Добавить в корзинуПозвонить
Найти в Дзене
Ортопед Игорь Пахомов

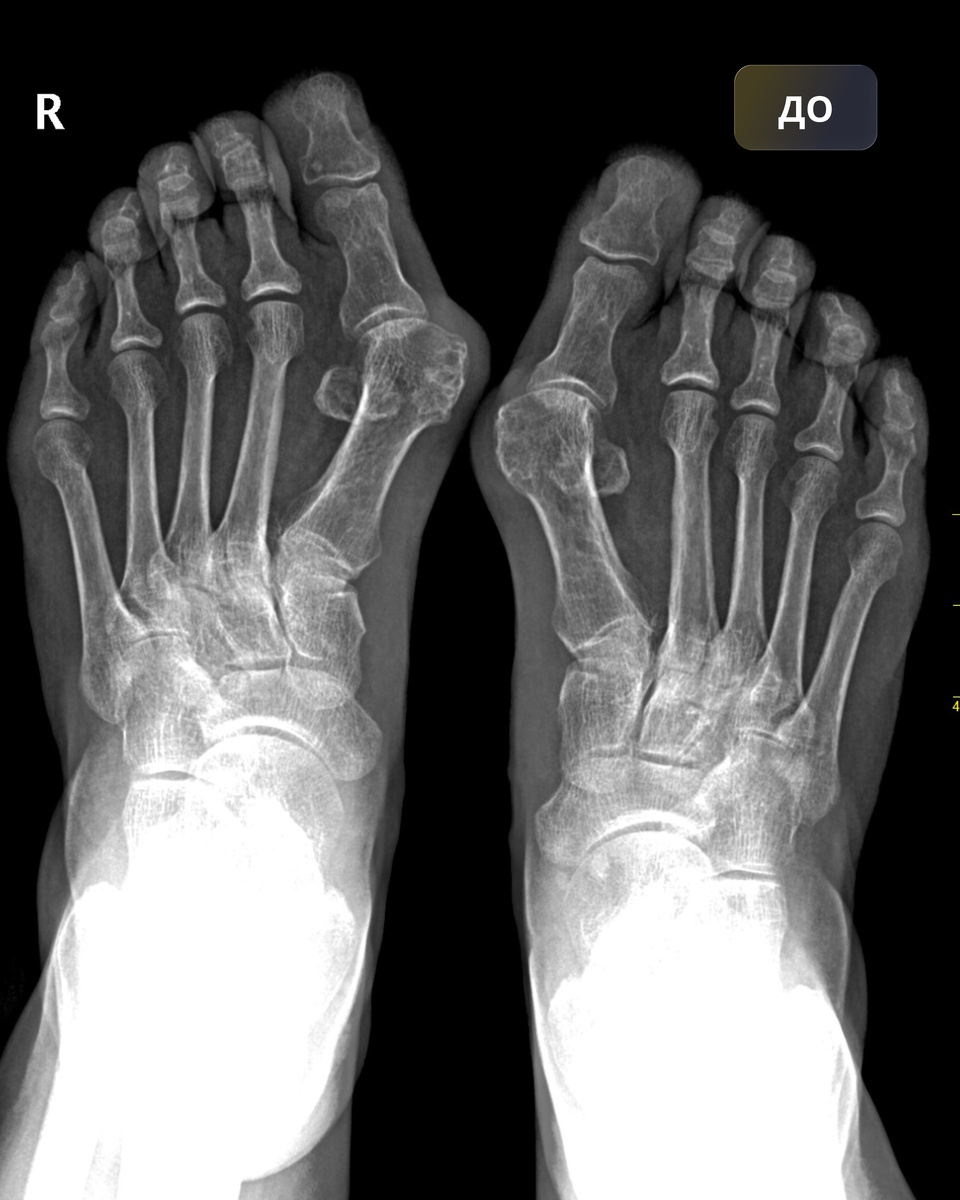
Пример хирургического вмешательства по поводу Hallux Valgus

Сегодня я хочу показать один из примеров хирургического вмешательства одного из пациентов. Фотографии До и После доступны в публикации. #доипосле #халлюксвальгус #хирургиястопы #халлюсвальгус #halluxvalgus #surgery #сроки #срокиреабилитации #реабилитация #реабилитационноелечение #заболевание #косточки #стопаскосточками #косточкинаногах #косточкинастопах #косточкинаноге #деформация #деформациястопы #травма #травмастопы #вмешательство #травматичность #ощущения #осложнения #хирург #травматолог

Сегодня я хочу показать один из примеров хирургического вмешательства одного из пациентов. Фотографии До и После доступны в публикации.

-2
-3
-4

#доипосле #халлюксвальгус #хирургиястопы #халлюсвальгус #halluxvalgus #surgery #сроки #срокиреабилитации #реабилитация #реабилитационноелечение #заболевание #косточки #стопаскосточками #косточкинаногах #косточкинастопах #косточкинаноге #деформация #деформациястопы #травма #травмастопы #вмешательство #травматичность #ощущения #осложнения #хирург #травматолог