Добавить в корзинуПозвонить
Найти в Дзене

Невидимые враги: что нужно знать о клещевых инфекциях у вашей собаки

С приходом весны просыпается не
только природа, но и её коварные обитатели – иксодовые клещи. Для
владельцев собак этот период становится временем повышенной
бдительности. Маленький укус может обернуться большой бедой, ведь клещи –
не просто паразиты, а переносчики опасных инфекций. Знание – лучшая
защита, поэтому давайте разберёмся, какие болезни они переносят и как
уберечь питомца. Сам по себе клещ, питающийся кровью, причиняет собаке лишь механическое
повреждение и может вызвать местное раздражение. Главная опасность
кроется в патогенах (бактериях, простейших и вирусах), которые клещ
«подаёт» прямо в кровоток животного во время укуса со своей слюной. Важно понимать: один клещ может быть переносчиком нескольких инфекций одновременно.
Это значит, что собака рискует заразиться двумя или даже тремя
болезнями от одного укуса, что значительно усложняет диагностику и
лечение. Рассмотрим самых распространённых «врагов». Пироплазмоз — это сезонное протозойное (вызываемое простейш
Оглавление

С приходом весны просыпается не
только природа, но и её коварные обитатели – иксодовые клещи. Для
владельцев собак этот период становится временем повышенной
бдительности. Маленький укус может обернуться большой бедой, ведь клещи –
не просто паразиты, а переносчики опасных инфекций. Знание – лучшая
защита, поэтому давайте разберёмся, какие болезни они переносят и как
уберечь питомца.

Клещ: всего лишь «транспорт»

Сам по себе клещ, питающийся кровью, причиняет собаке лишь механическое
повреждение и может вызвать местное раздражение. Главная опасность
кроется в патогенах (бактериях, простейших и вирусах), которые клещ
«подаёт» прямо в кровоток животного во время укуса со своей слюной.

Важно понимать: один клещ может быть переносчиком нескольких инфекций одновременно.
Это значит, что собака рискует заразиться двумя или даже тремя
болезнями от одного укуса, что значительно усложняет диагностику и
лечение.

Рассмотрим самых распространённых «врагов».

1. Бабезиоз (или пироплазмоз)

Пироплазмоз — это сезонное протозойное (вызываемое простейшими) заболевание крови, характеризующееся лихорадкой, анемией, желтухой и гемоглобинурией появлением гемоглобина в моче). Без своевременного лечения болезнь быстро приводит к тяжелейшим осложнениям и гибели животного.

Возбудитель и механизм заражения

  • Возбудитель: Паразит Babesia canis (реже Babesia gibsoni). Это микроскопический одноклеточный организм, относящийся к типу Apicomplexa.
  • Переносчик: Иксодовые клещи родов Dermacentor, Rhipicephalus, Hyalomma. Клещ является не просто «шприцом», а биологическим переносчиком.
    Это значит, что для того чтобы стать заразным, клещ должен сам
    заразиться, питаясь на больном животном, и в его организме паразит
    прошел определенный цикл развития.
  • Путь заражения: Заражение происходит трансмиссивным
    путем, то есть через укус инфицированного клеща. В его слюнных железах
    находятся инвазионные стадии паразита (спорозоиты), которые при укусе
    попадают в кровоток собаки.

Важно:
От собаки к собаке или от собаки к человеку болезнь не передается.
Человек не может заразиться пироплазмозом от своей больной собаки.

Анемия. Бледность слизистых оболочек.
Анемия. Бледность слизистых оболочек.

Что происходит в организме собаки? (Патогенез)

Это ключевой раздел для понимания всей тяжести болезни.

  1. Внедрение и атака на эритроциты: Попав в кровь, бабезии проникают внутрь эритроцитов (красных кровяных телец, ответственных за перенос кислорода).
  2. Размножение: Внутри клетки паразит начинает размножаться, делясь на 2, 4, 16, 32 дочерние особи.
  3. Разрушение эритроцита:
    Наполненная паразитами клетка буквально разрывается. Вышедшие бабезии
    немедленно атакуют новые, здоровые эритроциты. Запускается
    лавинообразный процесс.

Это приводит к нескольким катастрофическим последствиям:

  • Массивный гемолиз (разрушение эритроцитов):
    Развивается гемолитическая анемия
    — органы и ткани страдают от острой нехватки кислорода (гипоксии).
    Собака становится вялой, появляется одышка, слизистые оболочки бледнеют.
  • Высвобождение гемоглобина:
    Свободный гемоглобин из разрушенных клеток является токсичным для организма. Он не может быть утилизирован почками в таком количестве.
    Развивается
    гемоглобинурия — почки фильтруют гемоглобин, и моча становится цвета темного пива или кофе. Это классический симптом пироплазмоза.
    Токсичная нагрузка на почки может привести к
    острой почечной недостаточности (ОПН) — одной из самых частых причин смерти.
  • Нарушение свертываемости крови и системное воспаление:
    Массовый распад клеток запускает каскад реакций, приводящих к образованию микротромбов в сосудах (ДВС-синдром), нарушению кровоснабжения органов иих полиорганной недостаточности (печень, сердце, ЦНС).
  • Желтуха: Разрушение гемоглобина приводит к избытку билирубина в крови, что вызывает желтое окрашивание слизистых оболочек, склер и кожи.

Желтуха
Желтуха

Симптомы: от первых признаков до критического состояния

Инкубационный период составляет от 2 дней до 2 недель. Течение болезни может быть острым, хроническим и сверхострым.

  • Острая форма (наиболее частая):
    Вялость, апатия, отказ от еды
    — самый первый и часто упускаемый владельцами признак.
    Высокая лихорадка (температура поднимается до 40-42°C).
    Моча становится темной: от коричневого до почти черного цвета. Это грозный симптом, требующий немедленного визита к врачу!
    Слабость задних конечностей,
    собака с трудом встает.
    Бледность и/или желтушность слизистых оболочек глаз, рта.
    Одышка, учащенное сердцебиение.
    Возможна рвота, диарея.
  • Хроническая форма:
    Встречается реже, обычно у собак с повышенной резистентностью или ранее переболевших. Характеризуется анемией, слабостью, периодическим
    повышением температуры, истощением. Часто остается недиагностированной.
  • Сверхострая форма: Крайне быстрое течение, приводит к гибели животного за 1-2 дня, часто до появления явных клинических признаков.

Диагностика

Диагноз ставится комплексно:

  1. Анамнез: Факт снятия клеща или прогулка в эндемичной зоне в сезон активности.
  2. Клинические признаки: Наличие комплекса симптомов (вялость, высокая температура, темная моча).
  3. Лабораторная диагностика:
    Общий клинический анализ крови:
    Показывает резкое снижение количества эритроцитов, тромбоцитов (тромбоцитопения), гемоглобина.
    Биохимический анализ крови: Повышение показателей билирубина, мочевины, креатинина (свидетельство поражения печени и почек).
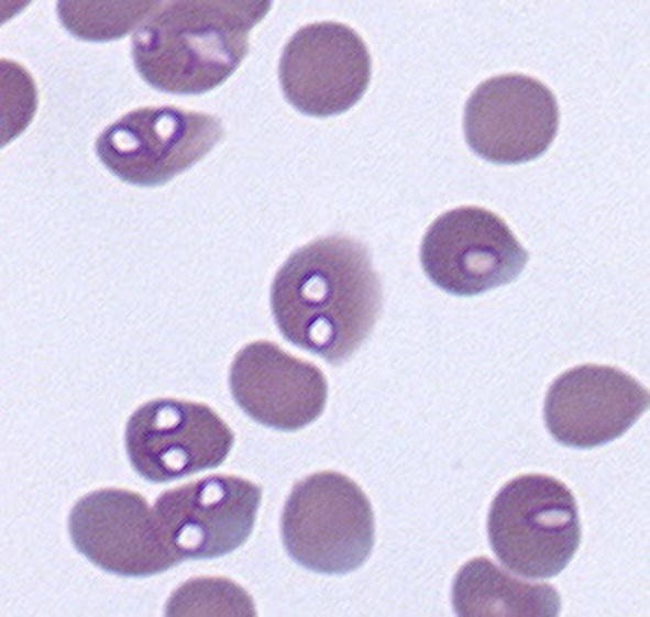
    Микроскопия мазка крови: «Золотой стандарт»
    быстрой диагностики. Под микроскопом в эритроцитах хорошо видны
    характерные грушевидные парные образования (мерозоиты). Анализ берется
    из периферической крови (чаще из уха или когтя), так как там
    концентрация паразитов выше.

Лечение: борьба за каждый эритроцит

Лечение пироплазмоза комплексное и направлено на решение нескольких задач:

  1. Уничтожение возбудителя (этиотропная терапия):
    Применяются специфические препараты: имидокарб (Имидокарб, Имизол, Пиро-стоп) или диминазен
    (Азидин, Беренил). Эти лекарства сами по себе токсичны, поэтому
    применяются строго под контролем врача в определенной дозировке и часто с
    предварительной подготовкой.
  2. Поддерживающая и симптоматическая терапия (не менее важна!):
    Инфузионная терапия (капельницы):
    Помогает бороться с интоксикацией, поддерживает функцию почек, предотвращает обезвоживание.
    Гепатопротекторы, витамины, гастропротекторы: Поддержка поврежденных органов.
    В тяжелых случаях: Переливание крови или эритроцитарной массы для борьбы с анемией, плазмаферез для очистки крови от токсинов.

Важно:
Даже после успешного уничтожения паразита собака еще долго может
находиться в критическом состоянии из-за последствий болезни. Требуется
длительный восстановительный период (1-2 месяца) со щадящей диетой и
контролем анализов крови.

Профилактика

Полностью исключить риск невозможно, но его можно свести к минимуму:

  1. Регулярная обработка акарицидными препаратами:
    Капли на холку, спреи, ошейники, таблетки (изоксазолины: Bravecto,
    Simparica, Nexgard и др.). Таблетки считаются наиболее эффективными, так
    как клещ погибает после укуса, не успев передать большое количество
    паразитов.
  2. Осмотр после прогулок: Тщательно ощупывайте собаку, особенно голову, шею, грудь, пах. Обнаруженного клеща следует немедленно и правильно удалить.

Вывод:
Пироплазмоз — это не просто «болячка от клеща». Это серьезное системное
заболевание, которое бьет по жизненно важным органам. Промедление в
обращении к ветеринару на 1-2 дня часто оказывается фатальным. Знание
симптомов и незамедлительные действия — залог спасения жизни вашего
питомца.

2. Боррелиоз (Болезнь Лайма)

Эта инфекция опасна и для собак, и для людей.

  • Возбудитель: Бактерия Borrelia burgdorferi.
  • Что происходит? Боррелии поражают не кровь, а суставы, нервную систему, сердце и почки животного. Коварство болезни в её долгом инкубационном периоде – симптомы могут проявиться через несколько недель или даже месяцев после укуса.
  • Симптомы: Чаще всего первым признаком является хромота,
    которая может мигрировать с одной конечности на другую и проходить сама
    собой. Позже появиться вялость, повышение температуры, увеличение
    лимфоузлов, неврологические нарушения и проблемы с почками.
  • Диагностика: Требуются специальные анализы крови.

Borellia-nosode
Borellia-nosode

3. Анаплазмоз

Ещё одна бактериальная инфекция, бывает двух видов.

  • Возбудитель:
    Anaplasma phagocytophilum поражает белые кровяные тельца (гранулоциты). Симптомы схожи с боррелиозом: хромота, лихорадка, вялость.
    Anaplasma platys поражает тромбоциты, отвечающие за свёртываемость крови. Спонтанные кровоточивости, появления кровоизлияний на коже и слизистых, носовые кровотечения.

Anaplasmataceae
Anaplasmataceae

4. Эрлихиоз

  • Возбудитель: Бактерия Ehrlichia canis, поражающая белые кровяные тельца и тромбоциты.
  • Течение болезни
    часто делится на три фазы: острую (с высокой температурой и
    кровотечениями), скрытую (может длиться годами без симптомов) и
    хроническую (тяжёлая анемия, кровотечения, истощение).
  • Прогноз: В острой фазе лечение эффективно, хроническая форма лечится тяжело и не всегда успешно.

Ehrlichia canis в цитоплазме моноцита.
Ehrlichia canis в цитоплазме моноцита.

Диагностика и лечение: почему самолечение смертельно опасно

Симптомы клещевых инфекций часто неспецифичны (вялость, температура) и могут напоминать отравление или простуду. Никогда не занимайтесь самолечением!

  1. При обнаружении клеща или симптомов – немедленно к ветеринару.
  2. Диагностика включает в себя осмотр, общий и биохимический анализы крови, а также специфические тесты(ПЦР, ИФА), которые точно определяют возбудителя. Сегодня существуют комплексные тесты, которые по одному образцу крови выявляют 4-5 основных
    инфекций.
  3. Лечение принципиально разное для каждой болезни:
    Для бабезиоза – специальные противопаразитарные препараты (имидокарб, диминазин).Для боррелиоза, анаплазмоза и эрлихиоза – длительный курс
    антибиотиков (доксициклин и др.).
    Во всех случаях требуется
    симптоматическая и поддерживающая терапия: капельницы, гепатопротекторы, витамины, в тяжелых случаях – переливание крови.

Попытка
лечить бактериальную инфекцию противопаразитарным препаратом (и
наоборот) не только бесполезна, но и убьёт собаку из-за побочных
эффектов и упущенного времени.

Защита: комплексный подход – единственный выход

Не существует метода, дающего 100% гарантию, поэтому ветеринары настаивают на комплексной защите:

  1. Репелленты и акарициды:
    Капли на холку, спреи, ошейники. Они либо отпугивают клещей, либо
    убивают их при контакте. Важно использовать средства именно для собак и
    соблюдать дозировку по весу.
  2. Таблетки и жевательные формы (На данный момент самая эффективная защита):
    Современные препараты системного действия. После приёма действующее
    вещество распределяется в коже и крови, вызывая гибель клеща при укусе.
  3. Механический осмотр:
    После каждой прогулки в сезон активности клещей (с апреля по октябрь, а
    в тёплые зимы – круглый год) тщательно ощупывайте собаку, уделяя
    внимание голове, шее, ушам, паху и подмышкам.

Вывод прост:
Клещевые инфекции – серьёзная угроза, но не приговор. Ответственность
владельца, заключающаяся в регулярной профилактике и быстром обращении к
врачу при малейшем подозрении, – это залог долгой и здоровой жизни
вашего питомца даже в условиях постоянной «клещевой» угрозы.

Имею большой опыт лечения и ведения животных с клещевой инфекцией. Проконсультирую онлайн, назначу лечение и исследования. Веду животное до
завершения лечения.