Найти в Дзене
MY ORT

Эластичная каппа: опыт исправления дистального прикуса у 7‑летней девочки. Реальный кейс врача-ортодонта

Иногда маленькие пациенты приходят к нам в клинику не только с проблемами прикуса, но и с тяжёлыми заболеваниями. Постоянные больницы, сложное лечение — всё это тоже влияет на зубы, и на возможности коррекции. Но даже в таких случаях можно найти щадящий и эффективный путь лечения. В этом клиническом случае я расскажу вам историю о семилетней девочке с системным заболеванием мышечной ткани, которой удалось помочь справиться с нарушением прикуса без брекетов и сложных конструкций. Как мы с маленькой пациенткой мягко и постепенно двигались к здоровому результату: читайте далее. Родители семилетней девочки обратились ко мне, врачу-стоматологу, ортодонту, гнатологу, с жалобами на неправильный прикус. У ребенка начали прорезываться постоянные зубы и родителей беспокоило отсутствие места для нормального роста зубов. Из истории болезни пациентки я узнала, основная часть жизни ребёнка проходила в больницах из-за тяжёлого системного заболевания, связанного с мышечной тканью. Девочка находилась
Оглавление

Иногда маленькие пациенты приходят к нам в клинику не только с проблемами прикуса, но и с тяжёлыми заболеваниями. Постоянные больницы, сложное лечение — всё это тоже влияет на зубы, и на возможности коррекции. Но даже в таких случаях можно найти щадящий и эффективный путь лечения.

В этом клиническом случае я расскажу вам историю о семилетней девочке с системным заболеванием мышечной ткани, которой удалось помочь справиться с нарушением прикуса без брекетов и сложных конструкций.

Как мы с маленькой пациенткой мягко и постепенно двигались к здоровому результату: читайте далее.

Жалобы пациента и сбор анамнеза

Родители семилетней девочки обратились ко мне, врачу-стоматологу, ортодонту, гнатологу, с жалобами на неправильный прикус. У ребенка начали прорезываться постоянные зубы и родителей беспокоило отсутствие места для нормального роста зубов.

Из истории болезни пациентки я узнала, основная часть жизни ребёнка проходила в больницах из-за тяжёлого системного заболевания, связанного с мышечной тканью. Девочка находилась на постоянной медикаментозной терапии с серьёзными препаратами. Это могло отразиться не только на общем состоянии здоровья, но и на прогнозе ортодонтического лечения. У меня были опасения по поводу сохранности эмали и способности девочки поддерживать гигиену при ношении брекет-системы.

Компьютерная томография (КТ) показала у ребенка — дистальный прикус, ретрузию и кант окклюзионной плоскости зубов.

Ретрузия — аномалия положения зубов, при которой они наклонены внутрь рта, в сторону языка пациента.
Кант окклюзионной плоскости — это невидимая линия прикуса, показывающая правильность смыкания зубов.

На основании проведенной диагностики (КТ) я составила план лечения.

Какое лечение было выбрано

Мной было принято решение отказаться от брекет-системы и сосредоточиться на:

  • нормализации работы мышц,
  • формировании «мышечного корсета» для правильного роста челюстей,
  • создании условий для прорезывания постоянных зубов.

С такими задачами справляются всего несколько аппаратов. В качестве основного метода лечения я выбрала эластичные каппы. Рассматривались и лабораторные конструкции, но родители отказались от них по финансовым причинам.

Эластичные каппы — это прозрачные съемные накладки из полимерных материалов (полиуретан, силикон). Они мягко и постепенно выравнивают зубы. Корректируют незначительные дефекты прикуса, а также используются для отбеливания эмали или защиты зубов.

Как проходило лечение

Пациентка носила два эластичных корректора с перерывом.

Первая каппа дала слабовыраженный результат, это было связано с влиянием системного заболевания у девочки и проводимой терапии.

Через некоторое время мы начали лечение на каппе уже большего размера. Девочке уже был знаком опыт использования аппарата, и процесс проходил спокойнее (сама по себе девочка очень тревожная и трепетная).

В процессе лечения происходило не только исправление прикуса, но и адаптация пациентки к регулярному ношению каппы. Девочка, несмотря на тревожность, легче воспринимала лечение после положительного впечатления от каппы (красивое оформление каппы, понятное объяснение ребенку этапов лечения).

Результаты лечения

Мама пациентки отметила видимые изменения уже в первые месяцы ношения второй каппы, а за лето мы увидели отличный результат - изменилось лицо, профиль.

Фото лица и профиля не предоставлено по согласованию с родителями девочки.

Чего мы смогли добиться во время лечения

  1. Улучшение лицевого профиля.
  2. Устранён дефицит места для зубов.
  3. Скорректирован наклон окклюзионной плоскости.
  4. Уменьшена ретрузия (нормализация высоты прикуса).
  5. Исправлен дистальный прикус.
  6. Частично устранена скученность зубов.

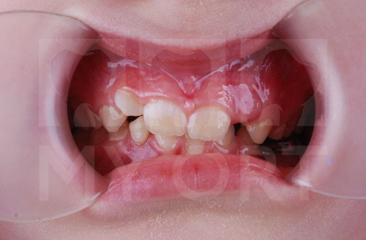
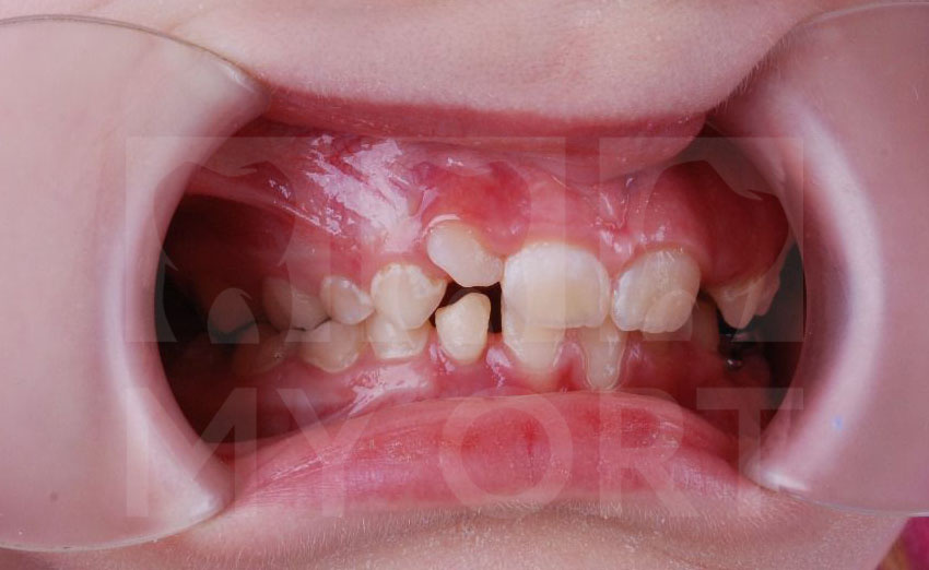
Улыбка До и После

Посмотрите, что у нас получилось:

До и после
До и после

Мы продолжаем носить каппу. Срок ношения таких аппаратов, как правило, не более года. Ждём прорезывания постоянных зубов, с уверенностью, что всё под контролем, ведь в процессе лечения пациентка приходит на осмотры.

Если у вашего ребёнка начали появляться неровные зубы или наблюдаются нарушения прикуса, не откладывайте визит к ортодонту. Чем раньше будет начато лечение, тем легче и быстрее будет достигнут положительный результат.

Как проходило Ваше ортодонтическое лечение? Какие были результаты, остались ли Вы довольны ими? А если Вы только собираетесь пройти лечение, то задавайте вопросы в комментариях.

Автор статьи: Лукина Анастасия Александровна — врач-стоматолог, ортодонт, гнатолог.