Добавить в корзинуПозвонить
Найти в Дзене
АиФ-Челябинск

В Челябинске спасли 4-летнего ребенка с огромным абсцессом печени

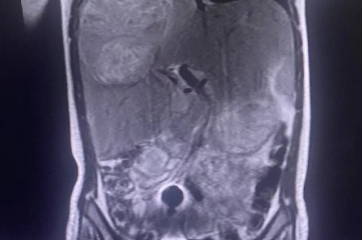
В ЧОДКБ успешно прооперирован четырёхлетний ребёнок с гигантским абсцессом печени. Об этом сообщили в минздрава Челябинской области. Сложная патология развилась у мальчика во время отпуска семьи в Киргизии, где у него поднялась температура до 40 градусов, появились кашель и боли в животе. Местные врачи обнаружили в печени объёмное образование. После госпитализации в ЧОДКБ был диагностирован многокамерный абсцесс правой доли печени размером 10-12 см, который поразил три из четырёх сегментов и сдавливал окружающие органы. Врачи приняли решение о проведении уникальной операции — удалении правой доли печени без вскрытия абсцесса, так как стандартная пункция в данном случае была бы неэффективна. Сложное хирургическое вмешательство, в ходе которого также пришлось удалить часть сросшейся с печенью диафрагмы, длилось более пяти часов и завершилось успешно. Послеоперационный период протекал без осложнений, и уже на третьи сутки пациента перевели из реанимации в общую палату. Предположительной п
   В Челябинске спасли 4-летнего ребенка с огромным абсцессом печени
В Челябинске спасли 4-летнего ребенка с огромным абсцессом печени

В ЧОДКБ успешно прооперирован четырёхлетний ребёнок с гигантским абсцессом печени. Об этом сообщили в минздрава Челябинской области.

Сложная патология развилась у мальчика во время отпуска семьи в Киргизии, где у него поднялась температура до 40 градусов, появились кашель и боли в животе. Местные врачи обнаружили в печени объёмное образование.

После госпитализации в ЧОДКБ был диагностирован многокамерный абсцесс правой доли печени размером 10-12 см, который поразил три из четырёх сегментов и сдавливал окружающие органы. Врачи приняли решение о проведении уникальной операции — удалении правой доли печени без вскрытия абсцесса, так как стандартная пункция в данном случае была бы неэффективна.

Сложное хирургическое вмешательство, в ходе которого также пришлось удалить часть сросшейся с печенью диафрагмы, длилось более пяти часов и завершилось успешно. Послеоперационный период протекал без осложнений, и уже на третьи сутки пациента перевели из реанимации в общую палату. Предположительной причиной образования абсцесса стала нагноившаяся паразитарная киста.

Ранее сообщалось о том, как в школе Челябинской области учится единственный первоклассник.