Добавить в корзинуПозвонить
Найти в Дзене

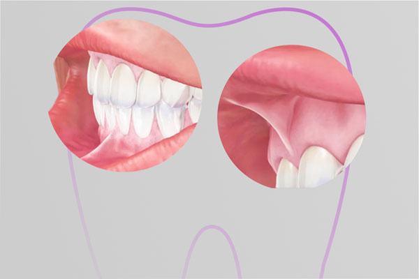
Пластика уздечки губы

Сегодня мы разберем важную и, к сожалению, часто недооцененную тему – френулопластику, или пластику уздечки губы. Не стоит пугаться слова «пластика». Это не обширная хирургическая операция, а малая амбулаторная процедура, которая, однако, способна предотвратить целый ряд серьезных проблем в будущем. Что такое уздечка и зачем она нужна? Уздечка губы – это вертикальная складка слизистой оболочки, которая соединяет губу с десной и костью челюсти. У нас есть уздечка верхней губы, нижней губы и языка. В норме она представляет собой тонкий, эластичный тяж, который не ограничивает движение губы и не причиняет дискомфорта. Но что, если уздечка короткая или прикреплена неправильно? Вот здесь и начинаются проблемы. Показания к пластике уздечки: когда вмешательство необходимо? Я, как профессор, всегда призываю к взвешенному подходу. Операция нужна далеко не всегда. Но есть четкие ортодонтические, логопедические и функциональные показания: 1. Ортодонтические причины (самые частые): · Диастема (щел

Сегодня мы разберем важную и, к сожалению, часто недооцененную тему – френулопластику, или пластику уздечки губы.

Не стоит пугаться слова «пластика». Это не обширная хирургическая операция, а малая амбулаторная процедура, которая, однако, способна предотвратить целый ряд серьезных проблем в будущем.

Что такое уздечка и зачем она нужна?

Уздечка губы – это вертикальная складка слизистой оболочки, которая соединяет губу с десной и костью челюсти. У нас есть уздечка верхней губы, нижней губы и языка. В норме она представляет собой тонкий, эластичный тяж, который не ограничивает движение губы и не причиняет дискомфорта.

Но что, если уздечка короткая или прикреплена неправильно? Вот здесь и начинаются проблемы.

Показания к пластике уздечки: когда вмешательство необходимо?

Я, как профессор, всегда призываю к взвешенному подходу. Операция нужна далеко не всегда. Но есть четкие ортодонтические, логопедические и функциональные показания:

1. Ортодонтические причины (самые частые):

· Диастема (щель между центральными резцами). Короткая уздечка верхней губы вплетается в межзубный сосочек, не давая центральным резцам сомкнуться. Важно! Сначала пластика, затем ортодонтическое лечение. Иначе после сведения зубов уздечка снова создаст тягу и приведет к рецидиву.

· Нарушение прикуса. Избыточное натяжение уздечки может способствовать оттягиванию десны (рецессии) и обнажению корней зубов, а также формированию неправильного прикуса.

2. Пародонтологические причины:

· Рецессия десны. Короткая уздечка буквально «оттягивает» десну от зуба, особенно при улыбке и движениях губы. Это приводит к повышенной чувствительности шеек зубов, клиновидным дефектам и риску развития пародонтита.

3. Логопедические причины:

· Нарушение дикции. Особенно это касается уздечки языка, но и массивная уздечка верхней губы может мешать правильной артикуляции некоторых звуков ([в], [ф], требующих участия верхней губы).

4. Подготовка к ортопедическому лечению:

· Если планируется съемное протезирование, крупная уздечка может мешать стабильной фиксации протеза.

5. У детей грудного возраста:

· Короткая уздечка верхней губы может мешать правильному захвату соска или соски и эффективному сосанию, приводя к быстрой утомляемости и недокорму.

«Золотой возраст» для операции

Вопрос timing’а решается индивидуально. Но есть два оптимальных периода:

1. В младенчестве (0-6 месяцев): Если есть проблемы с грудным вскармливанием. В этом случае уздечка просто рассекается (френотомия), процедура занимает секунды и почти бескровна.

2. В 6-9 лет: Когда постоянные центральные резцы уже прорезались полностью, а боковые еще нет. Это идеальное время для устранения диастемы и создания условий для правильного прорезывания соседних зубов.

Проводить операцию в сменном прикусе (когда молочные зубы еще не сменились) часто нецелесообразно. Взрослым же операцию можно делать в любом возрасте при наличии показаний.

Как проходит современная френулопластика?

Забудьте страшилки из прошлого. Сегодня это быстрая и малотравматичная процедура.

1. Диагностика: Врач оценивает длину, толщину и место прикрепления уздечки, обязательно делается фотопротокол.

2. Анестезия: Местная, аппликационная (гель) и инфильтрационная (укол) современными анестетиками. Совершенно безболезненно.

3. Методика: Существует три основных способа:

· Френотомия (рассечение).

· Френэктомия (иссечение).

· Френулопластика (перемещение места прикрепления). Это самая распространенная и эффективная методика.

4. Инструменты: Сегодня «золотым стандартом» является лазерная хирургия. Лазерный скальпель одновременно:

· Рассекает ткани.

· Коагулирует (прижигает) сосуды, минимизируя кровотечение.

· Стерилизует операционное поле.

· Сводит к минимуму послеоперационный отек и боль.

Вся процедура занимает 15-20 минут.

Послеоперационный период: это не страшно!

· Ощущения: Возможен небольшой дискомфорт в области швов (при использовании скальпеля) в первые 1-2 дня. При лазерной методике часто вообще ничего не чувствуется.

· Гигиена: Необходима тщательная, но аккуратная гигиена и использование антисептических полосканий (по назначению врача).

· Диета: На 2-3 дня рекомендуется исключить грубую, горячую и острую пищу.

· Физические нагрузки: Ограничить на пару дней.

· Полное заживление происходит в течение 7-10 дней.

В заключении

Пластика уздечки губы – это не прихоть, а важное лечебно-профилактическое мероприятие. Оно направлено на:

· Создание условий для правильного формирования прикуса.

· Профилактику заболеваний пародонта.

· Обеспечение нормальной функции речи и жевания.

Решение о необходимости вмешательства должен принимать не хирург единолично, а коллегиально: стоматолог-хирург, ортодонт и, при необходимости, логопед. Современные методы делают эту процедуру быстрой, безопасной и комфортной для пациента любого возраста.

Не пренебрегайте консультацией! Вовремя проведенная коррекция уздечки избавит вашего ребенка от многих проблем в будущем и станет залогом его здоровой и красивой улыбки.

Берегите себя и здоровье своих зубов!

Дорогие друзья!

Ваш рот выглядит прекрасно, ваши зубы сверкают белизной, ваша улыбка очаровывает всех вокруг... Но вдруг обнаружилось маленькое препятствие, которое мешает вашему счастью? Уздечка верхней губы — скромная складочка ткани, мешающая стать обладателями идеальной улыбки и полного комфорта?

Представляем вам многопрофильную клинику «Lucky Smile» на Таганке, куда приглашаются самые искушённые ценители красоты и здоровья ротовой полости! Наши опытные специалисты проведут пластику уздечки быстро, аккуратно и совершенно безболезненно.

Всего лишь одно посещение — и ваше лицо обретёт гармонию и красоту, которой оно заслуживает.

Мы гордимся тем, что можем предложить своим пациентам превосходное обслуживание и современные технологии.

Теперь всё будет идеально — никакой стеснённости, никаких неудобств, одна сплошная радость и удовольствие от каждого улыбающегося момента вашей жизни.

Приходите к нам скорее, мы вас ждём!

Более подробно о наших ценах https://ls-stom.ru/czenyi