Добавить в корзинуПозвонить
Найти в Дзене

Зубы шатались без боли — врач показал, что скрывается внутри

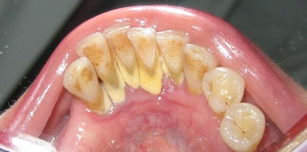
«У меня просто налёт, ничего страшного».
Так говорят пациенты до тех пор, пока не появляется: Всё это — последствия зубного камня, который не видно снаружи, но который разрушает ткани изнутри. Сегодня расскажем, чем опасен зубной камень, и почему профессиональная чистка — это не «про эстетику», а про здоровье. Это минерализованный налёт, который скапливается на зубах в местах, где не достаёт щётка. Он затвердевает, буквально «впивается» в эмаль и уходит под десну. Там он становится источником: Простой налёт можно снять дома. Камень — нет. Ни паста, ни ополаскиватель, ни супер-щётка не справятся. Камень — рассадник бактерий. Он вызывает постоянное воспаление дёсен. Они краснеют, кровоточат, «отходят» от зуба. Дёсны уходят — и оголяются чувствительные участки зуба. Каждый глоток воды — боль, холод, «прострел». Камень проникает под десну, разрушает кость, в которой держится зуб. Результат — зуб начинает шататься, и в какой-то момент… просто выпадает. Никакая мята не перебьёт запах гниения
Оглавление

«У меня просто налёт, ничего страшного».
Так говорят пациенты до тех пор, пока не появляется:

  • Кровоточивость дёсен
  • Неприятный запах изо рта
  • Расшатывание зубов
  • И… неожиданная потеря зуба без боли
Всё это — последствия зубного камня, который не видно снаружи, но который разрушает ткани изнутри.

Сегодня расскажем, чем опасен зубной камень, и почему профессиональная чистка — это не «про эстетику», а про здоровье.

Что такое зубной камень?

Это минерализованный налёт, который скапливается на зубах в местах, где не достаёт щётка. Он затвердевает, буквально «впивается» в эмаль и уходит под десну. Там он становится источником:

  • инфекции,
  • воспаления,
  • разрушения костной ткани.

Простой налёт можно снять дома.

-2

Камень — нет. Ни паста, ни ополаскиватель, ни супер-щётка не справятся.

Чем он опасен?

Воспаление дёсен (гингивит, пародонтит)

Камень — рассадник бактерий. Он вызывает постоянное воспаление дёсен. Они краснеют, кровоточат, «отходят» от зуба.

Оголение шеек зубов

Дёсны уходят — и оголяются чувствительные участки зуба. Каждый глоток воды — боль, холод, «прострел».

Подвижность и потеря зубов

Камень проникает под десну, разрушает кость, в которой держится зуб. Результат — зуб начинает шататься, и в какой-то момент… просто выпадает.

Неприятный запах изо рта

Никакая мята не перебьёт запах гниения и бактерий, который создаётся под десной.

Повышенный риск проблем с сердцем и сосудами

Хроническое воспаление в ротовой полости увеличивает нагрузку на весь организм. Исследования показывают связь между воспалением дёсен и:

  • инсультами,
  • инфарктами,
  • диабетом.

Когда пора идти на чистку?

  • Есть налёт и камень у основания зубов
  • Дёсны кровят при чистке
  • Появился неприятный запах
  • Зубы стали чувствительными
  • Вы не были на чистке больше 6 месяцев

Как мы удаляем зубной камень в «Личном докторе»

В нашей клинике мы используем лучшую в мире систему профессиональной гигиены — протокол GBT (Guided Biofilm Therapy) от EMS:

✅ Без боли
✅ Без повреждений эмали
✅ Без металлических крючков и «скребков»
✅ Только мягкое, но сверхэффективное удаление налёта и камня с поверхности и из-под десны

-3
-4
-5

Результат — чистые зубы, здоровые дёсны и никакого дискомфорта.

Запишитесь на профессиональную чистку по протоколу GBT в клинике «Личный доктор» — почувствуйте разницу между обычной гигиеной и технологиями нового уровня!