Найти в Дзене

Ретенционный период: как сохранить результат после брекетов и не дать зубам «разъехаться»

Ортодонтическое лечение — это долгий и кропотливый процесс. Но даже после снятия брекетов или завершения ношения элайнеров работа не заканчивается. Начинается ретенционный период — этап закрепления результата, который не менее важен, чем само лечение. Почему зубы стремятся вернуться в исходное положение? Как правильно ухаживать за зубами после ортодонтии? Какие ретейнеры и капы выбрать? Разберёмся в этой статье. Зубы не зафиксированы в кости намертво — они окружены связками, которые обладают «памятью». После перемещения зубов в правильное положение связочный аппарат и костная ткань должны адаптироваться к новому положению. Этот процесс занимает от нескольких месяцев до нескольких лет, а иногда требует пожизненного контроля. Существует два основных типа ретенционных конструкций: Это тонкая металлическая проволока, которая фиксируется на внутренней поверхности передних зубов. Плюс их в том, что они не требуют дисциплины от пациента (не нужно снимать/надевать), а также обеспечивает по
Оглавление

Ортодонтическое лечение — это долгий и кропотливый процесс. Но даже после снятия брекетов или завершения ношения элайнеров работа не заканчивается. Начинается ретенционный период — этап закрепления результата, который не менее важен, чем само лечение.

Почему зубы стремятся вернуться в исходное положение? Как правильно ухаживать за зубами после ортодонтии? Какие ретейнеры и капы выбрать? Разберёмся в этой статье.

Почему зубы «разъезжаются» после брекетов?

Зубы не зафиксированы в кости намертво — они окружены связками, которые обладают «памятью». После перемещения зубов в правильное положение связочный аппарат и костная ткань должны адаптироваться к новому положению. Этот процесс занимает от нескольких месяцев до нескольких лет, а иногда требует пожизненного контроля.

Если игнорировать ретенционный период, зубы могут:

  • вернуться в исходное положение (особенно при сильной скученности или после удаления зубов);
  • образовать щели (например, снова появится диастема между передними зубами);
  • изменить прикус (что приведёт к проблемам с жеванием, суставами).

Ретенционные аппараты: какие бывают и что выбрать?

Существует два основных типа ретенционных конструкций:

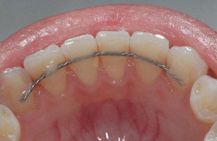
1. Несъёмные ретейнеры

Это тонкая металлическая проволока, которая фиксируется на внутренней поверхности передних зубов.

Плюс их в том, что они не требуют дисциплины от пациента (не нужно снимать/надевать), а также обеспечивает постоянную фиксацию.

Минус: может затруднять гигиену (нужно тщательно чистить зубы и использовать ирригатор) и иногда отклеивается (требует визита к ортодонту для коррекции).

Подходит такой вариант пациентам с высокой вероятностью рецидива (например, после лечения сильной скученности) и тем, кто не хочет зависеть от съёмных аппаратов.

2. Съёмные ретейнеры

-2

Это прозрачные капы (как элайнеры) или пластинки с металлической дугой.

Плюсы:

  • Удобны в уходе (можно снимать во время еды и чистки зубов).
  • Не влияют на дикцию.

Но есть и минусы: съемная конструкция требует дисциплины (нужно носить не менее 12–20 часов в сутки), а также может потеряться или сломаться.

Такой вариант будет идеален для пациентов с умеренным риском рецидива и тех, кто хочет сохранить эстетику.

3. Комбинированный подход

Часто ортодонты рекомендуют оба варианта одновременно:

  • Несъёмный ретейнер — на нижние зубы (они больше склонны к смещению).
  • Съёмные капы — на ночь для верхней челюсти.

Сколько длится ретенционный период?

Срок зависит от:

  • Сложности исходной аномалии (после лечения скученности или дистальной окклюзии требуется больше времени).
  • Возраста пациента (у взрослых зубы фиксируются дольше, чем у подростков).
  • Индивидуальных особенностей (скорости перестройки костной ткани).

Рекомендации как сохранить результат

1. Строго соблюдайте режим ношения ретейнеров. Если пропускать дни, зубы начнут смещаться уже через 2–3 недели.

2. Регулярно посещайте ортодонта. Первый осмотр — через 1 месяц после снятия брекетов. Далее — раз в 3–6 месяцев для контроля.

3. Следите за гигиеной. При несъёмных ретейнерах используйте ёршики и ирригатор. Капы нужно чистить щёткой и замачивать в специальном растворе.

4. Избегайте вредных привычек. Не грызите ногти, ручки, не открывайте зубами упаковки — это может повредить ретейнер.

5. При любых изменениях обращайтесь к врачу. Если ретейнер отклеился, капа треснула или вы заметили смещение зубов — не ждите, запишитесь на коррекцию.

Исправление прикуса — это часть лечения. Другая, не менее важная часть — его закрепление. Если вы хотите сохранить результат на всю жизнь:

✅ Строго соблюдайте рекомендации ортодонта.

✅ Не пропускайте профилактические осмотры.

✅ Выбирайте удобный тип ретейнеров (несъёмные, капы или комбинацию).

-3

Не дайте зубам «разъехаться» — доводите лечение до конца!

Если у вас остались вопросы о ретенционном периоде или вы хотите подобрать оптимальный вариант закрепления результата — запишитесь на консультацию. Помогу сохранить вашу улыбку ровной и здоровой.

Запись по телефону: 8 (985) 762-67-59