Найти в Дзене

Больше не скрывайте улыбку — пора действовать

🟠Пациентка обратилась с жалобой на некрасивую улыбку. После диагностики и цифрового планирования мы выбрали курс лечения на элайнерах. Лечение длилось 17 месяцев: шаг за шагом выравнивался зубной ряд, корректировался прикус, улыбка становилась гармоничной и естественной. ✅Элайнеры — это не магия, а точный инструмент. Они исправляют не только неровности, но и прикус, убирают щели и скученность. Почти незаметны, удобны в уходе и позволяют заранее увидеть прогноз результата. Готовы пройти свой курс лечения на элайнерах и изменить не только улыбку, но и качество жизни? Вы можете записаться на консультацию👉https://clck.ru/3P3Lu7: разберём ваш случай, покажем цифровой план и обозначим сроки. ✨ Ваша новая улыбка ближе, чем вы думаете. Сделайте первый шаг уже сегодня.
👩‍⚕️Лечащий врач: Федорова Ксения Владимировна, врач-ортодонт iOrtho.
Лечение на элайнерах в клинике iOrtho: результат до/после
Лечение на элайнерах в клинике iOrtho: результат до/после

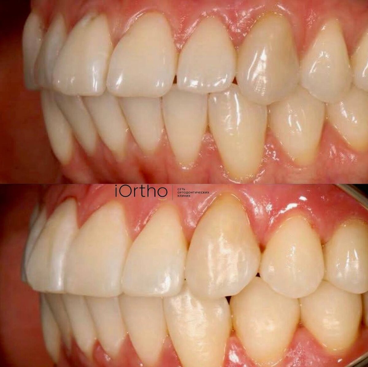
🟠Пациентка обратилась с жалобой на некрасивую улыбку. После диагностики и цифрового планирования мы выбрали курс лечения на элайнерах. Лечение длилось 17 месяцев: шаг за шагом выравнивался зубной ряд, корректировался прикус, улыбка становилась гармоничной и естественной.

✅Элайнеры — это не магия, а точный инструмент. Они исправляют не только неровности, но и прикус, убирают щели и скученность. Почти незаметны, удобны в уходе и позволяют заранее увидеть прогноз результата.

Готовы пройти свой курс лечения на элайнерах и изменить не только улыбку, но и качество жизни?

Вы можете записаться на консультацию👉https://clck.ru/3P3Lu7: разберём ваш случай, покажем цифровой план и обозначим сроки.

✨ Ваша новая улыбка ближе, чем вы думаете. Сделайте первый шаг уже сегодня.
👩‍⚕️Лечащий врач: Федорова Ксения Владимировна, врач-ортодонт iOrtho.

Лечение на элайнерах в клинике iOrtho: результат до/после
Лечение на элайнерах в клинике iOrtho: результат до/после
Лечение на элайнерах в клинике iOrtho: результат до/после
Лечение на элайнерах в клинике iOrtho: результат до/после