Найти в Дзене

Цистит у кошек и собак: причины, симптомы и опасность бездействия

Цистит — это общий термин, обозначающий воспаление слизистой оболочки мочевого пузыря. Это распространенное заболевание, которое причиняет значительный дискомфорт нашим питомцам и может сигнализировать о более серьезных проблемах со здоровьем. Владельцам кошек и собак важно понимать природу этой болезни, чтобы вовремя обратиться за помощью. Какие бывают циститы? Циститы у животных классифицируют в зависимости от их причины и течения. Основные виды: 1. По причине возникновения: · Идиопатический цистит кошек (ИЦК). Самая частая форма у кошек, особенно молодых и среднего возраста. Его точная причина до конца не ясна, но ключевую роль играет стресс (переезд, появление нового члена семьи, ремонт, гости). При этом в моче не обнаруживается ни бактерий, ни камней. · Инфекционный (бактериальный) цистит. Чаще встречается у собак, особенно у сук из-за анатомических особенностей (более короткая и широкая уретра). Вызывается бактериями, которые попадают в мочевой пузырь восходящим путем извне.

Цистит — это общий термин, обозначающий воспаление слизистой оболочки мочевого пузыря. Это распространенное заболевание, которое причиняет значительный дискомфорт нашим питомцам и может сигнализировать о более серьезных проблемах со здоровьем. Владельцам кошек и собак важно понимать природу этой болезни, чтобы вовремя обратиться за помощью.

Какие бывают циститы?

Циститы у животных классифицируют в зависимости от их причины и течения. Основные виды:

1. По причине возникновения:

· Идиопатический цистит кошек (ИЦК). Самая частая форма у кошек, особенно молодых и среднего возраста. Его точная причина до конца не ясна, но ключевую роль играет стресс (переезд, появление нового члена семьи, ремонт, гости). При этом в моче не обнаруживается ни бактерий, ни камней.

· Инфекционный (бактериальный) цистит. Чаще встречается у собак, особенно у сук из-за анатомических особенностей (более короткая и широкая уретра). Вызывается бактериями, которые попадают в мочевой пузырь восходящим путем извне. Может быть первичным или вторичным на фоне других заболеваний.

· Цистит, вызванный мочекаменной болезнью (МКБ). Кристаллы и камни в мочевом пузыре травмируют его нежную слизистую оболочку, вызывая механическое воспаление, кровотечение и боль.

· Грибковый цистит. Встречается редко, обычно у животных с серьезно ослабленным иммунитетом.

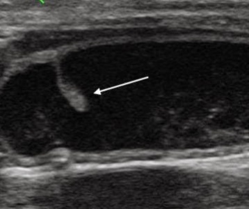
· Полиповидный цистит. Хроническая форма, при которой на стенке мочевого пузыря образуются многочисленные доброкачественные образования (полипы), поддерживающие воспаление.

Стрелкой указан полип
Стрелкой указан полип

· Цистит, вторичный к опухолям. Опухоль в полости мочевого пузыря или рядом с ним может вызывать хроническое воспаление.

2. По течению болезни:

· Острый цистит. Возникает внезапно, симптомы ярко выражены.

· Хронический цистит. Протекает длительно, с периодическими обострениями и периодами затишья. Труднее поддается лечению.

Симптомы цистита: на что обратить внимание

Признаки заболевания достаточно характерны, и их сложно не заметить внимательному владельцу:

-3

· Учащенное, болезненное мочеиспускание (поллакиурия). Питомец постоянно бегает к лотку или просится на улицу, принимает позу для мочеиспускания, но мочи выходит совсем немного, часто по каплям.

· Странгурия. Затрудненное, напряженное мочеиспускание, часто с поскуливанием от боли.

· Гематурия. Появление крови в моче. Моча может приобретать розовый, красный или коричневатый оттенок.

· Изменение поведения в туалете. Кошка может начать ходить мимо лотка, на холодные поверхности (кафель, ванну), на кровать или ковер. Собака — мочиться дома, хотя раньше этого не делала.

· Боль и дискомфорт. Животное может жалобно мяукать или скулить во время мочеиспускания, вылизывать область промежности, проявлять беспокойство.

· При тяжелых формах возможна полная задержка мочи (обструкция уретры). Это состояние, особенно часто встречающееся у котов из-за их узкого мочеиспускательного канала, является угрозой для жизни и требует немедленного вмешательства ветеринара!

-4

Последствия и опасность отсутствия лечения

Игнорирование симптомов цистита или попытки самолечения могут привести к тяжелым, а иногда и необратимым последствиям:

1. Восходящая инфекция и пиелонефрит. Самое частое и опасное осложнение. Бактерии из воспаленного мочевого пузыря по мочеточникам поднимаются в почки, вызывая их тяжелое бактериальное воспаление. Пиелонефрит сложнее лечить, он может привести к хронической почечной недостаточности и нести прямую угрозу жизни животного.

2. Образование камней. Хроническое воспаление изменяет pH мочи, что создает идеальные условия для кристаллизации солей и образования уролитов (камней).

3. Хронизация процесса. Невылеченный острый цистит почти всегда переходит в хроническую форму. Животное будет постоянно страдать от периодических обострений, а лечение будет менее эффективным.

УЗИ мочевого пузыря, утолщение стенок мочевого указывают на воспалительный процесс - цистит
УЗИ мочевого пузыря, утолщение стенок мочевого указывают на воспалительный процесс - цистит

4. Обструкция (закупорка) уретры. Особенно актуально для котов. Воспалительный процесс, слизь, кристаллы и мелкие камни могут закупорить узкий мочеиспускательный канал. Моча не выходит, вызывая растяжение и возможный разрыв мочевого пузыря, острую почечную недостаточность и тяжелейшую интоксикацию организма. Без экстренной медицинской помощи животное погибает в течение 24-72 часов.

5. Перфорация (разрыв) стенки мочевого пузыря. В редких случаях сильное воспаление и перерастяжение могут привести к разрыву органа и излитию мочи в брюшную полость, что приводит к смертельно опасному перитониту.

-6

Заключение

Цистит — это не просто «простуда» и не пустяковая болезнь. Его симптомы — серьезный повод немедленно показать питомца ветеринарному врачу. Только специалист может определить точную причину воспаления (бактерии, камни, стресс) и назначить правильное лечение, которое может включать антибиотики, спазмолитики, обезболивающие, диету и работу со стрессом.

Помните: своевременная и квалифицированная помощь не только избавит вашего любимца от страданий, но и предотвратит развитие жизнеугрожающих осложнений.

Подпишитесь и поставьте реакцию 👍, чтобы видеть больше тем о здоровье питомцев.🐾