и одновременно абсурден: экстренная операция, наложение швов и сомнительная слава. История моментально улетела в интернет, обогнав по популярности котиков и рецепты тортиков. В сети уже гуляют:

Фото самой пробки после «запуска», напоминающей то ли обломок НЛО, то ли артефакт из современной выставки искусства. Но по правилам площадки Дзен мы их не можем тут опубликовать. Но вы их найдете, если будет желание.

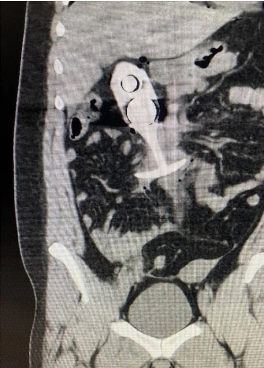
Скрины МРТ, на которых, мы уверены, отныне учат новых рентгенологов: «Вот, дети, смотрите — классический пример „синдрома магнитной пробки“».

Реакция врачей, которая является идеальным мемом для любого сложного понедельника. Сообщается, что медперсонал до сих пор не определился, что делать: выписать ей счёт за лечение или номинировать на премию «Дарвина» за вклад в безопасность МРТ-исследований.

Мораль сей басни такова: дети, всегда читайте инструкции. И не только к бытовой технике, но и к своим имным игрушкам. Потому что то, что обещает тебе ночь удовольствия, в мощном магнитном поле может запросто устроить ад в твоих внутренних органах. Берегите себя и проверяйте, нет ли внутри металла!