Добавить в корзинуПозвонить
Найти в Дзене

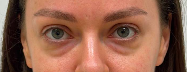
Нижняя трансконъюктивальная блефаропластика. До/после

Операция через внутреннюю поверхность нижнего века — без внешних разрезов и рубцов. Убираем грыжи и мешки под глазами, сохраняя естественный разрез глаз. Метод идеален для молодых пациентов с выраженными мешками под глазами, но без избытка кожи. Отеки и синяки минимальные, восстановление занимает всего неделю. Форма и разрез глаз остаются естественными, исчезает только усталый вид. Результат держится 10-15 лет. Взгляд становится свежим и открытым, возраст визуально уменьшается на 5-8 лет. Окружающие замечают, что вы хорошо выглядите, но не понимают, что изменилось — признак качественно выполненной операции. Записываемся на консультацию! +7 (967) 082-18-96 (Валентина) — Москва/Ставрополь
+7 (918) 254-49-24 (Алла) — Краснодар

Операция через внутреннюю поверхность нижнего века — без внешних разрезов и рубцов. Убираем грыжи и мешки под глазами, сохраняя естественный разрез глаз.

До
До
После
После

Метод идеален для молодых пациентов с выраженными мешками под глазами, но без избытка кожи. Отеки и синяки минимальные, восстановление занимает всего неделю. Форма и разрез глаз остаются естественными, исчезает только усталый вид.

Результат держится 10-15 лет. Взгляд становится свежим и открытым, возраст визуально уменьшается на 5-8 лет. Окружающие замечают, что вы хорошо выглядите, но не понимают, что изменилось — признак качественно выполненной операции.

Записываемся на консультацию!

+7 (967) 082-18-96 (Валентина) — Москва/Ставрополь
+7 (918) 254-49-24 (Алла) — Краснодар