Добавить в корзинуПозвонить
Найти в Дзене

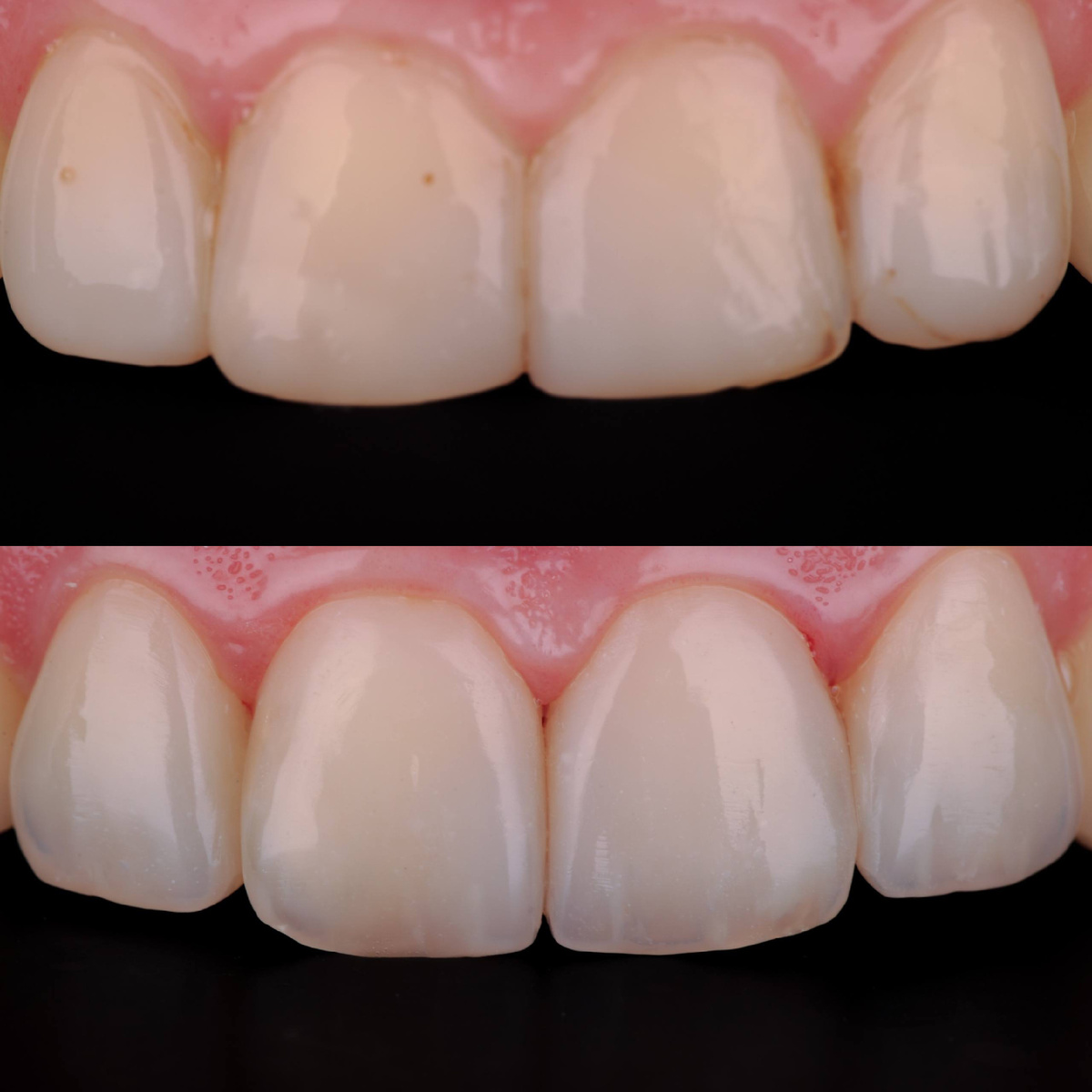
Замена четырех устаревших реставраций с акцентом на естественность

Были заменены четыре старые реставрации, исчерпавшие свой срок службы. Новая работа выполнена в натуральных, естественных оттенках, которые идеально гармонируют с цветом собственных зубов пациента. Проведенная работа: Результат: Реставрации визуально неотличимы от естественных зубов и полноценно выполняют свою функцию.

Были заменены четыре старые реставрации, исчерпавшие свой срок службы. Новая работа выполнена в натуральных, естественных оттенках, которые идеально гармонируют с цветом собственных зубов пациента.

Проведенная работа:

  • Эстетическое моделирование: Режущий край был незначительно осветлен для создания эффекта естественной прозрачности.
  • Воссоздание природной морфологии: Была воспроизведена оптическая структура эмали, включая характерные микросколы и легкие потертости, присущие натуральным зубам.
  • Восстановление функции: Особое внимание уделено восстановлению плотных контактных пунктов между зубами для обеспечения правильной функции и предотвращения застревания пищи.

Результат: Реставрации визуально неотличимы от естественных зубов и полноценно выполняют свою функцию.