Добавить в корзинуПозвонить
Найти в Дзене
Екатерина Ляпина

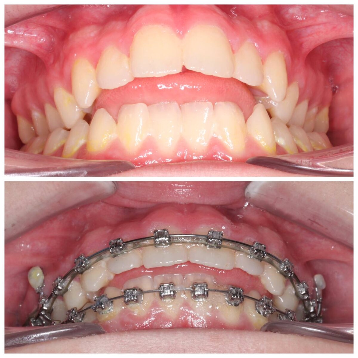
Медленно, но верно закрываем открытый прикус

Медленно, но верно закрываем открытый прикус 🤗 Ортодонт + миотерапевт в действии 💕 P.S Без логопеда открытый прикус не закрыть - язык очень сильная мышца и она способна успешно противостоять зубам, брекетам и резинкам. Поэтому закрытие прикуса начинается всегда с логопеда 👍

Медленно, но верно закрываем открытый прикус 🤗

Ортодонт + миотерапевт в действии 💕

P.S Без логопеда открытый прикус не закрыть - язык очень сильная мышца и она способна успешно противостоять зубам, брекетам и резинкам. Поэтому закрытие прикуса начинается всегда с логопеда 👍