Добавить в корзинуПозвонить
Найти в Дзене
Шeрaли Джaмилов

Добрые лучи ☢ против рака: кратко и по основным моментам о лучевой терапии при раке груди 🎗️✨

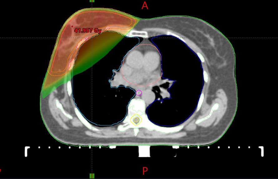
После органосохранной операции по поводу рака груди (резекции) врачи почти всегда назначают лучевую терапию (ЛТ). Зачем? 🤔 Давайте разбираться без сложных терминов. 🎯 Зачем она нужна? Представьте: хирург удалил опухоль, пораженные лимфатические узлы, но микроскопические клетки могли остаться, особенно при распространенных формах. Задача ЛТ — точечно «добить» эти невидимые глазу клетки в области груди и лимфоузлов. Это снижает риск возврата болезни на 15-30%! ✅ 📅 Когда её назначают? 1. 🏥 После резекции молочной железы на оставшуюся часть — это стандарт. Без ЛТ риск рецидива в той же груди слишком высок. Альтернативой может служить только мастэктомия, то есть полное удаление молочной железы. 2. 🩺 После удаления всей груди (мастэктомии) — если опухоль распространялась на кожу, затронула лимфоузлы, а также при наличии других факторов риска, которые повышают вероятность рецидива заболевания. 3. 💪 Для облегчения симптомов, уменьшения объёмов поражения или борьбы с отдалёнными мет

После органосохранной операции по поводу рака груди (резекции) врачи почти всегда назначают лучевую терапию (ЛТ). Зачем? 🤔

Давайте разбираться без сложных терминов.

🎯 Зачем она нужна?

Представьте: хирург удалил опухоль, пораженные лимфатические узлы, но микроскопические клетки могли остаться, особенно при распространенных формах. Задача ЛТ — точечно «добить» эти невидимые глазу клетки в области груди и лимфоузлов. Это снижает риск возврата болезни на 15-30%!

📅 Когда её назначают?

1. 🏥 После резекции молочной железы на оставшуюся часть — это стандарт. Без ЛТ риск рецидива в той же груди слишком высок. Альтернативой может служить только мастэктомия, то есть полное удаление молочной железы.

2. 🩺 После удаления всей груди (мастэктомии) — если опухоль распространялась на кожу, затронула лимфоузлы, а также при наличии других факторов риска, которые повышают вероятность рецидива заболевания.

3. 💪 Для облегчения симптомов, уменьшения объёмов поражения или борьбы с отдалёнными метастазами — например, метастазы в костях.

⚙️ Как это работает?

Курс длится около 3 недель (сеансы по 10-15 минут, 5 дней в неделю). Это похоже на рентген, только мощнее и точнее. Современные аппараты бьют прицельно по опухолевой зоне, максимально щадя сердце и легкие. 🎯

⚠️ Что с побочками?

Чаще всего они временные и локальные:

· 😴 Усталость: Тело тратит силы на восстановление.

· 🔴 Кожная реакция: Как сильный загар — покраснение, сухость, зуд в зоне облучения.

· 🔵 Дискомфорт в груди, связанный с отёком.

Важно: У каждого метода лечения есть свои исключения, показания и противопоказания!

💎 Главное сообщение:

Лучевая терапия — это не страшно! 😊 Это важный и эффективный этап лечения, который спасает жизни и позволяет сохранить грудь. Современные методы делают его максимально безопасным.

👩⚕️ Обязательно обсуждайте все детали со своим врачом-радиотерапевтом! Он ответит на все ваши вопросы и подберет оптимальный план. 💖

-2
-3

-4
-5