Найти в Дзене

Шокирующий случай: в легких женщины нашли гигантские кисты с червями.

Оглавление

Как безобидная работа с собаками привела к опасной болезни

Учёные НовГУ исследовали необычный клинический случай паразитарного поражения лёгких. Авторы исследования – заведующая кафедрой микробиологии, иммунологии и инфекционных болезней НовГУ Ольга Азовцева и студенты Медицинского института НовГУ Иван Азовцев, Андрей Грачёв и Даниил Антропов.

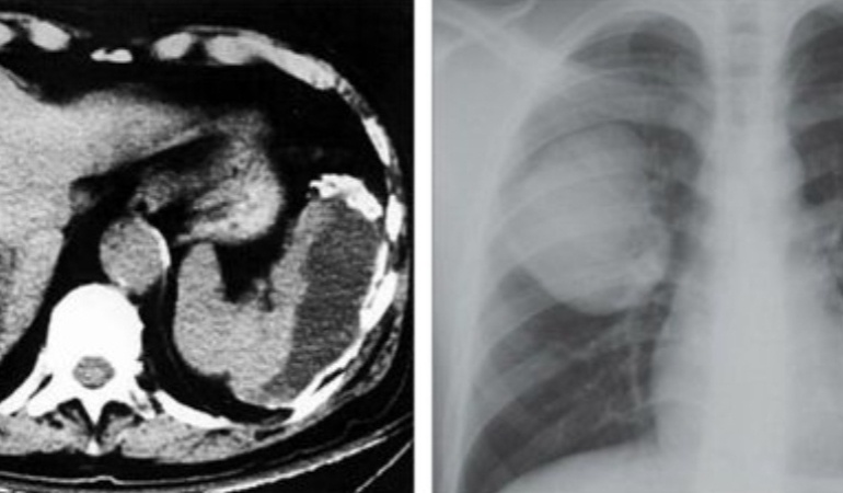
В одну из новгородских больниц обратилась женщина с результатами рентгена органов грудной клетки. На снимке были видны образования в лёгких размером с яблоко:

справа – 76х66х66 миллиметров, слева81х69х70 миллиметров. Больная – уроженка республики Таджикистан, длительное время занималась передержкой собак. Никаких симптомов пациентка не чувствовала.

Что произошло

Удивительный факт: при этом у пациентки не было никаких симптомов болезни, а анализ крови на антитела к паразиту показал отрицательный результат.

На первом этапе ей была проведена открытая операция по удалению кисты с левой стороны.

Послеоперационный период проходил без осложнений.

Вторая операция была запланирована через пять месяцев. Но при подготовке к ней у больной появился кашель с гнойной мокротой, высокая температура и признаки дыхательной недостаточности.

На рентгене было выявлено наличие воздуха и избытка жидкости в плевральной полости, а также заподозрен прорыв кисты.

Анализ крови на антитела к эхинококку  на этот раз был положительным.

-2

Как происходит заражение

Заражение человека происходит при поглаживании собак, на шерсти которых могут находиться онкосферы (личинки). При попадании в желудок оболочка онкосферы растворяется под действием желудочного сока, и высвободившиеся паразиты через систему воротной вены попадают в печень, где чаще всего и формируются эхинококковые кисты. Отдельные паразиты проходят печеночный барьер и через правые отделы сердца попадают в легочное капиллярное русло, что приводит к образованию легочных кист. В редких случаях паразит преодолевает легочный барьер и попадает в большой круг кровообращения с поражением многих органов человека, в том числе и головного мозга. Из зародыша эхинококка медленно развивается киста, имеющая вид пузыря, заполненного жидкостью.

Опасность заболевания

Без лечения болезнь может привести к летальному исходу. Даже при своевременной терапии возможны осложнения и рецидивы.

Статистика:

  • в мире более 1 миллиона больных эхинококкозом;
  • в России ежегодно регистрируется свыше 500 случаев;
  • чаще болеют люди 18-49 лет, преимущественно женщины.
-3

Как защитить себя

Чтобы избежать заражения, необходимо:

  • регулярно проводить дегельминтизацию домашних животных;
  • соблюдать правила личной гигиены;
  • внимательно относиться к санитарным нормам при работе с животными.

Женщине провели операцию по удалению одной кисты, но перед второй операцией возникли осложнения. Этот случай еще раз показывает, насколько важно вовремя проходить медицинское обследование и внимательно относиться к своему здоровью.

Важно помнить: даже при отсутствии симптомов, паразитарные заболевания могут серьезно угрожать жизни. Регулярные проверки у врача помогут выявить проблему на ранней стадии.

Хотите узнать больше о загадках природы? Подписывайтесь на наш канал и следите за новыми статьями!