Добавить в корзинуПозвонить
Найти в Дзене
Parodoctor

Мои два месяца в элайнерах - эксперименты главного врача над собой ради контента. Почему не видно результата?

Помните, мы с ассистентом решили провести эксперимент на себе и побыть пациентами ортодонта? Я вписалась в элайнеры, он - в брекеты. Прошло два месяца, пятая пара кап, пора рассказать, как идут дела. Тем более, уже многие просили поделиться успехами. 16 июля, пасмурный летний вечер. Ничего мне не хотелось, настроения не было совсем, думала отменять эпопею - только не сегодня, как говорится. Но ортодонт уговорила, чудом. Ну ок, хорошо. Немного расшевелилась, даже видео с распаковкой сняли (на канале есть, в этом же видео я показала процесс установки аттачментов, первое самостоятельное снятие кап и первая их фиксация). Знаете, что было самым неприятным во всей процедуре установки? Фотографирование зубов. Тянуть нужно щёки и губы лихо, что бы всё важное поместилось в кадр. Бррр... "Теперь вот так придётся жить?" - спросила я у ортодонта после сдачи работы. Придётся, куда теперь деваться с подводной лодки. Первая неделя была... специфической (ссылка на статью о проблемах первой недели): А
Оглавление

Помните, мы с ассистентом решили провести эксперимент на себе и побыть пациентами ортодонта? Я вписалась в элайнеры, он - в брекеты. Прошло два месяца, пятая пара кап, пора рассказать, как идут дела. Тем более, уже многие просили поделиться успехами.

Как всё начиналось - краткое напоминание для новых читателей

16 июля, пасмурный летний вечер. Ничего мне не хотелось, настроения не было совсем, думала отменять эпопею - только не сегодня, как говорится. Но ортодонт уговорила, чудом. Ну ок, хорошо. Немного расшевелилась, даже видео с распаковкой сняли (на канале есть, в этом же видео я показала процесс установки аттачментов, первое самостоятельное снятие кап и первая их фиксация). Знаете, что было самым неприятным во всей процедуре установки? Фотографирование зубов. Тянуть нужно щёки и губы лихо, что бы всё важное поместилось в кадр. Бррр...

"Теперь вот так придётся жить?" - спросила я у ортодонта после сдачи работы. Придётся, куда теперь деваться с подводной лодки.

Первая неделя была... специфической (ссылка на статью о проблемах первой недели):

Аттачменты причиняли зло - композитные накладки на зубах для лучшей фиксации кап царапали язык, из-за них прикусывала губу. Думала, похудею.

Ага...

Первые дни языку было непривычно. Мои гладкие приятные зубы исчезли, вместо них появился какой-то ёж бугорковый. Язык хоть отрезай, постоянно лезет их ощупывать, натыкается на ежа, травмируется.

Сейчас, через два месяца, я их не чувствую. Они гладкие и язык больше не болит. Мозг вычеркнул аттачменты из списка врагов.

Как я привыкала к снятию кап:

  • день 1 - стою перед зеркалом, обеими руками во рту, паникую. Инструкция говорит "подцепите ногтем с внутренней стороны". Бедный мой маникюр...
  • день 2 - Научилась снимать за несколько секунд и даже без зеркала. Слишком я шустрая, как оказалось.

Похудение на элайнерах - не моя история, кстати. Ем всё подряд. Да, нужно снимать капы перед едой, но это занимает очень мало секунд. Чистить зубы и капы после еды? Нет, мне хватает 2 раз - утром и вечером. Капу споласкиваю водой перед новым надеванием, так как слюна засохшая весьма на вкус не нравится - солоноватая. Фи.

Я не теряю элайнеры - чудо!

Нужно понимать масштаб проблемы, я та ещё растеряха - ключи, очки, телефон частенько лежат у меня на "самом видном месте", что бы не потерять. И теряются =) Но нахожу, чего ужато. Пыхчу, очень ругаю себя, страдаю и обещаю быть повнимательнее.

Но вот удивительно, элайнеры ни разу не теряла. Тьфу-тьфу-тьфу, чувствую, накаркаю.

Смена кап раз в 2 недели

Вечер вторника, достаю новую пару - сейчас это №5. Они чистые, идеально прозрачные. Примеряю и первое ощущение: - "Зубы, наверное, свихнутся - туго очень".

Налезают с усилием. С характерным щелчком, когда капа встаёт на место. Первые полтора дня чувствуешь давление, но не боль - именно давление. Как будто зубы обняли и слегка сжали. Но это мой опыт, он может отличаться у других элайнероносцев.

Уже к вечеру второго дня капа становится родной, как будто всегда такая и была.

Где боль, спрашиваю я?

Ждала боли, готовилась к ней с небольшим содроганием.

Но боли-то нет. Вообще. Даже хочется иногда её ощутить - ну должно же хоть что-то происходить! Когда у ассистента всё болело от брекетов, я понимала - процесс идёт. Значит, работает аппаратура! А у меня?

Тоже работает. Просто элайнеры - это про микроперемещения, что-то вроде 0,25 мм за две недели. Организм не воспринимает это как травму, требующую болевого сигнала.

Мой ужасный секрет (НЕ ПОВТОРЯТЬ!)

К концу второй недели, перед сменой кап, я грешу... Могу не надеть их на полдня.

Делаю это в рамках эксперимента - проверяю, насколько зубы уже переместились. Если новая капа всё равно садится легко, значит, перемещение завершилось полностью. И так оно и есть.

НО! Это моя личная шалость и у меня всегда "под рукой" ортодонт. Не делайте так! Серьёзно. Можете испортить весь результат.

О шепелявости откровенно

Когда просто болтаю с друзьями - речь довольно чёткая, никто ничего не замечает и не акцентирует на этом внимание, элайнеры не мешают.

Но стоит мне подумать "вот сейчас нужно говорить чётко" - всё. Начинается.

Важная консультация, разговариваю с пациентом и думаю: - "Только бы не шепелявить". И, соответственно, подшепелявливаю.

Замкнутый круг какой-то. Когда думаю о дикции - напрягаюсь - дикция ухудшается - думаю ещё больше - появляется дефект речи.

А где результаты?

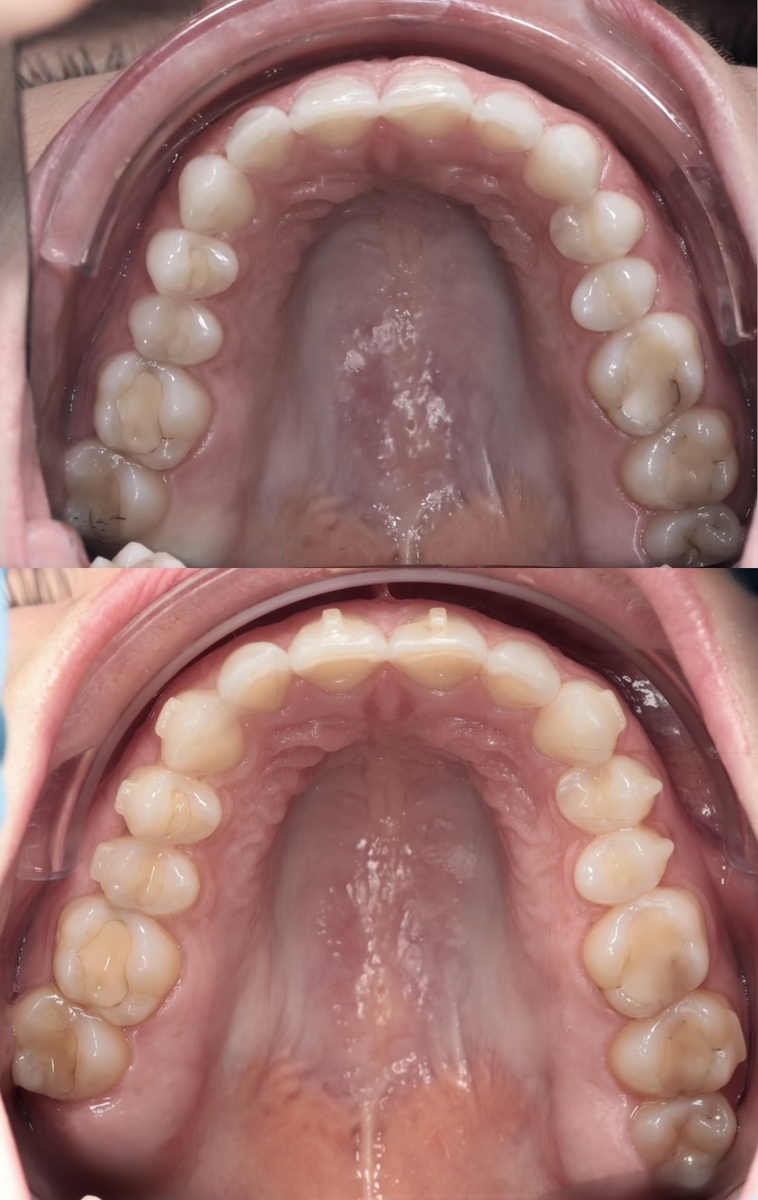
Смотрите сами - сверху до, снизу через 2 месяца:

Не впечатляет? Я тоже так думала. Смотрю каждое утро в зеркало - ничего не меняется. Кривой нижний резец всё ещё кривой. Скученность никуда не делась.

Верхняя челюсть - до и через 2 месяца:

-2

Нижняя челюсть:

-3

Но! Сравнила с фото до - изменения есть, просто они небольшие, почти незаметные, но есть же. Зубной ряд чуть расширился. Появились микрощели там, где была скученность.

И да, тот самый кривой резец всё ещё кривой специально. По плану лечения его время придёт позже. Сейчас создаётся место для его перемещения путём сепараций. Это не капы не отрабаатывают, это план такой:

5 капа
5 капа

Писала уже о сепарации, была проведена одна процедура.

Сепарация - это шлифовка между зубами для создания места. По плану лечения мне нужно создать несколько лишних мм пространства на нижней челюсти.

Звук довольно специфический, видео на канал загружала. Но ничего страшного в процеуре нет, 5 минут и готово. Щели между зубами не видно (убрали доли миллиметра), но места для перемещения появилось.

Промежуточные выводы спустя 60 дней

  • Комфортно. После первой недели адаптации забываешь про боль. Через месяц - что капы мешают, привыкаешь к ним и свыкаешься.
  • Не быстро. Перемещения ОЧЕНЬ плавные. Ну и хорошо.
  • Дисциплинирует, но не сильно. Каждый Важно не забывать про элайнеры и не забивать на них.
  • Никто не видит их. За 2 месяца никто не заметил элайнеры, только когда сама показывала, обращали внимание.
  • Дорого. Не буду врать - удовольствие не из дешёвых и даже я это чувствую (а я не плачу врачу и клинике).

Что дальше?

Впереди ещё большой путь, я в самом начале. Признаюсь, что больше переживала ещё до начала исправления прикуса - а смогу ли свыкнуться? Очень не люблю ограничения и дискомфорт... А уж на длительной дистанции терпеть что-то малотерпимое, наверное, не смогла бы вовсе.

Но всё оказалось проще, чем я ожидала. Сносно вполне, нет ощущения ограниченности. Выдержу 100%, вообще нет сомнений.

Обещаю отчитаться через какое-то время. Должны же когда-то начаться видимые изменения, вот и будет материал. Тот самый кривой резец, наконец, начнёт выпрямляться. А то он меня уже раздражает, хотя никогда ранее не напрягал =)

Ждите статью про 2 месяца ассистентских в брекетах - там перемещения должны быть более заметны.

Подборка ортодонтическая - много клинических случаев:

dzen.ru

Ответы на комментарии, вопросы, больше клинических случаев - в моём, большом уже, тг канале:

Parodoctor

С уважением, Лежачёва Наталия Александровна, хирург-пародонтолог и главный врач стоматологии Parodent, СПб.