Добавить в корзинуПозвонить
Найти в Дзене
Parodoctor

Накладки слетели в первую ночь после замены дуги, суставы взвыли, единичка болела неделю - ассистент честно о 2 месяцах в брекетах.

Помните нашего несчастного ассистента, который в июле получил брекеты в подарок от клиники и ортодонта, но чуть не одурел (но не от счастья привалившего)? Тот самый, который в первый день пытался сорвать всю систему к чертям собачачьим? Между тем, прошло уже два месяца. Многие спрашивают, жив ли малец. А то, быть может, не сдюжил... Жив! Худой, но шевелится, работу выполняет почти без нареканий. Силы имеются, значит. Нижняя челюсть всё ещё без брекетов (так надо по плану лечения). Накладки на месте. И знаете что? Он познал, какое они благо. Невероятная история, конечно. Кто бы мог подумать, что штуки, мешающие жевать, окажутся такими желанными. Накладки - это композитные "бугорки" на жевательных зубах. Они не дают челюстям смыкаться полностью. Зубы не смыкаются и жевать полноценно невозможно. Зачем такие мучения? У ассистента проблемы с височно-нижнечелюстным суставом (ВНЧС). Накладки разобщают прикус, снимают нагрузку с сустава, дают ему восстановиться. Сначала он их ненавидел, но по
Оглавление

Помните нашего несчастного ассистента, который в июле получил брекеты в подарок от клиники и ортодонта, но чуть не одурел (но не от счастья привалившего)? Тот самый, который в первый день пытался сорвать всю систему к чертям собачачьим?

Между тем, прошло уже два месяца. Многие спрашивают, жив ли малец. А то, быть может, не сдюжил...

Жив! Худой, но шевелится, работу выполняет почти без нареканий. Силы имеются, значит.

Нижняя челюсть всё ещё без брекетов (так надо по плану лечения). Накладки на месте. И знаете что? Он познал, какое они благо. Невероятная история, конечно. Кто бы мог подумать, что штуки, мешающие жевать, окажутся такими желанными.

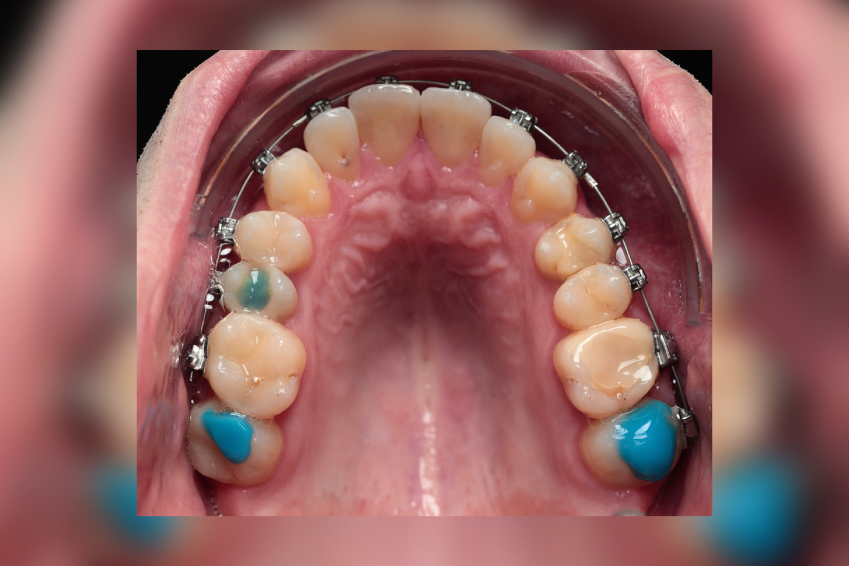
Накладки

Накладки - это композитные "бугорки" на жевательных зубах. Они не дают челюстям смыкаться полностью. Зубы не смыкаются и жевать полноценно невозможно.

Зачем такие мучения? У ассистента проблемы с височно-нижнечелюстным суставом (ВНЧС). Накладки разобщают прикус, снимают нагрузку с сустава, дают ему восстановиться.

Сначала он их ненавидел, но потом случилось ЭТО.

Дальше рассказ от первого лица в моей вольной интерпретации.

Первая замена дуги и жизнь после неё

Через полтора месяца поменяли дугу на более жёсткую. Думал, уже адаптировался, ничего страшного не будет.

Ну да, наивняк, согласен.

Первые три дня были такими же по болевым ощущениям, как после первой установки. Всё болит, ноет, простреливает. Обезболивающее снова мой лучший друг. Спать могу только на спине.

Но это ещё не всё. В первую же ночь после замены дуги проснулся с ощущением, что что-то не так. Языком по зубам... Накладки нет! Обе отвалились! Нашлись за щеками. По ощущениям, я стискивал зубы во сне с утроенной силой, вот композит и не выдержал.

Первая мысль ожидаемая: - "Ура, Добби свободен! Передышка"

Вторая мысль: - "Теперь нажуюсь от души. Колбаса, жди меня!"

Носчастье было не долгим. Очень скоро без накладок начали ныть суставы. Знакомая боль, которая была ДО брекетов, она усиливалась, как всегда. Тут же заболела и голова. Ожидание ухдшения было страшноватым, так как эти ощущения уже позабылись и не хотелось к ним возвращаться никогда более.

Я, буквально, взмолился ортодонту: - "Приклейте накладки обратно! Срочно! Пожалуйста!"

То, что ненавидел больше всего, стало спасением.

Накладки приклеили заново и уставы успокоились В ТОТ ЖЕ ДЕНЬ. Магия? Нет, биомеханика. Прошла половина месяца и накладки на своих местах держатся.

Твёрдую пищу не ем вообще. Яблоко? Только порезанное на мелкие кусочки, мягкие сорта.

Колбаски - мой личный ад. Они проскальзывают между накладками, жевать невозможно. Глотаю кусками, как чайка.

Мясо? Забудьте. Только фарш. Или тушёное до состояния "разваливается от взгляда".

Орехи? Хорошо, что у меня на них аллергия.

Зато суставы не болят. И это перевешивает все неудобства.

Загадочная боль в единичке

Через неделю после замены дуги разболелся верхний резец (1.1). Болел адски. Паниковал - вдруг брекеты что-то повредили? Бегом к своим докторам (они всегда рядом), зуб проверили досконально и не заметили серьезных проблем, нужно было подождать и понаблюдать. Неделю промучился на обезболах.

И вдруг... прошло само. Как будто и не болело. Зуб же остался витальным (живым) - проверяли.

Ортодонт объяснила - зуб двигается, временно пережимаются сосуды и нервы. Это нормально, так бывает.

Ещё хочу отметить постоянную ноющую боль в области семёрок - там, где установлены накладки. Чувствую, что ночью давлю на них сильно.

Ради чего всё началось

Смешно признаться, но затеял всё из-за одного зуба - верхней двойки (1.2). Она была "утоплена" в сторону нёба. Косметический дефект, эстетика.

Сустав волновал намного меньше, хотя и болел сильно.

P.s. - ассистент у нас молодой ещё, зелёный. Не понимал, что проблемы с ВНЧС гораздо опаснее кривого зуба. Могут привести к:

  • хроническим головным болям;
  • проблемам со слухом;
  • артрозу сустава;
  • невозможности нормально открыть рот.

А кривой зуб - ну кривой и кривой. Жить можно.

Гигиена за 2 месяца в брекет-системе

Чистка зубов теперь - целый ритуал:

  • обычная щётка - 3 минуты;
  • ёршики - ещё 5 минут;
  • ирригатор - финальные 3 минуты.

После каждого приёма пищи - полоскание и ёршики (хотя бы быстро).

Жалею ли я?

Нет.

Да, неудобства есть. Да, болит периодически. Да, есть нормально не могу.

Но:

  • суставы не болят (когда накладки на месте);
  • зубы реально двигаются - двойка уже почти на месте;
  • головные боли прошли;
  • появилась уверенность, что всё исправится.

Это того точно стоит.

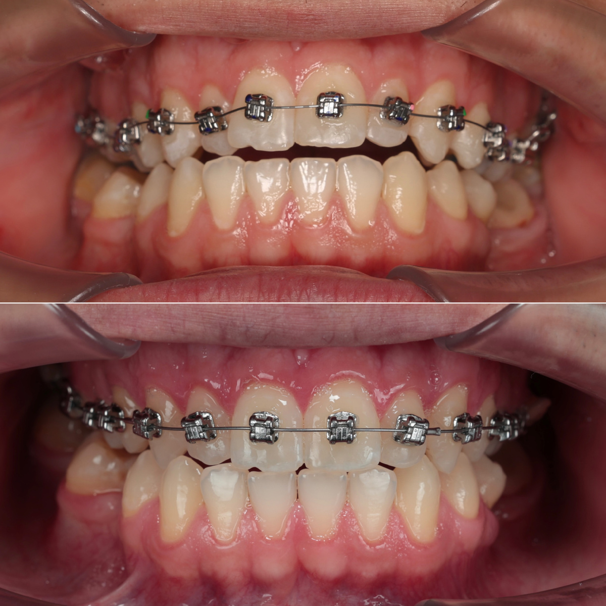
Что изменилось за 2 месяца визуально

ДО сверху и ПОСЛЕ снизу:

Брекетам 2 месяца
Брекетам 2 месяца

Видите? Двойка выдвинулась вперёд, как и мечталось.

Верх - до, низ - после
Верх - до, низ - после

Верхний зубной ряд выровнялся. И это только начало - впереди ещё больше года работы.

От лица главврача (Наталия Александровна).

Взгляд со стороны

Наблюдаю за ассистентом почти каждый день. Первую неделю он реально страдал. Сейчас - адаптировался полностью, улыбается, вообще не жалуется.

Перемещения зубов адекватные для двух месяцев.

История с отвалившимися накладками, считаю, весьма показательная. Иногда то, что кажется мучением, на самом деле спасение. Организм не всегда понимает, что для него лучше, 100%.

Продолжение следует, дневник ассистента будет продолжаться. Впрочем, как и мой дневник - мы одновременно начали исправление прикуса, только я в элайнерах. Вчера на канал добавляла статью о своих 2 месяцах.

Первая статья о страданиях парня:

Чаще рассказываю о работах, отвечаю на вопросы и комментарии - в тг канале:

Parodoctor

С уважением, Лежачёва Наталия Александровна, хирург-пародонтолог и главный врач стоматологии Parodent.